| 查看: 964 | 回复: 3 | ||
abc8294123铁虫 (小有名气)
|
[求助]
请大家帮我病虾肝胰腺图片的问题 已有1人参与
|
|
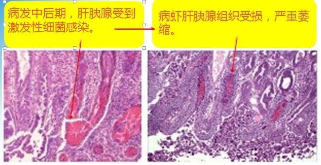
这是病虾感染EMS 早期死亡综合症后肝胰腺的图片 我像这样表述不知道对不对,因为我不知道那个激发性细菌是从哪里看出来的,我的箭头应该指向哪里?还有另一个图不知道对不 ,明天要做个讲解,希望大家能帮我看下 谢谢大家了 求助.jpg |
» 猜你喜欢
怎么查看固定段11位
已经有5人回复
可以准确的通过filecode判断基金中还是不中。
已经有15人回复
植物学论文润色/翻译怎么收费?
已经有125人回复
感觉普通人已经没办法玩了,躺平是唯一的出路。
已经有26人回复
江苏省优青门槛
已经有20人回复
心好累。今年我们部门提交了18个项目。中了11了,可惜我的又挂了
已经有10人回复
面上项目计划书
已经有7人回复
面上项目计划书附件
已经有9人回复
面上项目计划书系统状态
已经有18人回复
NSFC-UNEP(与联合国环境规划署)合作项目
已经有33人回复
和伊朗人合作
已经有32人回复

abc8294123
铁虫 (小有名气)
- 应助: 14 (小学生)
- 金币: 45.3
- 散金: 38
- 帖子: 175
- 在线: 56.4小时
- 虫号: 1130171
- 注册: 2010-10-23
- 性别: GG
- 专业: 功能与智能高分子

2楼2014-02-13 08:50:06
ZZCQQ
木虫 (正式写手)
早起哒虫砸有鸟吃(⊙o⊙)
- APEPI: 7
- 应助: 23 (小学生)
- 金币: 5405.9
- 散金: 35
- 红花: 18
- 帖子: 774
- 在线: 160.2小时
- 虫号: 2711597
- 注册: 2013-10-10
- 性别: MM
- 专业: 中药药代动力学

3楼2014-04-30 16:36:55
hoyeung
捐助贵宾 (小有名气)
- 应助: 12 (小学生)
- 金币: 1208.1
- 散金: 200
- 红花: 6
- 帖子: 283
- 在线: 43.2小时
- 虫号: 3973720
- 注册: 2015-07-16
- 性别: GG
- 专业: 动物病理学
4楼2015-12-25 11:11:55













回复此楼