| ²é¿´: 2208 | »Ø¸´: 10 | ||
Jane815ľ³æ (ÕýʽдÊÖ)
|
[ÇóÖú]
Çë´ó¼Ò°ïÎÒ¿´¿´£¬ÎªÊ²Ã´·¬ºì¹ÌÂÌÌ×Ⱦºó£¬±¡±Úϸ°û³ÊÏó¹ÖÒ죿
|
|
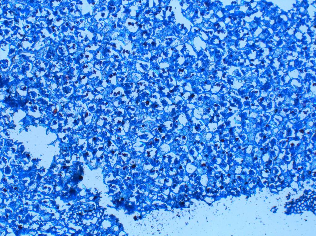
ʯÀ¯ÇÐÆ¬£¬·¬ºì¹ÌÂÌÌ×Ⱦºó£¬±¡±Úϸ°ûÄÚ¼°ÖÜΧ×ÜÄÜ¿´µ½ºÚÉ«µÄСµã£¬Ï¸°û±ÚÖÜΧÓÐdzÀ¶É«Ð¡µã¼°ÉîÀ¶É«Ðõ×´Îï¡£ÇëÎÊÕâÊÇÎªÊ²Ã´ÄØ£¿ ¹ÌÂÌÊÇÐÂÏÊÅäÖõġ£ 8.jpg |
» ²ÂÄãϲ»¶
½ËÕÊ¡ÓÅÇàÃż÷
ÒѾÓÐ20È˻ظ´
ÐĺÃÀÛ¡£½ñÄêÎÒÃDz¿ÃÅÌá½»ÁË18¸öÏîÄ¿¡£ÖÐÁË11ÁË£¬¿ÉϧÎÒµÄÓÖ¹ÒÁË
ÒѾÓÐ10È˻ظ´
Ö²ÎïѧÂÛÎÄÈóÉ«/·ÒëÔõôÊÕ·Ñ?
ÒѾÓÐ298È˻ظ´
ÃæÉÏÏîÄ¿¼Æ»®Êé
ÒѾÓÐ7È˻ظ´
ÃæÉÏÏîÄ¿¼Æ»®Ê鸽¼þ
ÒѾÓÐ9È˻ظ´
ÃæÉÏÏîÄ¿¼Æ»®Êéϵͳ״̬
ÒѾÓÐ18È˻ظ´
NSFC-UNEP£¨ÓëÁªºÏ¹ú»·¾³¹æ»®Ê𣩺Ï×÷ÏîÄ¿
ÒѾÓÐ33È˻ظ´
ºÍÒÁÀÊÈ˺Ï×÷
ÒѾÓÐ32È˻ظ´
½ËÕÊ¡×ÔÈ»»ù½ð
ÒѾÓÐ8È˻ظ´
ÉúÃü¿ÆÑ§ÐÂÓ¢ÎÄÆÕ¿¯¡¶INVESTIGATION OF LIFE SCIENCE¡·
ÒѾÓÐ10È˻ظ´
» ±¾Ö÷ÌâÏà¹Ø¼ÛÖµÌùÍÆ¼ö£¬¶ÔÄúͬÑùÓаïÖú:
×î½üºÜÍÇ·Ï£¬ÏëÆð Ò»¹«ÉýµÄÑÛÀá
ÒѾÓÐ4È˻ظ´
ºÜ¶àÈË»á´íʧ°®Ç飬Ϊʲô£¿¿´ÍêÕâ¸öÎÄÕ²žõµÃÐèҪѧϰµÄ²»½ö½öÊÇÊýÀí»¯
ÒѾÓÐ15È˻ظ´
ΪÁËÄãºÍ¼ÒÈ˵ݲȫ£¬ÇëÈÏÕæ¿´Í꣡
ÒѾÓÐ18È˻ظ´
¡¾´¿Ë®¡¿2011гö¯100Ìõ¸öÐÔÇ©Ãû£¬¾ä¾ä´Ì¹Ç
ÒѾÓÐ8È˻ظ´
¡¾×ªÔØ¡¿Ð¡Ð¡µÄ¿Ö²À¹ÊÊ£¬µ¨Ð¡ÕßÎðÈë
ÒѾÓÐ2È˻ظ´
һλͬ¼Ã´óѧŮÉúµÄÖÒ¸æ3
ÒѾÓÐ17È˻ظ´
Jane815
ľ³æ (ÕýʽдÊÖ)
- Ó¦Öú: 0 (Ó×¶ùÔ°)
- ½ð±Ò: 3311.2
- ºì»¨: 3
- Ìû×Ó: 378
- ÔÚÏß: 130.1Сʱ
- ³æºÅ: 630690
- ×¢²á: 2008-10-19
- רҵ: ÖÐÒ©×ÊÔ´
2Â¥2013-04-18 23:44:38
tianshanmuwu
гæ (³õÈëÎÄ̳)
- Ó¦Öú: 0 (Ó×¶ùÔ°)
- ½ð±Ò: 2
- ºì»¨: 1
- Ìû×Ó: 7
- ÔÚÏß: 24.5Сʱ
- ³æºÅ: 917676
- ×¢²á: 2009-12-01
- רҵ: Ö²Îï½á¹¹Ñ§
3Â¥2013-04-19 10:32:49
Jane815
ľ³æ (ÕýʽдÊÖ)
- Ó¦Öú: 0 (Ó×¶ùÔ°)
- ½ð±Ò: 3311.2
- ºì»¨: 3
- Ìû×Ó: 378
- ÔÚÏß: 130.1Сʱ
- ³æºÅ: 630690
- ×¢²á: 2008-10-19
- רҵ: ÖÐÒ©×ÊÔ´
4Â¥2013-04-19 14:48:40
nanwuweizi
ͳæ (СÓÐÃûÆø)
