±±¾©Ê¯ÓÍ»¯¹¤Ñ§Ôº2026ÄêÑо¿ÉúÕÐÉú½ÓÊÕµ÷¼Á¹«¸æ
²é¿´: 1449  |  »Ø¸´: 6

¹·À­Ñ©ÇÁ

Í­³æ (СÓÐÃûÆø)

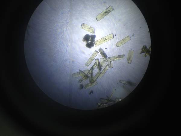
[ÇóÖú] °ïæ¿´¿´ÕâЩ±¡Æ¬ÊDz»Êǵ¥¾§£¿

×öÁ˵¥¾§ÅàÑø£¬³¤³öÀ´µÄÊÇÕâÖÖ±¡Æ¬×ÔÖ÷×°ÐγɵÄ͸Ã÷µÄ΢Ã×»¨£¬´ÓÖÐÌô³öһЩÕâÑùµÄ±¡Æ¬£¬²»ÖªµÀÊDz»Êǵ¥¾§£¿
°ïæ¿´¿´ÕâЩ±¡Æ¬ÊDz»Êǵ¥¾§£¿
IMG_0437.jpg
»Ø¸´´ËÂ¥

» ²ÂÄãϲ»¶

» ±¾Ö÷ÌâÏà¹Ø¼ÛÖµÌùÍÆ¼ö£¬¶ÔÄúͬÑùÓаïÖú:

ÒÑÔÄ   »Ø¸´´ËÂ¥   ¹Ø×¢TA ¸øTA·¢ÏûÏ¢ ËÍTAºì»¨ TAµÄ»ØÌû

673918771

½ð³æ (СÓÐÃûÆø)

¡¾´ð°¸¡¿Ó¦Öú»ØÌû

¡ï ¡ï ¡ï ¡ï ¡ï ¡ï ¡ï ¡ï ¡ï ¡ï
¸Ðл²ÎÓ룬ӦÖúÖ¸Êý +1
¹·À­Ñ©ÇÁ: ½ð±Ò+10, ¡ï¡ï¡ïºÜÓаïÖú 2013-11-30 09:22:46
Èç¹ûÁÁÁÁµÄ£¬¿ÉÄÜÊÇ¡£Äã¿ÉÒÔ½«Ìô³öÀ´µÄÄÃÈ¥Ö±½Ó²âÏÂXÉäÏßµ¥¾§ÑÜÉ䣬¾ÍÖªµÀÊDz»Êǵ¥¾§£¬²»·ÑʵÄ
Æ£¾ëÊÇ¿ÉÒÔսʤµÄ£¬·¨±¦¾ÍÊÇÕä°®ÎÒÃÇ×Ô¼º¡£Æ£¾ëÊÇ¿ÉÒÔ»¯ÏÕΪÒĵģ¬Õ½Êõ¾ÍÊÇÄþ¾²ÖÂÔ¶¡£
2Â¥2013-11-29 22:42:45
ÒÑÔÄ   »Ø¸´´ËÂ¥   ¹Ø×¢TA ¸øTA·¢ÏûÏ¢ ËÍTAºì»¨ TAµÄ»ØÌû

forever1706

½û³æ (ÖªÃû×÷¼Ò)

¡¾´ð°¸¡¿Ó¦Öú»ØÌû

¡ï ¡ï ¡ï ¡ï ¡ï ¡ï ¡ï ¡ï ¡ï ¡ï
¸Ðл²ÎÓ룬ӦÖúÖ¸Êý +1
¹·À­Ñ©ÇÁ: ½ð±Ò+10, ¡ï¡ï¡ïºÜÓаïÖú 2013-11-30 09:22:55
×ÐϸÌô£¬Ó¦¸Ã¿ÉÒÔ²âµÄ¡£
3Â¥2013-11-30 05:58:56
ÒÑÔÄ   »Ø¸´´ËÂ¥   ¹Ø×¢TA ¸øTA·¢ÏûÏ¢ ËÍTAºì»¨ TAµÄ»ØÌû

yytsnake

ÖÁ×ðľ³æ (Ö°Òµ×÷¼Ò)

