| ²é¿´: 582 | »Ø¸´: 0 | ||
| ¡¾ÐüÉͽð±Ò¡¿»Ø´ð±¾ÌûÎÊÌ⣬×÷Õß´óÁÁ£¬£¬£¬½«ÔùËÍÄú 5 ¸ö½ð±Ò | ||
´óÁÁ£¬£¬£¬Ð³æ (³õÈëÎÄ̳)
|
[ÇóÖú]
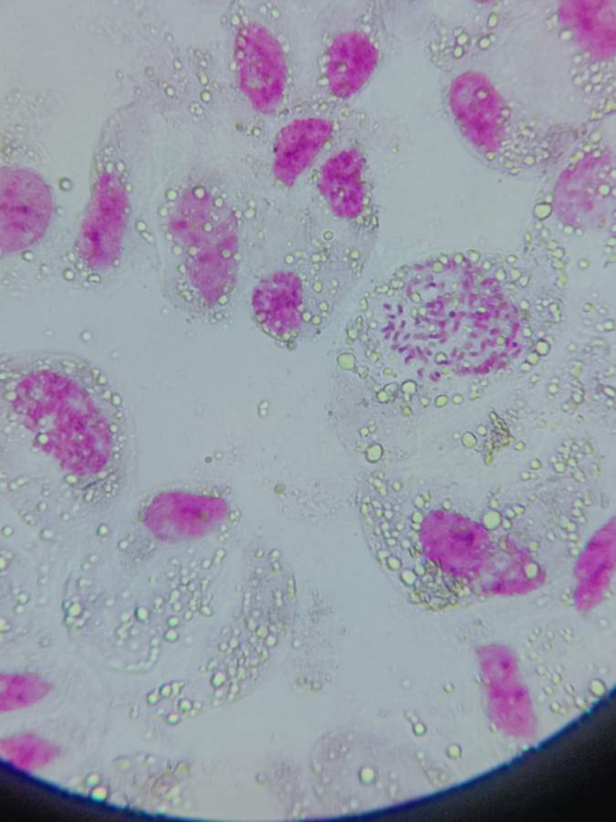
ÇóÎÊ£ººËÐÍ·ÖÎöȾɫÌåÖÆÆ¬ÖгöÏֵĵ»ÆÉ«Ð¡ÁÁ°ßÊÇɶ£¿
|
|
|
Óõij£¹æÑ¹Æ¬·¨£¬È¡²Ä¾¥¼â£¬ÊÓÒ°ÀïÕâЩÃÜÃÜÂéÂéµÄСÁÁ°ß»¹ÄÜËæË®Á÷¶¯£¬¿´×ÅÒ²²»ÏñÆøÅÝ¡£ÁíÍ⣬¶ÔÓÚȾɫÌåС¶ø¶àµÄÖ²ÎÔõÑùʹȾɫÌå¸ü¼Ó·ÖÉ¢ºÃÒ×ÓÚ¹Û²ìÄØ£¿ 2D08E364329330F5BB1153DA22DE7D1B.jpg 83071013980DD7A4CB63C0C908E11B46.jpg@starseacow |
» ²ÂÄãϲ»¶
¸Ð¾õÆÕͨÈËÒѾû°ì·¨ÍæÁË£¬ÌÉÆ½ÊÇΨһµÄ³ö·¡£
ÒѾÓÐ26È˻ظ´
½ËÕÊ¡ÓÅÇàÃż÷
ÒѾÓÐ20È˻ظ´
Ö²ÎïѧÂÛÎÄÈóÉ«/·ÒëÔõôÊÕ·Ñ?
ÒѾÓÐ214È˻ظ´
ÐĺÃÀÛ¡£½ñÄêÎÒÃDz¿ÃÅÌá½»ÁË18¸öÏîÄ¿¡£ÖÐÁË11ÁË£¬¿ÉϧÎÒµÄÓÖ¹ÒÁË
ÒѾÓÐ10È˻ظ´
ÃæÉÏÏîÄ¿¼Æ»®Êé
ÒѾÓÐ7È˻ظ´
ÃæÉÏÏîÄ¿¼Æ»®Ê鸽¼þ
ÒѾÓÐ9È˻ظ´
ÃæÉÏÏîÄ¿¼Æ»®Êéϵͳ״̬
ÒѾÓÐ18È˻ظ´
NSFC-UNEP£¨ÓëÁªºÏ¹ú»·¾³¹æ»®Ê𣩺Ï×÷ÏîÄ¿
ÒѾÓÐ33È˻ظ´
ºÍÒÁÀÊÈ˺Ï×÷
ÒѾÓÐ32È˻ظ´
½ËÕÊ¡×ÔÈ»»ù½ð
ÒѾÓÐ7È˻ظ´
ÉúÃü¿ÆÑ§ÐÂÓ¢ÎÄÆÕ¿¯¡¶INVESTIGATION OF LIFE SCIENCE¡·
ÒѾÓÐ2È˻ظ´













»Ø¸´´ËÂ¥
50