| 查看: 5659 | 回复: 3 | ||
[求助]
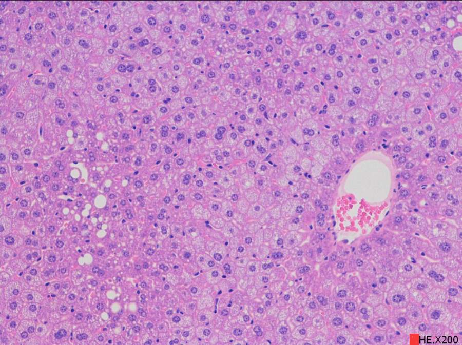
求助读片:小鼠肝脏HE切片(脂肪变性、炎症等)10周龄左右
|
|
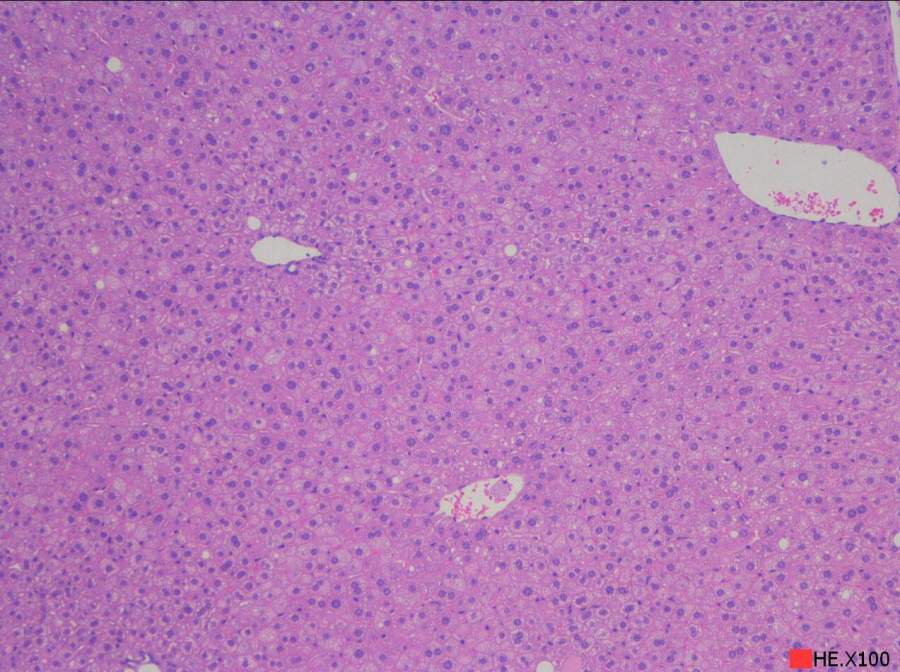
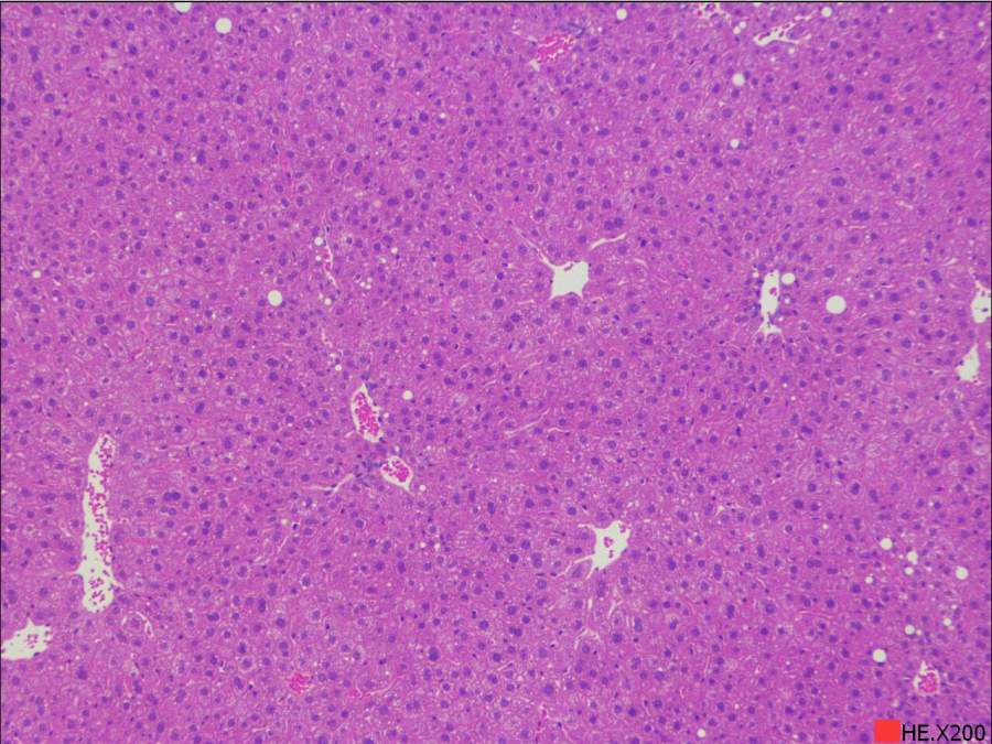
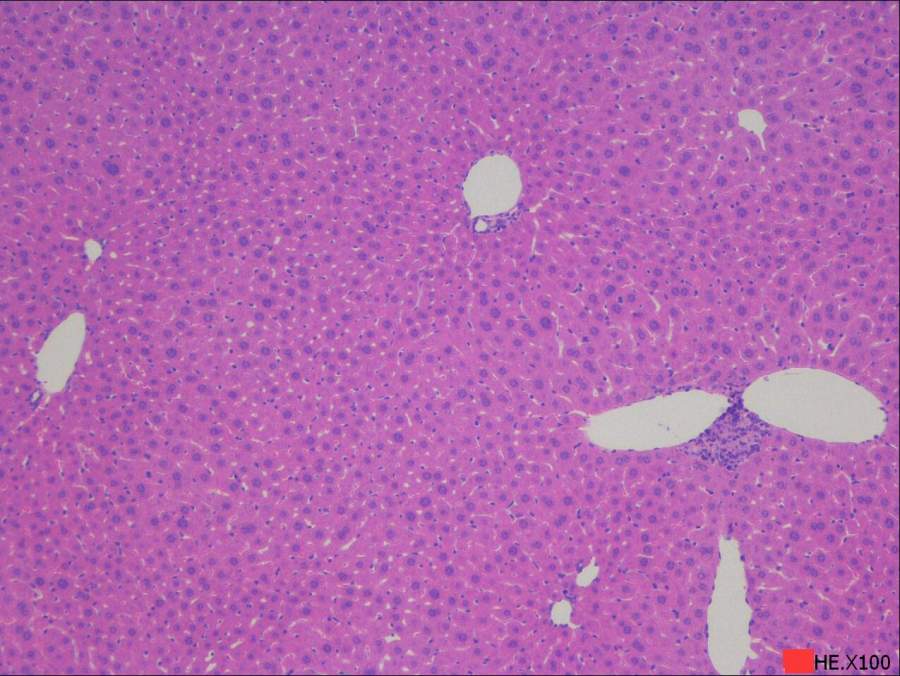
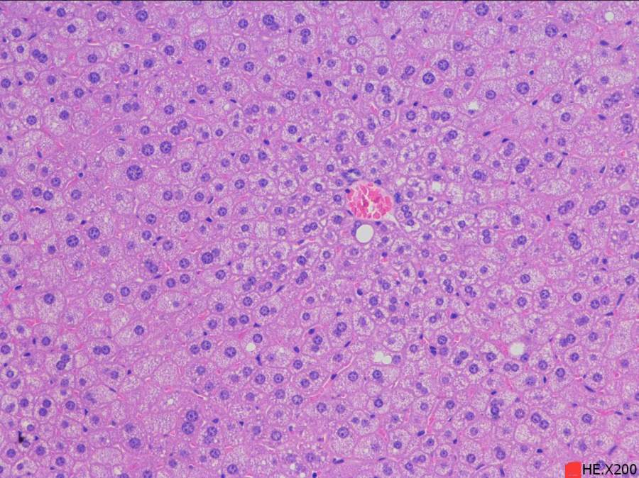
由于肝脏病变相关知识储备不够,特请教各位虫友帮着读下片,主要想了解肝脏脂肪沉积、变性,是否有炎症等,如果有其它病变也请指点一下。在此不盛感激 !!!下面附图。 2.100.jpg 3.100.jpg 3.200.jpg 4.100.jpg 4.200.jpg 5.200.jpg@starseacow |
» 猜你喜欢
感觉普通人已经没办法玩了,躺平是唯一的出路。
已经有26人回复
江苏省优青门槛
已经有20人回复
植物学论文润色/翻译怎么收费?
已经有200人回复
心好累。今年我们部门提交了18个项目。中了11了,可惜我的又挂了
已经有10人回复
面上项目计划书
已经有7人回复
面上项目计划书附件
已经有9人回复
面上项目计划书系统状态
已经有18人回复
NSFC-UNEP(与联合国环境规划署)合作项目
已经有33人回复
和伊朗人合作
已经有32人回复
江苏省自然基金
已经有7人回复
生命科学新英文普刊《INVESTIGATION OF LIFE SCIENCE》
已经有2人回复

star013
新虫 (知名作家)
- 应助: 4 (幼儿园)
- 金币: 1488.5
- 散金: 831
- 红花: 33
- 帖子: 5395
- 在线: 493.3小时
- 虫号: 1401381
- 注册: 2011-09-14
- 专业: 法学
2楼2016-12-23 17:22:47
inkeyKong
新虫 (初入文坛)
- 应助: 0 (幼儿园)
- 金币: 66.5
- 帖子: 16
- 在线: 18.5小时
- 虫号: 8576402
- 注册: 2018-04-20
- 性别: MM
- 专业: 食品加工技术
3楼2020-01-03 22:53:56
4楼2021-07-20 11:06:32













回复此楼