| 查看: 2381 | 回复: 8 | ||
[求助]
求助,蛋白为何小样诱导有条带,大样纯化无目的条带? 已有1人参与
|
|
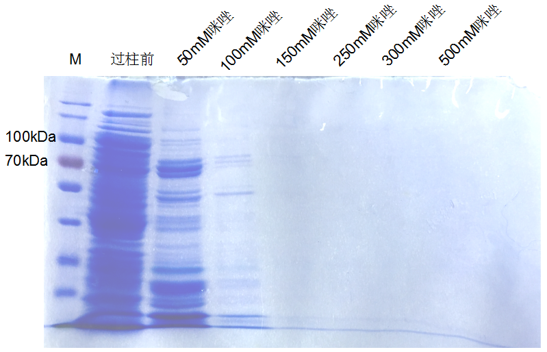
我的目的蛋白约67.41kDa,连接载体PET32a,酶切位点为BamHI和Hind3,扩的是基因的ORF(包括终止子) 先小样预诱导了,跑胶看出似乎有目的条带 但由于小型超声波破碎仪坏了,所以跑的样品是全菌,无法得出目的蛋白在上清还是沉淀(图1) 随后,大量诱导后取[b上清过镍柱后跑胶图如下(图2),根本没有目的条带,甚至杂蛋白也没有,请大神分析一下究竟咋了 1.png 2.png |
» 猜你喜欢
筑牢营养安全线:以精准检测,护健康基石
已经有0人回复
推荐一些20种氨基酸检测的实际应用案例
已经有0人回复
化学工程及工业化学论文润色/翻译怎么收费?
已经有81人回复
不合理蛙科研实验中的趣事:实验器材的 “乌龙”
已经有0人回复
不合理蛙科研实验中的趣事:和实验材料的 “斗智斗勇”
已经有0人回复
蛋白质检测:精准分析,解锁生物分子的密码
已经有0人回复
不合理蛙科研实验之小鼠实验:严谨设计,解析生命机制的重要载体
已经有0人回复
不合理蛙科研实验之重金属检测:精准筛查,守护健康与环境的防线
已经有0人回复
不合理蛙科研实验之“蛙测重金属我背锅三千”
已经有0人回复
不合理蛙科研实验之“鼠逃三次我发三篇SCI”
已经有0人回复
2楼2017-05-19 17:09:15
【答案】应助回帖
★
西门吹雪170: 金币+1, 鼓励回帖交流 2017-05-25 07:44:02
西门吹雪170: 金币+1, 鼓励回帖交流 2017-05-25 07:44:02
|
你IPTG诱导以后 直接拿上清做的纯化吗 你看你的目的蛋白就在沉淀里 不破碎目的蛋白不出来 直接拿iptg诱导后离心的上清做纯化那肯定没有啊 发自小木虫IOS客户端 |
3楼2017-05-19 17:11:53
4楼2017-05-24 15:47:44
西西sm
新虫 (正式写手)
- 应助: 1 (幼儿园)
- 金币: 1343.3
- 散金: 90
- 红花: 4
- 帖子: 323
- 在线: 97.2小时
- 虫号: 3687470
- 注册: 2015-02-13
- 性别: MM
- 专业: 微生物生理与生物化学
5楼2017-05-24 23:19:53
西西sm
新虫 (正式写手)
- 应助: 1 (幼儿园)
- 金币: 1343.3
- 散金: 90
- 红花: 4
- 帖子: 323
- 在线: 97.2小时
- 虫号: 3687470
- 注册: 2015-02-13
- 性别: MM
- 专业: 微生物生理与生物化学
6楼2017-05-24 23:20:26
西西sm
新虫 (正式写手)
- 应助: 1 (幼儿园)
- 金币: 1343.3
- 散金: 90
- 红花: 4
- 帖子: 323
- 在线: 97.2小时
- 虫号: 3687470
- 注册: 2015-02-13
- 性别: MM
- 专业: 微生物生理与生物化学
7楼2017-05-24 23:21:56
xinxiyuzhou
至尊木虫 (著名写手)
- 应助: 78 (初中生)
- 金币: 13452.5
- 散金: 55
- 红花: 19
- 帖子: 2045
- 在线: 425小时
- 虫号: 1304974
- 注册: 2011-05-24
- 性别: GG
- 专业: 神经生物学
|
估计你的蛋白是包涵体表达,增大体积后,蛋白表达量就很高了,更容易形成包涵体,过柱之前还是要鉴定一下的,要改进的话,降低诱导剂浓度和诱导温度,诱导的体积也要减少。 发自小木虫Android客户端 |
8楼2017-05-25 10:18:57
9楼2017-05-25 10:35:35













回复此楼