| 查看: 1537 | 回复: 0 | ||
| 【悬赏金币】回答本帖问题,作者sdauzb609将赠送您 50 个金币 | ||
sdauzb609铜虫 (正式写手)
|
[求助]
求助斑马鱼心脏切片问题
|
|
|
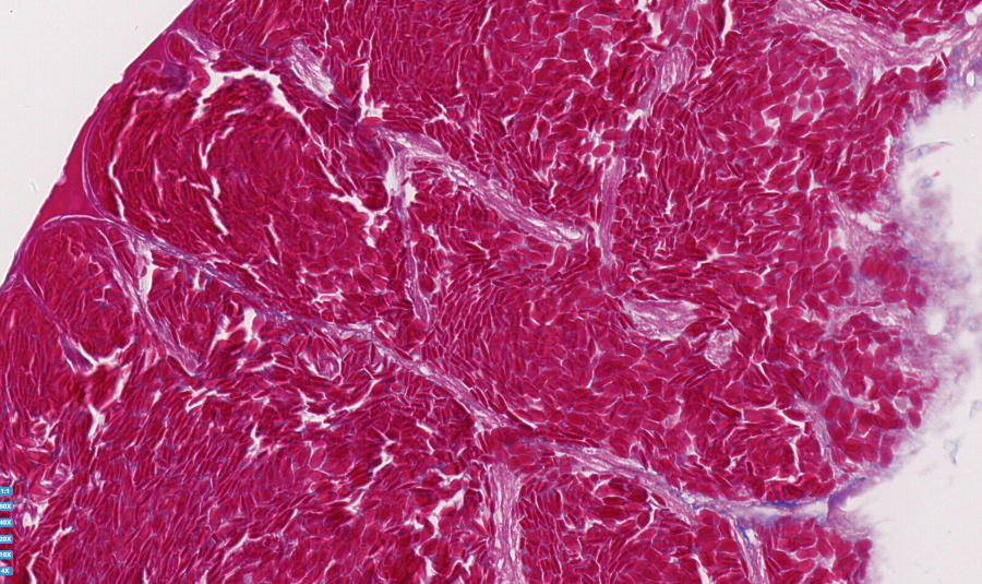
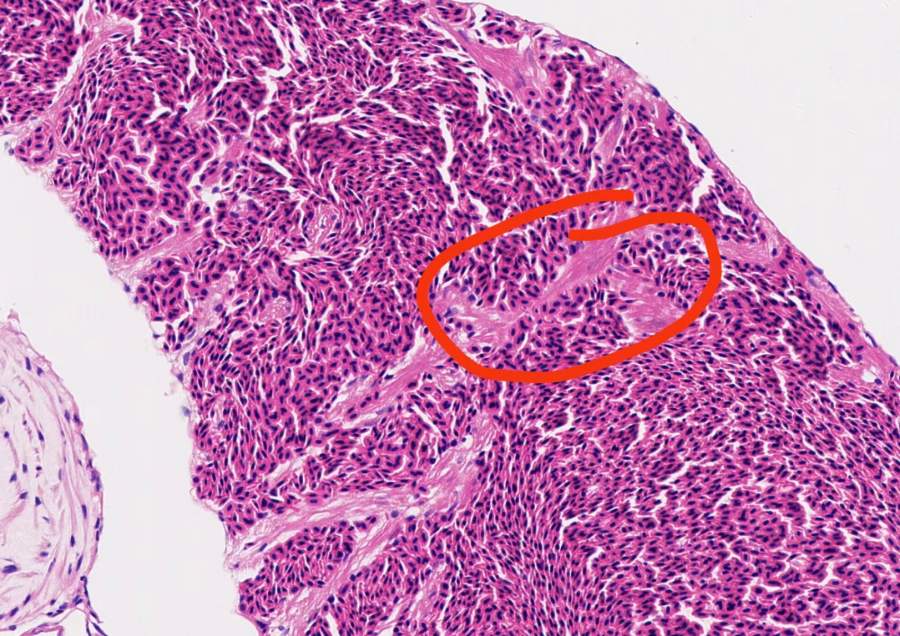
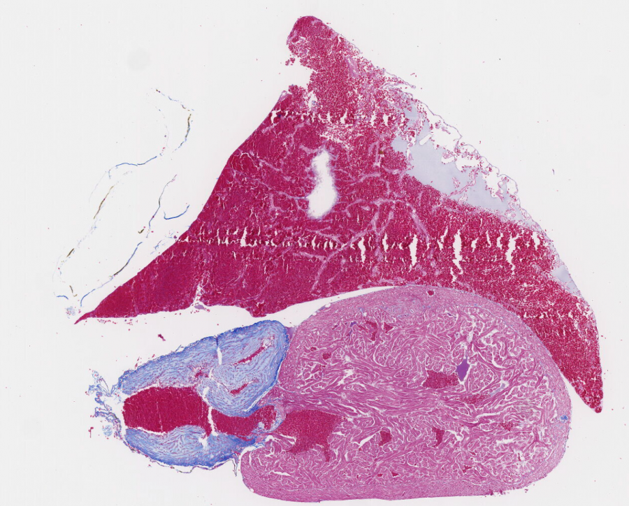
最近做了点斑马鱼心脏切片,HE染色发现心房部位有损伤,感觉像纤维化,就做了MASSON染色,结果好像并没有纤维化。由于小弟不是病理学专业,有没有大神能帮忙看看切片分析一下?图1是HE染色,图2为MASSON,图3为图2的局部放大。到底有没有纤维化?若没有,HE染色能否看出是何种损伤? 1.jpg 2.png 3.png |
» 猜你喜欢
怎么查看固定段11位
已经有5人回复
可以准确的通过filecode判断基金中还是不中。
已经有15人回复
植物学论文润色/翻译怎么收费?
已经有181人回复
感觉普通人已经没办法玩了,躺平是唯一的出路。
已经有26人回复
江苏省优青门槛
已经有20人回复
心好累。今年我们部门提交了18个项目。中了11了,可惜我的又挂了
已经有10人回复
面上项目计划书
已经有7人回复
面上项目计划书附件
已经有9人回复
面上项目计划书系统状态
已经有18人回复
NSFC-UNEP(与联合国环境规划署)合作项目
已经有33人回复
和伊朗人合作
已经有32人回复













回复此楼