版块导航
正在加载中...
客户端APP下载
论文辅导
申博辅导
登录
注册
帖子
帖子
用户
本版
应《网络安全法》要求,自2017年10月1日起,未进行实名认证将不得使用互联网跟帖服务。为保障您的帐号能够正常使用,请尽快对帐号进行手机号验证,感谢您的理解与支持!
24小时热门版块排行榜
>
论坛更新日志
(4120)
>
文献求助
(398)
>
虫友互识
(395)
>
导师招生
(303)
>
休闲灌水
(286)
>
考博
(127)
>
硕博家园
(114)
>
基金申请
(91)
>
论文投稿
(87)
>
招聘信息布告栏
(84)
>
博后之家
(84)
>
考研
(74)
>
教师之家
(52)
>
绿色求助(高悬赏)
(44)
>
公派出国
(42)
>
找工作
(40)
小木虫论坛-学术科研互动平台
»
生物医药区
»
药学
»
药理学
»
免疫组化结果求解!
11
1/1
返回列表
查看: 1771 | 回复: 10
只看楼主
@他人
存档
新回复提醒
(忽略)
收藏
在APP中查看
marylandie
木虫
(著名写手)
应助: 0
(幼儿园)
金币: 4391.4
帖子: 1404
在线: 140小时
虫号: 976085
[交流]
免疫组化结果求解!
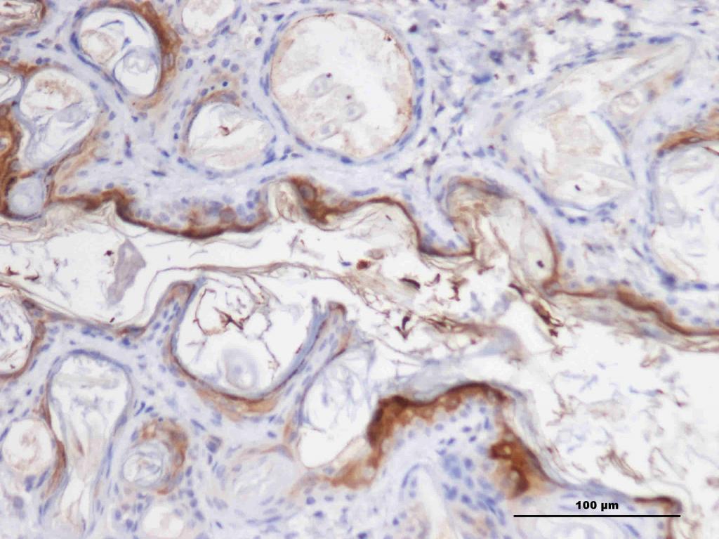
这两张图片是胰腺癌组织的VEGF抗体免疫结果,想问一下这两张的结果说明了哪些方面的区别?
本人是个菜鸟,不会看这结果,实验是外包给公司做的,所以请教各位大侠正解,或是有什么文献资料推荐就更好了,谢谢!
1组 496.jpg
3组 302.jpg
5组 304.jpg
回复此楼
» 猜你喜欢
拟解决的关键科学问题还要不要写
已经有10人回复
救命帖
已经有5人回复
限项规定
已经有5人回复
为什么nbs上溴 没有产物点出现呢
已经有9人回复
招博士
已经有3人回复
存款400万可以在学校里躺平吗
已经有35人回复
最失望的一年
已经有18人回复
求推荐博导
已经有4人回复
求推荐英文EI期刊
已经有5人回复
疑惑?
已经有5人回复
高级回复
» 本主题相关价值贴推荐,对您同样有帮助:
求抗体浓度测定方法
已经有18人回复
胃癌细胞的选择
已经有8人回复
质谱分析蛋白质
已经有5人回复
Fortran 求解复数矩阵SVD时,用到cgesvd,结果与matlab不同,为什么?
已经有15人回复
真情求助:买的用于Western blot 的一抗能不能用来做免疫荧光或者免疫组化
已经有6人回复
求助- 这个免疫组化图可以用吗
已经有5人回复
用fluent模拟时,选择非稳态求解器,收敛以后还继续算会不会对结果有影响?
