| 查看: 607 | 回复: 1 | ||
beyo木虫 (小有名气)
|
[求助]
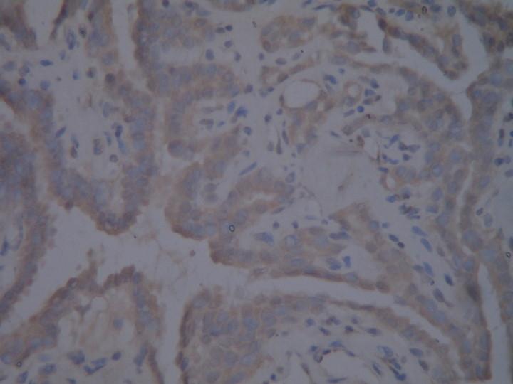
小弟第一次做免疫组化,请各位达人评价一下效果
|
|
小弟我第一次做免疫组化 用的SP三步法,DAB染色 但是不知道效果如何,请各位有经验的达人评价一下效果以及可以改进的地方 ![]() [ Last edited by beyo on 2011-9-1 at 10:11 ] |
» 猜你喜欢
申请K-CSC会有面试么?
已经有16人回复
prodrg的拓扑文件哪里有误
已经有0人回复
血液系统论文润色/翻译怎么收费?
已经有265人回复
NSFC-云南联合基金到哪一步啦
已经有18人回复
请教各位关乎J1签证豁免waiver参考时间线的问题
已经有8人回复
早点放榜吧
已经有4人回复
» 本主题相关价值贴推荐,对您同样有帮助:
【重磅奖励】好消息!金属版第一届达人评选开始啦!
已经有117人回复
【报名】金属版达人评选报名&颁奖专帖【请勿灌水】
已经有16人回复
请教有经验的有机达人——过柱分离问题
已经有10人回复
我的质粒怎么回事,一直不好,请各位达人帮忙看一下
已经有21人回复
请英语达人帮忙把一篇中文摘要翻译成英文~急用~小弟不胜感激!(勿要使用翻译软件)
已经有2人回复
请教各位达人,关于微孔和介孔!
已经有17人回复
我是做材料的,向各位物理达人请教...
已经有7人回复
本人论文由awaiting AE decision再次变为In peer review,请各位达人解释一下原因
已经有9人回复
【求助】乙酸乙酯能和酰氯反应吗,请各位有机达人给点指点
已经有18人回复
请各位投稿达人帮忙看一下这个审稿意见
已经有7人回复
【求助】向各位前辈达人请教户口问题
已经有10人回复
【求助/交流】以连接产物做模板扩增此连接产物,有问题请教各位达人~麻烦您帮忙分析下
已经有9人回复
【求助】请问各位食品达人,水中总大肠菌群如何测定?
已经有8人回复
2楼2011-10-07 22:16:15














回复此楼