| 查看: 1595 | 回复: 9 | ||
| 当前只显示满足指定条件的回帖,点击这里查看本话题的所有回帖 | ||
scncwxy木虫 (著名写手)
|
[求助]
大侠帮我看看细胞这是怎么了?急死人了
|
|
|
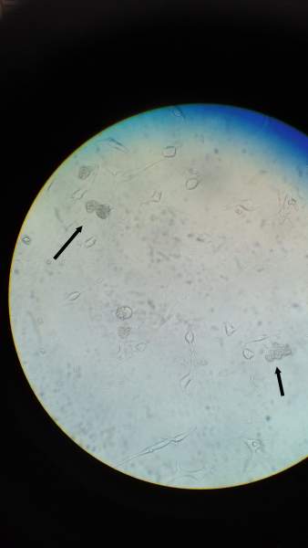
我养的是乳腺癌MDA-MB-231细胞,以前都是正常的,最近两个月来发现细胞生长过程中形态不正常,出现漂浮物,严重时会成为絮状漂浮物。细胞生长极慢。换液后漂浮物会重新出现,重新复苏细胞也是如此,而且溶液不浑浊,说明未污染,实在不知道是什么原因了 96孔板中.jpg 培养瓶中.jpg |
» 猜你喜欢
调剂推荐
已经有5人回复
中国科学院深圳先进技术研究院-光纤传感课题组招生-中国科学院大学、深圳理工大学联培
已经有4人回复
总分322求生物学/生化与分子/生物信息学相关调剂
已经有5人回复
0703化学338求调剂!
已经有3人回复
284求调剂
已经有7人回复
271求调剂
已经有6人回复
312求调剂
已经有9人回复
352求调剂
已经有4人回复
085602化学工程求调剂。
已经有3人回复
085600材料与化工306
已经有6人回复
» 本主题相关价值贴推荐,对您同样有帮助:
请问哪位大侠可以分享淋巴细胞培养的具体实验操作方法的?急~~~
已经有17人回复
重金求助原代大鼠主动脉内皮细胞培养,有经验的大侠请给予指点。
已经有7人回复
做昆虫细胞的大侠们帮忙研究研究
已经有9人回复
跪求各位大侠帮忙看看我得细胞怎么了~
已经有11人回复
有大侠养细胞么?问一个传代的问题
已经有7人回复
●●交流个细胞实验的问题●●求做细胞的大侠拔刀相助!!
已经有7人回复
各位大侠,请问要溶解藻细胞壁应该用那种溶解酶呢?
已经有7人回复
【求助/交流】关于MTT检测淋巴细胞活性的若干问题,请教各位大侠~~
已经有11人回复
scncwxy
木虫 (著名写手)
- 应助: 14 (小学生)
- 金币: 4140.4
- 散金: 49
- 红花: 2
- 帖子: 1414
- 在线: 473.9小时
- 虫号: 896916
- 注册: 2009-11-08
- 性别: GG
- 专业: 药剂学
3楼2013-07-01 16:43:58
2楼2013-07-01 16:42:13
4楼2013-07-01 16:58:11
![]() |
5楼2013-07-01 17:09:38













回复此楼