已经有7人回复
聚丙烯酰胺凝胶电泳跑蛋白质
已经有4人回复
求解一个二阶偏微分方程~~有结果,但是不知道中间过程(完美解决者答谢100¥)~
已经有4人回复
求解:激光粒度分析结果
已经有14人回复
求助免疫组化释义
已经有5人回复
【求助】免疫组化
已经有13人回复
【求助】求北京最好的治疗头颈部肿瘤的医院
已经有9人回复
【求助/交流】免疫组化时一抗二抗的选择
已经有4人回复
【求助/交流】我在做免疫组化用柠檬酸浸泡,微波炉加热做抗原修复时,
已经有5人回复
【求助/交流】下丘脑免疫组化片子如何保存
已经有6人回复
【求助】谷胱甘肽含量的测定方法
已经有6人回复
» 抢金币啦!回帖就可以得到:
查看全部散金贴
南佛罗里达大学化学系刘文奇课题组 2026 Fall 招收有机/超分子方向博士生
+
2
/922
浙江师范大学招收大气遥感、光学或人工智能方向的2026年物理学博士生1名
+
2
/274
东北石油大学三亚海洋油气研究院|地学硕士|地质资源与地质工程、地质学、地质工程等
+
1
/177
西南大学化学化工学院彭云贵教授课题组招有机化学博士研究生
+
2
/112
华南师范大学胡勇军教授课题组招收2026年博士研究生
+
1
/87
中南林业科技大学-自然资源与生态环境管理-申请-考核制博士生招生(导师本人发布)
+
1
/82
深圳大学信息功能聚合物电介质方向“申请-考核制”博士生招生
+
1
/79
上海交通大学变革分子学中心申涛课题组2026秋季入学推荐-考核制博士招生(有机)
+
1
/77
北京大学季者课题组招聘博士后和科研助理/化学/化生/生命科学/物理/工程等
+
1
/76
信息工程大学教授团队网络空间安全专业博士招生【2026年1月31日报名截止】
+
1
/72
自驾淄博回四川遂宁过年,寻找小伙伴一起
+
1
/67
中国地质大学(武汉)地质学、地质资源与地质工程、资源与环境方向招生,请尽快联系!
+
1
/54
中山大学农业与生物技术学院周潇峰课题组诚聘微生物/植物病理学方向科研助理
+
1
/47
【教授本人】南佛罗里达大学化学系刘文奇课题组 2026 Fall 招收有机/超分子方向博士生
+
1
/29
求奥希替尼生产工艺
+
1
/29
专科起点双非硕士,申博求建议
+
1
/20
云南大学智能光电子课题组招收申请-考核博士研究生1名(光电、光学)
+
1
/15
中国地质大学(武汉)分析地球化学团队招收博士生1名、硕士生3名
+
2
/12
【青椒避坑】亲测4款科研AI工具:谁才是真正的“免费”文献神器?(附对比表)
+
1
/2
求助:睡觉总醒
+
1
/1
1楼
2012-12-03 09:50:27
已阅
回复此楼
关注TA
给TA发消息
送TA红花
TA的回帖
adigao
铜虫
(小有名气)
应助: 17
(小学生)
金币: 1287.6
帖子: 126
在线: 78.9小时
虫号: 880243
★ ★ ★
小木虫: 金币+0.5, 给个红包,谢谢回帖
marylandie: 金币+2
2012-12-04 18:13:19
颜色深的(棕色)代表你要的抗体,越深,越多,说明抗体表达量高
赞
一下
回复此楼
2楼
2012-12-03 18:44:14
已阅
回复此楼
关注TA
给TA发消息
送TA红花
TA的回帖
marylandie
木虫
(著名写手)
应助: 0
(幼儿园)
金币: 4391.4
帖子: 1404
在线: 140小时
虫号: 976085
引用回帖:
2楼
:
Originally posted by
adigao
at 2012-12-03 18:44:14
颜色深的(棕色)代表你要的抗体,越深,越多,说明抗体表达量高
那第一张和第二张的类似泡泡的区别是怎么回事呢?
