| ²é¿´: 1818 | »Ø¸´: 10 | ||
dxdwcгæ (³õÈëÎÄ̳)
|
[ÇóÖú]
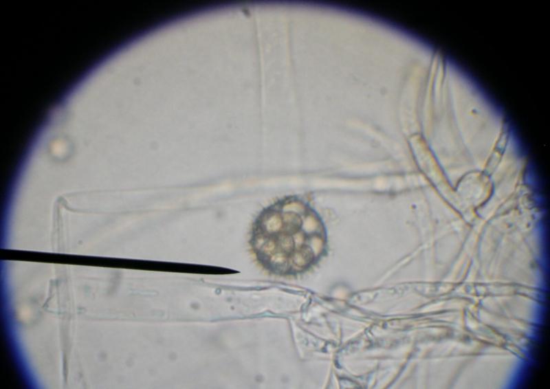
[ÇóÖú]ÍÁÈÀ·ÖÀë³öÀ´µÄÒ»ÖÖ¾ú£¬Çë¸÷λ°ïæ¼ø¶¨Ò»Ï£¡¸Ð¼¤ÖС£¡£
|
|
|
|
||
| »ØÌûÖö¥ ( ¹²ÓÐ2¸ö ) | ||
tdong06ľ³æ (ÕýʽдÊÖ)
|
¡¾´ð°¸¡¿Ó¦Öú»ØÌû
¡ï
¸Ðл²ÎÓ룬ӦÖúÖ¸Êý +1 dxdwc: »ØÌûÖö¥ 2012-06-25 18:53:12 dxdwc: ½ð±Ò+1 2012-07-03 15:16:51
|
|
|
10Â¥2012-06-25 11:28:10
|
|
|
swnzľ³æ (СÓÐÃûÆø)
|
¡¾´ð°¸¡¿Ó¦Öú»ØÌû
¡ï ¡ï
dxdwc: »ØÌûÖö¥ 2012-06-25 18:52:57 dxdwc: ½ð±Ò+2, ¡ïÓаïÖú 2012-07-03 15:16:42
|
|
![]() |
||
|
11Â¥2012-06-25 16:38:12
|
|
|
| »ØÌûÖ§³Ö ( ÏÔʾ֧³Ö¶È×î¸ßµÄǰ 50 Ãû ) | ||
syt546426507½ð³æ (СÓÐÃûÆø)
|
||
|
3Â¥2012-06-23 09:19:54
|
|
|
309378297Òø³æ (СÓÐÃûÆø)
|
¡¾´ð°¸¡¿Ó¦Öú»ØÌû
¡ï ¡ï
¸Ðл²ÎÓ룬ӦÖúÖ¸Êý +1 dxdwc: ½ð±Ò+2 2012-07-03 15:16:56
|
|
|
5Â¥2012-06-23 10:40:02
|
|
|
cgspiderľ³æ (ÕýʽдÊÖ)
|
¡¾´ð°¸¡¿Ó¦Öú»ØÌû
¸Ðл²ÎÓ룬ӦÖúÖ¸Êý +1
|
|
![]() |
||
|
7Â¥2012-06-25 09:51:20
|
|
|
| ÆÕͨ»ØÌû | ||
dxdwcгæ (³õÈëÎÄ̳)
|
||
|
2Â¥2012-06-22 23:22:42
|
|
|
syt546426507½ð³æ (СÓÐÃûÆø)
|
||
|
4Â¥2012-06-23 09:22:00
|
|
|
chenweilala½ð³æ (СÓÐÃûÆø)
|
||
|
6Â¥2012-06-23 19:06:18
|
|
|
cgspiderľ³æ (ÕýʽдÊÖ)
|
||
![]() |
||
|
8Â¥2012-06-25 09:52:58
|
|
|
lihao1988903½ð³æ (ÕýʽдÊÖ)
|
||
|
9Â¥2012-06-25 10:57:35
|
|
|














»Ø¸´´ËÂ¥

10