24小时热门版块排行榜    

北京石油化工学院2026年研究生招生接收调剂公告
查看: 1261  |  回复: 7

beyo

木虫 (小有名气)

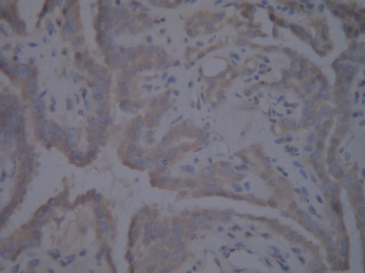
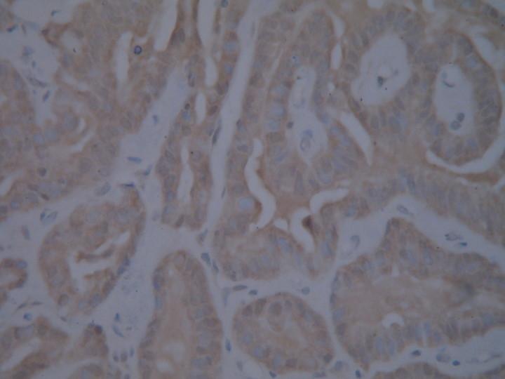
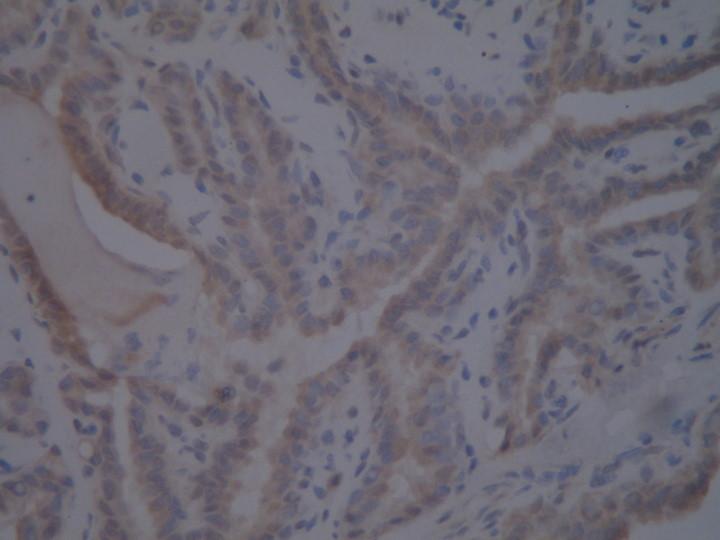
[求助] 小弟第一次做免疫组化,请各位达人评价一下效果

小弟我第一次做免疫组化
用的SP三步法,DAB染色
但是不知道效果如何,请各位有经验的达人评价一下效果以及可以改进的地方




回复此楼

» 猜你喜欢

» 本主题相关价值贴推荐,对您同样有帮助:

已阅   回复此楼   关注TA 给TA发消息 送TA红花 TA的回帖

叶心飞翔

银虫 (小有名气)

【答案】应助回帖

beyo(金币+1): 2011-09-05 15:30:51
图片看不到,只有个小红叉!可以以附件的形式发出来!
2楼2011-09-02 17:12:11
已阅   回复此楼   关注TA 给TA发消息 送TA红花 TA的回帖

beyo

木虫 (小有名气)

我确实用附件上传的呀
3楼2011-09-05 09:20:32
已阅   回复此楼   关注TA 给TA发消息 送TA红花 TA的回帖

yrbio

新虫 (初入文坛)

【答案】应助回帖

★ ★ ★ ★ ★ ★ ★ ★ ★ ★
wanhscn(金币-10): 与本贴问题相差太远,广告贴@ 2011-09-05 15:36:31
西瓜:编辑内容 2011-09-05 18:18
-----------广告贴,内容已编辑掉--------------

[ Last edited by 西瓜 on 2011-9-5 at 18:18 ]
4楼2011-09-05 10:14:57
已阅   回复此楼   关注TA 给TA发消息 送TA红花 TA的回帖

beautybanana

木虫 (著名写手)

西瓜:编辑内容 2011-09-05 18:18
引用回帖:
4楼: Originally posted by yrbio at 2011-09-05 10:14:57:

