| 查看: 2189 | 回复: 13 | ||
| 【悬赏金币】回答本帖问题,作者SuYuo将赠送您 10 个金币 | ||
| 当前只显示满足指定条件的回帖,点击这里查看本话题的所有回帖 | ||
[求助]
大肠杆菌原核表达,菌液直接SDS-PAGE跑不出来条带,求助已有2人参与
|
||
|
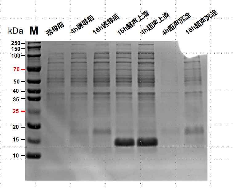
最近在做原核表达,大肠杆菌诱导后做SDS-PAGE,其中菌液直接跑胶上个月还能做出来,突然有一天跑不出来了,怀疑是自己操作问题。 但是超声后的上清依然有目的蛋白表达,请问各位是什么原因? 我的样品处理是这样的: 1 取诱导后菌液,8000g5min离心,弃上清,PBS重悬再8000g5min离心,弃上清; 2 沉淀用25%原体积的裂解buffer重悬后,+蛋白上样buffer,95℃煮沸5min,12000g离心2min,取上清上样 |
» 猜你喜欢
到新单位后,换了新的研究方向,没有团队,持续积累2区以上论文,能申请到面上吗
已经有7人回复
申请2026年博士
已经有5人回复
天津工业大学郑柳春团队欢迎化学化工、高分子化学或有机合成方向的博士生和硕士生加入
已经有5人回复
寻求一种能扛住强氧化性腐蚀性的容器密封件
已经有6人回复
2025冷门绝学什么时候出结果
已经有7人回复
请问有评职称,把科研教学业绩算分排序的高校吗
已经有6人回复
Bioresource Technology期刊,第一次返修的时候被退回好几次了
已经有7人回复
请问哪里可以有青B申请的本子可以借鉴一下。
已经有4人回复
请问下大家为什么这个铃木偶联几乎不反应呢
已经有5人回复
康复大学泰山学者周祺惠团队招收博士研究生
已经有6人回复


12楼2022-09-07 10:39:45

2楼2022-08-17 20:05:06

3楼2022-08-17 20:06:40
高飞雄
新虫 (正式写手)
- 应助: 0 (幼儿园)
- 金币: 1876.3
- 散金: 106
- 红花: 3
- 沙发: 4
- 帖子: 749
- 在线: 42.2小时
- 虫号: 7840278
- 注册: 2018-01-28
- 专业: 生物化学
4楼2022-08-18 14:23:26













回复此楼