赞
一下
回复此楼
3楼
2012-12-04 18:13:12
已阅
回复此楼
关注TA
给TA发消息
送TA红花
TA的回帖
虫虫用户
新虫
(初入文坛)
应助: 1
(幼儿园)
金币: 190.3
帖子: 28
在线: 3小时
虫号: 2029318
路过 不懂
回复此楼
4楼
2012-12-05 00:10:54
已阅
回复此楼
关注TA
给TA发消息
送TA红花
TA的回帖
晴空北北
铁虫
(初入文坛)
应助: 1
(幼儿园)
金币: 84.1
帖子: 10
在线: 20.5小时
虫号: 2172224
★ ★ ★
小木虫: 金币+0.5, 给个红包,谢谢回帖
marylandie: 金币+2
2012-12-08 20:19:28
不太像VEGF的着色
赞
一下
回复此楼
5楼
2012-12-07 14:38:12
已阅
回复此楼
关注TA
给TA发消息
送TA红花
TA的回帖
晴空北北
铁虫
(初入文坛)
应助: 1
(幼儿园)
金币: 84.1
帖子: 10
在线: 20.5小时
虫号: 2172224
★
小木虫: 金币+0.5, 给个红包,谢谢回帖
建议发一些低倍镜下的图看看
赞
一下
回复此楼
6楼
2012-12-07 16:19:31
已阅
回复此楼
关注TA
给TA发消息
送TA红花
TA的回帖
marylandie
木虫
(著名写手)
应助: 0
(幼儿园)
金币: 4391.4
帖子: 1404
在线: 140小时
虫号: 976085
引用回帖:
5楼
:
Originally posted by
晴空北北
at 2012-12-07 14:38:12
不太像VEGF的着色
这是外包给公司做的,有什么根据吗?VEGF有什么特点吗?
赞
一下
回复此楼
7楼
2012-12-08 20:19:23
已阅
回复此楼
关注TA
给TA发消息
送TA红花
TA的回帖
marylandie
木虫
(著名写手)
应助: 0
(幼儿园)
金币: 4391.4
帖子: 1404
在线: 140小时
虫号: 976085
引用回帖:
6楼
:
Originally posted by
晴空北北
at 2012-12-07 16:19:31
建议发一些低倍镜下的图看看
没有低倍镜的。。。
回复此楼
8楼
2012-12-08 20:21:06
已阅
回复此楼
关注TA
给TA发消息
送TA红花
TA的回帖
晴空北北
铁虫
(初入文坛)
应助: 1
(幼儿园)
金币: 84.1
帖子: 10
在线: 20.5小时
虫号: 2172224
★
小木虫: 金币+0.5, 给个红包,谢谢回帖
第一张是对照组吗?怎么也会有这么大范围的着色
第二张的着色不太像是免疫组化的正常着色
而且这几张图不太像是胰腺癌啊,所以最好要来低倍镜的图看整个的形态。
赞
一下
回复此楼
9楼
2012-12-09 18:34:02
已阅
回复此楼
关注TA
给TA发消息
送TA红花
TA的回帖
marylandie
木虫
(著名写手)
应助: 0
(幼儿园)
金币: 4391.4
帖子: 1404
在线: 140小时
虫号: 976085
引用回帖:
9楼
:
Originally posted by
晴空北北
at 2012-12-09 18:34:02
第一张是对照组吗?怎么也会有这么大范围的着色
第二张的着色不太像是免疫组化的正常着色
而且这几张图不太像是胰腺癌啊,所以最好要来低倍镜的图看整个的形态。
第一组是对照组的,那这是不是可以算是免疫组化实验失败了呀?
由于是外包给公司的,现在还没有拿到低倍镜的图。谢谢!
赞
一下
回复此楼
10楼
2012-12-12 18:21:50
已阅
回复此楼
关注TA
给TA发消息
送TA红花
TA的回帖
华洪飞
铁虫
(初入文坛)
应助: 0
(幼儿园)
金币: 9
帖子: 7
在线: 2.4小时
虫号: 3384198
★
小木虫: 金币+0.5, 给个红包,谢谢回帖
第二张挺像那么一回事 另外两张感觉像是非特异性染色
赞
一下
回复此楼
11楼
2014-09-01 12:52:19
已阅
回复此楼
关注TA
给TA发消息
送TA红花
TA的回帖
相关版块跳转
新药研发
药学
药品生产
分子生物
微生物
动植物
生物科学
医学
我要订阅楼主
marylandie
的主题更新
11
1/1
返回列表
如果回帖内容含有宣传信息,请如实选中。否则帐号将被全论坛禁言
普通表情
龙
兔
虎
猫
高级回复
(可上传附件)
百度网盘
|
360云盘
|
千易网盘
|
华为网盘
在新窗口页面中打开自己喜欢的网盘网站,将文件上传后,然后将下载链接复制到帖子内容中就可以了。
信息提示
关闭
请填处理意见
关闭
确定