²é¿´: 540  |  »Ø¸´: 1

sgk555

ľ³æ (ÕýʽдÊÖ)


[½»Á÷] СÊó¼¡ÈⲡÀíͼƬÇó½Ì

´ó¼ÒºÃ£º
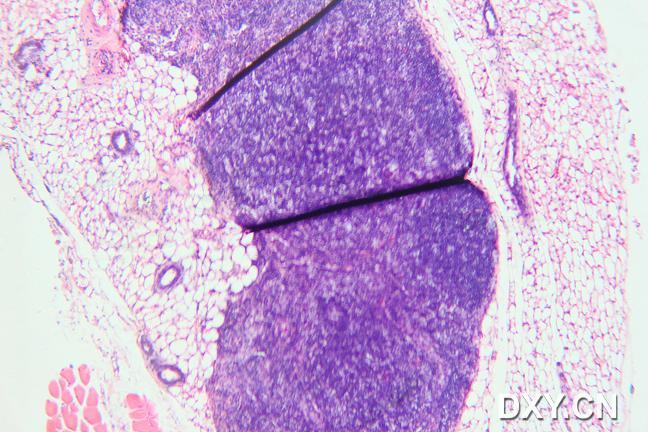
ÎÒ×î½ü°Ñδ¾­¹ý¼¡ÈâÃâÒßСÊóºÍ¾­¹ý×ô¼ÁÃâÒßСÊóµÄ¼¡ÈâͬʱÄÃÈ¥×ö²¡ÀíÇÐÆ¬£¬ÆäËû×éÖ¯ÎÞÒì³££¬²»¹ý¹Û²ìµ½Ò»¸öÏÖÏ󣬾ÍÊÇÕý³£Ð¡ÊóÓÐÒ»À¶É«ÇøÓòÊÇÓкÚÏß·Ö¸îµÄ£¬¶øÇÒ²»ÖªµÀÕâ¸öÀ¶É«ÇøÓòÊÇʲô¡£¶øÃâÒßÁË×ô¼ÁµÄСÊóÆä¼¡ÈⲡÀíÖеÄÀ¶É«²¿Î»Ã»ÓÐÕâÖÖºÚÉ«µÄÏß¡£
ÇëÎʸ÷λ³æÓÑ£¬Õâ¸öÀ¶É«µÄÇøÓòµ½µ×ÊÇʲô¶«Î÷£¬¶øºÚÉ«µÄÏßÓÖÊÇʲô£¿Èç¹û×ô¼Á×éÖкÚÉ«µÄÏßûÓÐÁË£¬ËµÃ÷ÁËʲô£¿Ð»Ð»½â´ð£¡

ÕâÕÅÊÇÕý³£µÄСÊó¼¡ÈⲡÀíÇÐÆ¬ÖеÄÒ»²¿·Ö£¬²»ÖªµÀÊÇʲô²¿Î»£¿



Õâ¸öÊÇ´òÁË×ô¼ÁСÊóµÄ¼¡È⣬ºÚÏßûÓÐÁË£¬²»ÖªµÀ˵Ã÷ÁËʲô£¿
»Ø¸´´ËÂ¥

» ²ÂÄãϲ»¶

» ±¾Ö÷ÌâÏà¹Ø¼ÛÖµÌùÍÆ¼ö£¬¶ÔÄúͬÑùÓаïÖú:

» ÇÀ½ð±ÒÀ²£¡»ØÌû¾Í¿ÉÒԵõ½:

²é¿´È«²¿É¢½ðÌù

ÒÑÔÄ   »Ø¸´´ËÂ¥   ¹Ø×¢TA ¸øTA·¢ÏûÏ¢ ËÍTAºì»¨ TAµÄ»ØÌû

sgk555

ľ³æ (ÕýʽдÊÖ)


