24小时热门版块排行榜    

查看: 496  |  回复: 0
【悬赏金币】回答本帖问题,作者极寒迟钝将赠送您 5 个金币

极寒迟钝

新虫 (初入文坛)

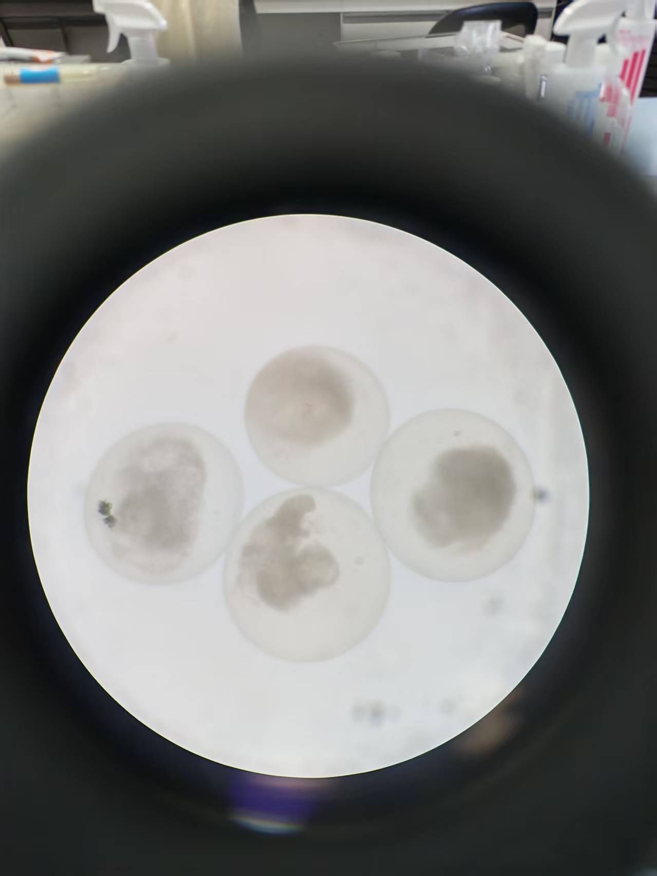
[求助] 斑马鱼孵化求助

我现在在制备无菌斑马鱼,从种鱼产卵交配做起,但是得到的卵在3 days post fertilization时体视观察全是死的,不清楚为什么会出现这种现象,希望知道的家人们帮忙分析分析o(╥﹏╥)o

斑马鱼孵化求助
回复此楼
已阅   回复此楼   关注TA 给TA发消息 送TA红花 TA的回帖
相关版块跳转 我要订阅楼主 极寒迟钝 的主题更新
不应助 确定回帖应助 (注意:应助才可能被奖励,但不允许灌水,必须填写15个字符以上)
最具人气热帖推荐 [查看全部] 作者 回/看 最后发表
[考研] 中科大材料与化工319求调剂 +3 孟鑫材料 2026-03-14 3/150 2026-03-14 20:10 by ms629
[考研] 289求调剂 +4 这么名字咋样 2026-03-14 6/300 2026-03-14 18:58 by userper
[考研] 中科大材料专硕319求调剂 +3 孟鑫材料 2026-03-13 3/150 2026-03-14 18:10 by houyaoxu
[考研] 求调剂,一志愿山东大学,数二英一,302 +3 nini412 2026-03-08 3/150 2026-03-14 04:23 by JourneyLucky
[考研] 一志愿哈工大材料 初试成绩323 +3 手机用户 2026-03-08 3/150 2026-03-14 03:27 by JourneyLucky
[考研] 288求调剂 +14 王晓阳- 2026-03-09 19/950 2026-03-14 02:05 by JourneyLucky
[考研] 一志愿天津大学,英一数二305分求调剂,四六级已过 +8 小小番的茄 2026-03-09 8/400 2026-03-14 01:53 by JourneyLucky
[考研] 一志愿郑大070303,338分,求调剂 +4 dadawaf 2026-03-10 5/250 2026-03-14 01:20 by lsw010101
[考研] 调剂 +3 13853210211 2026-03-10 3/150 2026-03-14 00:47 by JourneyLucky
[考研] 308求调剂 +3 是Lupa啊 2026-03-10 3/150 2026-03-14 00:30 by JourneyLucky
[考研] b区环境工程求调剂 +4 Maps1 2026-03-10 6/300 2026-03-14 00:23 by JourneyLucky
[考研] 复试调剂 +9 Copy267 2026-03-10 9/450 2026-03-13 23:45 by userper
[考研] 材料专硕288分求调剂 一志愿211 +4 在家想你 2026-03-11 4/200 2026-03-13 22:49 by JourneyLucky
[考研] 0703化学调剂 +4 快乐的香蕉 2026-03-11 4/200 2026-03-13 22:41 by JourneyLucky
[考研] 材料工程调剂 +9 咪咪空空 2026-03-12 9/450 2026-03-13 22:05 by 星空星月
[考研] 315求调剂 +9 小羊小羊_ 2026-03-11 10/500 2026-03-13 21:13 by SXNU李老师
[考研] 【0856】化学工程(085602)313 分,本科学科评估A类院校化学工程与工艺,诚求调剂 +7 小刘快快上岸 2026-03-11 7/350 2026-03-13 16:06 by ruiyingmiao
[考研] 290求调剂 +7 ADT 2026-03-12 7/350 2026-03-13 15:17 by JourneyLucky
[考博] 2026博士申请 +7 起泡酒 2026-03-08 7/350 2026-03-13 09:56 by mumu真真
[考研] 0817学硕华东区求调剂 +3 30660438 2026-03-08 3/150 2026-03-10 16:55 by Pegasus0429
信息提示
请填处理意见