| 查看: 1955 | 回复: 0 | ||
| 【悬赏金币】回答本帖问题,作者秦丹将赠送您 5 个金币 | ||
[求助]
缺血再灌注(IR)损伤小鼠HE染色请教
|
||
|
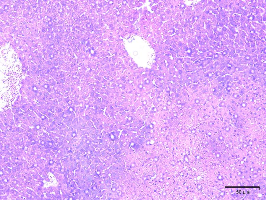
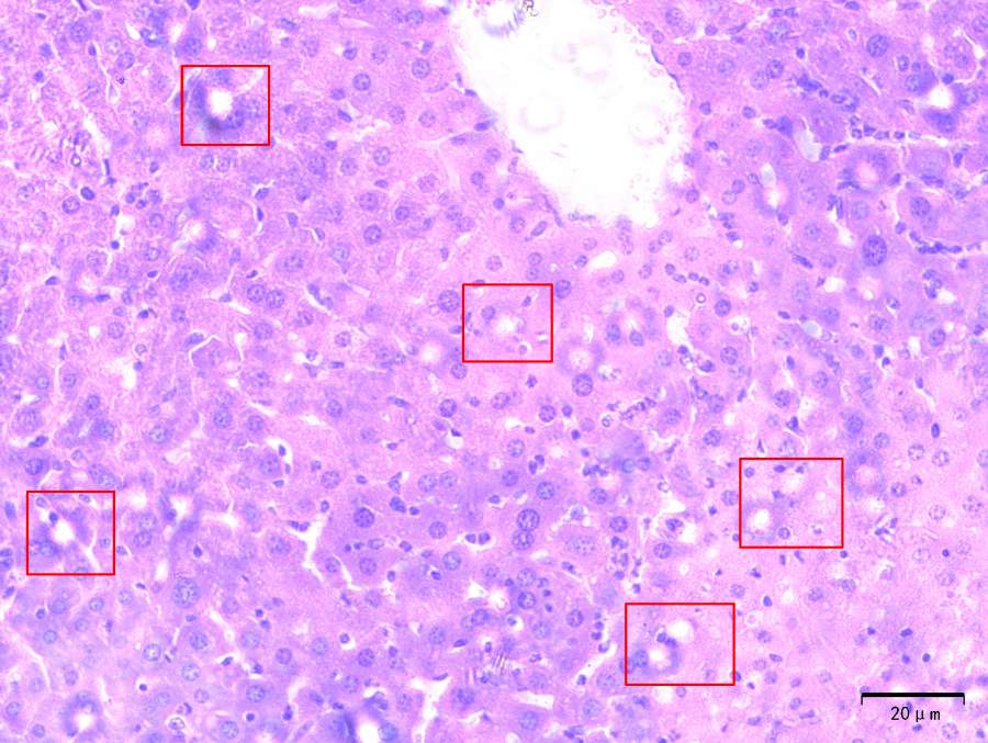
各位前辈们好, 想请教下,在做IR损伤小鼠肝脏HE染色时,如图红色框标注,出现了很多小空泡,但看着也不像脂滴,请问是纸片或操作过程中出错了,还是一种损伤呢?请前辈们多多指教,谢谢。 IR 20X-1.jpg IR 10X-1.jpg |
» 猜你喜欢
感觉普通人已经没办法玩了,躺平是唯一的出路。
已经有26人回复
江苏省优青门槛
已经有20人回复
植物学论文润色/翻译怎么收费?
已经有173人回复
心好累。今年我们部门提交了18个项目。中了11了,可惜我的又挂了
已经有10人回复
面上项目计划书
已经有7人回复
面上项目计划书附件
已经有9人回复
面上项目计划书系统状态
已经有18人回复
NSFC-UNEP(与联合国环境规划署)合作项目
已经有33人回复
和伊朗人合作
已经有32人回复
江苏省自然基金
已经有7人回复
生命科学新英文普刊《INVESTIGATION OF LIFE SCIENCE》
已经有2人回复













回复此楼
10