- Ó¦Öú: 22 (СѧÉú)
- ½ð±Ò: 446.4
- ºì»¨: 1
- Ìû×Ó: 85
- ÔÚÏß: 21.2Сʱ
- ³æºÅ: 1899551
- ×¢²á: 2012-07-18
- רҵ: ÖÐÒ©¼ø¶¨
5Â¥2013-04-20 19:58:09
Jane815
ľ³æ (ÕýʽдÊÖ)
- Ó¦Öú: 0 (Ó×¶ùÔ°)
- ½ð±Ò: 3311.2
- ºì»¨: 3
- Ìû×Ó: 378
- ÔÚÏß: 130.1Сʱ
- ³æºÅ: 630690
- ×¢²á: 2008-10-19
- רҵ: ÖÐÒ©×ÊÔ´
6Â¥2013-04-21 15:42:37
Jane815
ľ³æ (ÕýʽдÊÖ)
- Ó¦Öú: 0 (Ó×¶ùÔ°)
- ½ð±Ò: 3311.2
- ºì»¨: 3
- Ìû×Ó: 378
- ÔÚÏß: 130.1Сʱ
- ³æºÅ: 630690
- ×¢²á: 2008-10-19
- רҵ: ÖÐÒ©×ÊÔ´
7Â¥2013-04-21 15:43:28
mutant
Ìú³æ (СÓÐÃûÆø)
- Ó¦Öú: 14 (СѧÉú)
- ½ð±Ò: 165.4
- ºì»¨: 2
- Ìû×Ó: 101
- ÔÚÏß: 85Сʱ
- ³æºÅ: 2097950
- ×¢²á: 2012-10-31
- ÐÔ±ð: GG
- רҵ: Ö²ÎïÉúÖ³ÉúÎïѧ
¡¾´ð°¸¡¿Ó¦Öú»ØÌû
¡ï ¡ï ¡ï ¡ï ¡ï ¡ï ¡ï ¡ï ¡ï ¡ï ¡ï ¡ï ¡ï ¡ï ¡ï ¡ï ¡ï ¡ï ¡ï ¡ï ¡ï ¡ï ¡ï ¡ï ¡ï ¡ï ¡ï ¡ï ¡ï ¡ï
Jane815: ½ð±Ò+20, ¡ï¡ï¡ïºÜÓаïÖú 2013-04-22 21:01:10
Jane815: ½ð±Ò+10, ¡ï¡ï¡ï¡ï¡ï×î¼Ñ´ð°¸ 2013-05-27 16:09:41
Jane815: ½ð±Ò+20, ¡ï¡ï¡ïºÜÓаïÖú 2013-04-22 21:01:10
Jane815: ½ð±Ò+10, ¡ï¡ï¡ï¡ï¡ï×î¼Ñ´ð°¸ 2013-05-27 16:09:41
|
¸öÈ˸оõȾɫ·½·¨²»¶Ô£»ÇÐÆ¬Óеãºñ£¬²»ÅųýºÚµãÊÇûÓÐÍѸɾ»µÄÀ¯£»ºÚɫСµãÓпÉÄÜÊǵí·Û¿ÅÁ££¬Ö¤Ã÷ËüµÄ·½·¨¾ÍÊǽ«Ã»ÓÐȾɫµÄ°×Ƭ½øÐеâ-µâ»¯¼ØÈ¾É«£¬ÊÇ·ñ³öÏÖºÚɫСµã ÖÁÓÚ×ÏÉ«Ðõ×´Îï¿ÉÄÜÊǽÏŨÃܵÄϸ°ûÖÊ |
8Â¥2013-04-22 16:58:07
Jane815
ľ³æ (ÕýʽдÊÖ)
- Ó¦Öú: 0 (Ó×¶ùÔ°)
- ½ð±Ò: 3311.2
- ºì»¨: 3
- Ìû×Ó: 378
- ÔÚÏß: 130.1Сʱ
- ³æºÅ: 630690
- ×¢²á: 2008-10-19
- רҵ: ÖÐÒ©×ÊÔ´
9Â¥2013-04-22 21:02:43
appbottle
Ìú³æ (³õÈëÎÄ̳)
- Ó¦Öú: 0 (Ó×¶ùÔ°)
- ½ð±Ò: 29.8
- Ìû×Ó: 13
- ÔÚÏß: 7Сʱ
- ³æºÅ: 1376303
- ×¢²á: 2011-08-22
- ÐÔ±ð: MM
- רҵ: Ö²ÎïÉúÖ³ÉúÎïѧ
10Â¥2013-06-02 15:26:16













»Ø¸´´ËÂ¥
Jane815