人家是来让你回答问题的啊,你怎么来做广告了呢,还是应助回帖啊~很不应该吧~

[ Last edited by 西瓜 on 2011-9-5 at 18:18 ]
5楼2011-09-05 10:26:17
已阅   回复此楼   关注TA 给TA发消息 送TA红花 TA的回帖

lilisense

铜虫 (初入文坛)

【答案】应助回帖

★ ★ ★ ★ ★
dhd997(金币+5): 鼓励新虫交流 2011-09-05 18:40:35
beyo(金币+2): 谢谢,不知道非特异染色是指哪部分? 2011-09-06 09:23:56
beyo(金币+2): 2011-10-08 09:44:36
这是肾脏吗?似乎有非特异性染色,还可以吧,我以前做的有时候也这样
sense
6楼2011-09-05 17:25:40
已阅   回复此楼   关注TA 给TA发消息 送TA红花 TA的回帖

wansanlian

金虫 (小有名气)

这个染的是什么啊?
乱花渐欲迷人眼
7楼2012-03-26 09:59:38
已阅   回复此楼   关注TA 给TA发消息 送TA红花 TA的回帖

beyo

木虫 (小有名气)

引用回帖:
4492851楼: Originally posted by wansanlian at 2012-03-26 09:59:38:
这个染的是什么啊?

人体的腺体病理组织
8楼2012-03-27 15:07:33
已阅   回复此楼   关注TA 给TA发消息 送TA红花 TA的回帖
相关版块跳转 我要订阅楼主 beyo 的主题更新
最具人气热帖推荐 [查看全部] 作者 回/看 最后发表
[考研] 363求调剂 +5 zh096 2026-04-04 5/250 2026-04-04 12:14 by 岸上的一条鱼
[考研] 一志愿085404,总分291,四级已过,求调剂 +5 阿俊阿俊阿俊 2026-04-04 6/300 2026-04-04 10:08 by 一切OK
[考研] 数一英一274机械调剂 +4 星陨流霞 2026-04-04 5/250 2026-04-04 09:35 by liucky
[考研] 283求调剂 +5 A child 2026-03-28 5/250 2026-04-04 00:40 by userper
[考研] 303求调剂 +10 DLkz1314. 2026-03-30 10/500 2026-04-03 18:03 by Jimmyandyou
[考研] 295求调剂 +7 愿旅途永远坦然 2026-04-02 7/350 2026-04-03 08:22 by fangshan711
[考研] 材料调剂 +8 懒羊羊轻置玉臀 2026-04-02 8/400 2026-04-02 22:03 by liu823948201
[考研] 322求调剂 +5 熹僖XX 2026-03-31 6/300 2026-04-02 10:08 by 求调剂zz
[考研] 食品学硕362求调剂 +3 xuanxianxian 2026-04-01 3/150 2026-04-01 21:05 by 啊李999
[考研] 一志愿西安交大材料学硕(英一数二)347,求调剂到高分子/材料相关专业 +7 zju51 2026-03-31 9/450 2026-04-01 19:35 by CFQZAFU
[考研] 生物与医药考研调剂 +5 铁憨憨123425 2026-03-31 5/250 2026-04-01 18:01 by syh9288
[考研] 285求调剂 +7 AZMK 2026-03-30 13/650 2026-04-01 17:00 by 七度不信任
[考研] 0855机械初试280求调剂 +3 kazenotori 2026-03-31 3/150 2026-04-01 10:08 by JourneyLucky
[考研] 288资源与环境专硕求调剂,不限专业,有学上就行 +25 lllllos 2026-03-30 26/1300 2026-04-01 09:52 by 一只好果子?
[考研] 江苏苏北高校诚邀调剂同学 +3 zzll406 2026-03-31 3/150 2026-03-31 16:54 by 及时行乐fan
[考研] 343求调剂 +8 爱羁绊 2026-03-28 8/400 2026-03-31 16:12 by 不吃魚的貓
[考研] 266求调剂 +3 哇呼哼呼哼 2026-03-29 3/150 2026-03-31 10:06 by cal0306
[考研] 269求调剂 +4 我想读研11 2026-03-31 4/200 2026-03-31 10:04 by cal0306
[考研] 求调剂 +10 家佳佳佳佳佳 2026-03-29 10/500 2026-03-30 18:34 by 544594351
[考研] 0703 化学 求调剂,一志愿山东大学 342 分 +7 Shern—- 2026-03-28 7/350 2026-03-30 16:31 by nothing投稿中
信息提示
请填处理意见