×Ô¼º¸ø×Ô¼º¶¥Ò»Ï£¬Ï£ÍûÓÐÈËÓ¦Öúѽ
2Â¥2011-11-04 18:56:50
ÒÑÔÄ   »Ø¸´´ËÂ¥   ¹Ø×¢TA ¸øTA·¢ÏûÏ¢ ËÍTAºì»¨ TAµÄ»ØÌû
Ïà¹Ø°æ¿éÌø×ª ÎÒÒª¶©ÔÄÂ¥Ö÷ sgk555 µÄÖ÷Ìâ¸üÐÂ
×î¾ßÈËÆøÈÈÌûÍÆ¼ö [²é¿´È«²¿] ×÷Õß »Ø/¿´ ×îºó·¢±í
[¿¼ÑÐ] 286·ÖÈ˹¤ÖÇÄÜרҵÇëÇóµ÷¼ÁÔ¸Òâ¿ç¿¼£¡ +4 lemonzzn 2026-03-17 8/400 2026-03-21 22:49 by lemonzzn
[¿¼ÑÐ] Çóµ÷¼ÁԺУÐÅÏ¢ +3 CX 330 2026-03-21 3/150 2026-03-21 22:35 by bingxueer79
[¿¼ÑÐ] Ò»Ö¾Ô¸Î÷°²½»Í¨´óѧ²ÄÁϹ¤³Ìרҵ 282·ÖÇóµ÷¼Á +10 ·ãÇÅZL 2026-03-18 12/600 2026-03-21 22:02 by peike
[¿¼ÑÐ] ²ÄÁÏ 271Çóµ÷¼Á +5 Õ¹ÐÅÔÃ_ 2026-03-21 5/250 2026-03-21 17:29 by ѧԱ8dgXkO
[¿¼ÑÐ] 279Çóµ÷¼Á +5 ºìÒÂÒþ¹Ù 2026-03-21 5/250 2026-03-21 14:59 by lature00
[¿¼ÑÐ] ²ÄÁÏÓ뻯¹¤£¨0856£©304Çó BÇø µ÷¼Á +3 Çñgl 2026-03-21 3/150 2026-03-21 13:47 by lature00
[¿¼ÑÐ] һ־Ըɽ´ó07»¯Ñ§ 332·Ö ËÄÁù¼¶Òѹý ±¾¿ÆÉ½¶«Ë«·Ç Çóµ÷¼Á£¡ +3 ²»ÏëÀíÄã 2026-03-16 3/150 2026-03-21 03:59 by JourneyLucky
[¿¼ÑÐ] 307Çóµ÷¼Á +3 wyyyqx 2026-03-17 3/150 2026-03-21 03:20 by JourneyLucky
[¿¼ÑÐ] 301Çóµ÷¼Á +10 yyÒªÉϰ¶Ñ½ 2026-03-17 10/500 2026-03-21 03:14 by JourneyLucky
[¿¼ÑÐ] 271²ÄÁϹ¤³ÌÇóµ÷¼Á +8 .6lL 2026-03-18 8/400 2026-03-21 00:58 by JourneyLucky
[¿¼ÑÐ] Ò»Ö¾Ô¸ÖØÇì´óѧ085700×ÊÔ´Óë»·¾³×¨Ë¶£¬×Ü·Ö308Çóµ÷¼Á +3 īīĮ 2026-03-18 3/150 2026-03-21 00:39 by JourneyLucky
[¿¼ÑÐ] 296Çóµ÷¼Á +6 www_q 2026-03-18 10/500 2026-03-20 23:56 by JourneyLucky
[¿¼ÑÐ] Ò»Ö¾Ô¸Äϲý´óѧ£¬327·Ö£¬²ÄÁÏÓ뻯¹¤085600 +9 Ncdx123456 2026-03-19 9/450 2026-03-20 23:41 by lovewei0727
[¿¼ÑÐ] 290Çóµ÷¼Á +7 ^O^Ø¿ 2026-03-19 7/350 2026-03-20 21:43 by JourneyLucky
[¿¼ÑÐ] ²ÄÁÏѧ˶297ÒѹýËÄÁù¼¶Çóµ÷¼ÁÍÆ¼ö +11 adaie 2026-03-19 11/550 2026-03-20 21:30 by laoshidan
[¿¼ÑÐ] 281Çóµ÷¼Á£¨0805£© +14 ÑÌÏ«Ò亣 2026-03-16 25/1250 2026-03-20 15:47 by yuncha
[¿¼ÑÐ] 334Çóµ÷¼Á +3 Ö¾´æ¸ßÔ¶ÒâÔÚ»úÐ 2026-03-16 3/150 2026-03-18 08:34 by lm4875102
[¿¼ÑÐ] 301Çóµ÷¼Á +4 A_JiXing 2026-03-16 4/200 2026-03-17 17:32 by ruiyingmiao
[¿¼ÑÐ] 085601Çóµ÷¼Á +4 Du.11 2026-03-16 4/200 2026-03-17 17:08 by ruiyingmiao
[¿¼ÑÐ] Ò»Ö¾Ô¸211 0703·½Ïò310·ÖÇóµ÷¼Á +3 ŬÁ¦·Ü¶·112 2026-03-15 3/150 2026-03-16 16:44 by houyaoxu
ÐÅÏ¢Ìáʾ
ÇëÌî´¦ÀíÒâ¼û