¡¾´ð°¸¡¿Ó¦Öú»ØÌû

¡ï ¡ï ¡ï ¡ï ¡ï ¡ï ¡ï ¡ï ¡ï ¡ï
¸Ðл²ÎÓ룬ӦÖúÖ¸Êý +1
¹·À­Ñ©ÇÁ: ½ð±Ò+10, ¡ï¡ï¡ïºÜÓаïÖú 2013-12-01 11:52:59
͸Ã÷µÄÓ¦¸Ã¾ÍÊǵ¥¾§£¬¹úΪÓÐÃ÷ÏԵļ¸ºÎÐÎ×´¡£
4Â¥2013-11-30 10:52:29
ÒÑÔÄ   »Ø¸´´ËÂ¥   ¹Ø×¢TA ¸øTA·¢ÏûÏ¢ ËÍTAºì»¨ TAµÄ»ØÌû

yuezhifang

½ð³æ (СÓÐÃûÆø)

¡¾´ð°¸¡¿Ó¦Öú»ØÌû

¸Ðл²ÎÓ룬ӦÖúÖ¸Êý +1
Êǵ¥¾§£¬Ìô¼¸¿éºÃµÄÈ¥²â²âÊÔÊÔ°É£¬Ó¦¸ÃÄܲâ³öÀ´
5Â¥2013-12-01 17:38:23
ÒÑÔÄ   »Ø¸´´ËÂ¥   ¹Ø×¢TA ¸øTA·¢ÏûÏ¢ ËÍTAºì»¨ TAµÄ»ØÌû

75668424

Ìú³æ (СÓÐÃûÆø)

¡¾´ð°¸¡¿Ó¦Öú»ØÌû

¡ï ¡ï ¡ï ¡ï ¡ï
¸Ðл²ÎÓ룬ӦÖúÖ¸Êý +1
¹·À­Ñ©ÇÁ: ½ð±Ò+5, ¡ï¡ï¡ïºÜÓаïÖú 2013-12-02 11:23:07
¾§Ìå°¡¡£
ͦºÃµÄ¾§Ìå¡£
ÎÒ²»Òª¶·Õù£¬ÎÒÐèҪƽ¾²
6Â¥2013-12-01 21:59:01
ÒÑÔÄ   »Ø¸´´ËÂ¥   ¹Ø×¢TA ¸øTA·¢ÏûÏ¢ ËÍTAºì»¨ TAµÄ»ØÌû

H2SO4LIUSHAN

½ð³æ (СÓÐÃûÆø)

¡¾´ð°¸¡¿Ó¦Öú»ØÌû

¡ï ¡ï ¡ï ¡ï ¡ï
¸Ðл²ÎÓ룬ӦÖúÖ¸Êý +1
¹·À­Ñ©ÇÁ: ½ð±Ò+5, ¡ï¡ï¡ïºÜÓаïÖú 2013-12-02 11:23:13
¿´ÆðÀ´ºÜÏñÊǵ¥¾§  ¹§Ï²ÄãÀ² ×£Äã»ñµÃºÃµÄ½á¹¹
ÎÒÒªÎÒµÄÇà´º²»ÁôÒź¶
7Â¥2013-12-01 23:53:37
ÒÑÔÄ   »Ø¸´´ËÂ¥   ¹Ø×¢TA ¸øTA·¢ÏûÏ¢ ËÍTAºì»¨ TAµÄ»ØÌû
Ïà¹Ø°æ¿éÌø×ª ÎÒÒª¶©ÔÄÂ¥Ö÷ ¹·À­Ñ©ÇÁ µÄÖ÷Ìâ¸üÐÂ
×î¾ßÈËÆøÈÈÌûÍÆ¼ö [²é¿´È«²¿] ×÷Õß »Ø/¿´ ×îºó·¢±í
[¿¼ÑÐ] Ò»Ö¾Ô¸211£¬»¯Ñ§Ñ§Ë¶£¬310·Ö£¬±¾¿ÆÖصãË«·Ç£¬Çóµ÷¼Á +13 ŬÁ¦·Ü¶·112 2026-04-04 13/650 2026-04-06 07:13 by jj987
[¿¼ÑÐ] »¯Ñ§µ÷¼Á +17 °¬Ö¾ºã 2026-04-03 18/900 2026-04-06 07:10 by jj987
[¿¼ÑÐ] ¸´ÊÔµ÷¼Á +4 asdasdassda 2026-04-05 4/200 2026-04-06 07:01 by houyaoxu
[¿¼ÑÐ] Ò»Ö¾Ô¸ËÕÖÝ´óѧ²ÄÁϹ¤³Ì£¨085601£©×¨Ë¶ÓпÆÑо­ÀúÈýÏî¹ú½±Á½¸öʵÓÃÐÍרÀûÒ»ÏîÊ¡¼¶Á¢Ïî +10 ´ó»ðɽС»ðɽ 2026-04-05 10/500 2026-04-05 19:58 by СÎÏţСÎÏÅ£
[¿¼ÑÐ] ±¾¿Æ211£¬293·ÖÇëÇóµ÷¼Á +8 Á«²Ë¾ÍÊÇź°É 2026-04-03 9/450 2026-04-05 19:12 by À¶ÔÆË¼Óê
[¿¼ÑÐ] Ò»Ö¾Ô¸9²ÄÁÏѧ˶297ÒѹýÁù¼¶Çóµ÷¼ÁÍÆ¼ö +11 adaie 2026-04-04 12/600 2026-04-05 19:04 by À¶ÔÆË¼Óê
[Óлú½»Á÷] ¼×´¼/¶þÂÈ 1:15¹ýÖù×Ó 5+3 a°¥yßÏwι 2026-03-31 3/150 2026-04-05 10:42 by 88817753
[¿¼ÑÐ] Ò»Ö¾Ô¸Î÷±±Å©ÁÖÐóÄÁר˶336·ÖÇóµ÷¼Á +3 5ourr 2026-04-03 3/150 2026-04-05 10:40 by JOKER0401
[¿¼ÑÐ] 083200 333Çóµ÷¼Á +3 Ê®¶þ£¡£¡ 2026-04-04 3/150 2026-04-05 08:28 by barlinike
[¿¼ÑÐ] ²ÄÁϵ÷¼Á +12 Ò»ÑùYWY 2026-04-04 12/600 2026-04-05 08:24 by 544594351
[¿¼ÑÐ] 321Çóµ÷¼Á +6 ÈÏÕæÇóÉÏѧ 2026-04-03 6/300 2026-04-04 19:51 by dongzh2009
[¿¼ÑÐ] 11408 Ò»Ö¾Ô¸Î÷µç£¬277·ÖÇóµ÷¼Á +4 zhouzhen654 2026-04-03 4/200 2026-04-04 18:10 by Öí»á·É
[¿¼ÑÐ] 265Çóµ÷¼Á +17 ÁÖÉîÎÂÀ½ 2026-04-01 20/1000 2026-04-04 01:09 by userper
[¿¼ÑÐ] 282Çóµ÷¼Á +20 ycy1201 2026-04-01 22/1100 2026-04-04 00:42 by userper
[¿¼ÑÐ] ³õÊԳɼ¨337ÕÒµ÷¼Á +3 ??? ?. ? 2026-04-03 3/150 2026-04-03 11:43 by ÍÁľ˶ʿÕÐÉú
[¿¼ÑÐ] 286Çóµ÷¼Á +7 Faune 2026-03-30 7/350 2026-04-03 10:14 by linyelide
[¿¼ÑÐ] ²ÄÁϵ÷¼Á +4 Ò»ÑùYWY 2026-04-03 4/200 2026-04-03 09:48 by À¶ÔÆË¼Óê
[¿¼²©] É격ÇóÖú +3 Reee1Llll 2026-04-01 3/150 2026-04-02 22:29 by ÕâÊÇÒ»¸öÎÞÁĵÄê
[¿¼ÑÐ] 279Çóµ÷¼Á +7 Īxiao 2026-04-01 7/350 2026-04-01 22:05 by ¿Í¶ûÃÀµÂ
[¿¼ÑÐ] 353Çóµ÷¼Á +4 À­¹³²»Ðí±ä 2026-04-01 4/200 2026-04-01 18:10 by ¼Çʱ¾2026
ÐÅÏ¢Ìáʾ
ÇëÌî´¦ÀíÒâ¼û