| ²é¿´: 7643 | »Ø¸´: 6 | ||
[ÇóÖú]
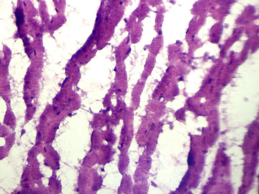
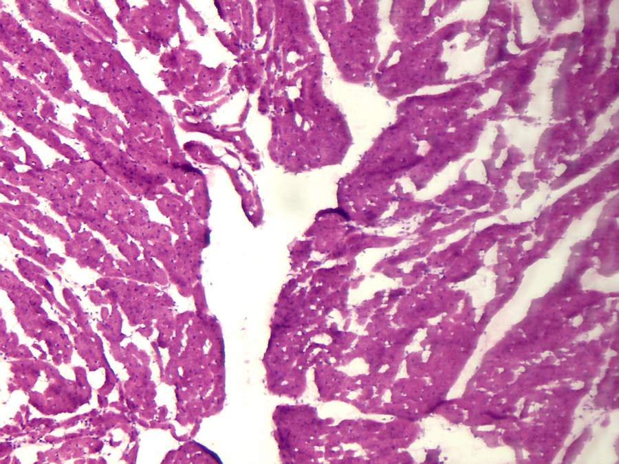
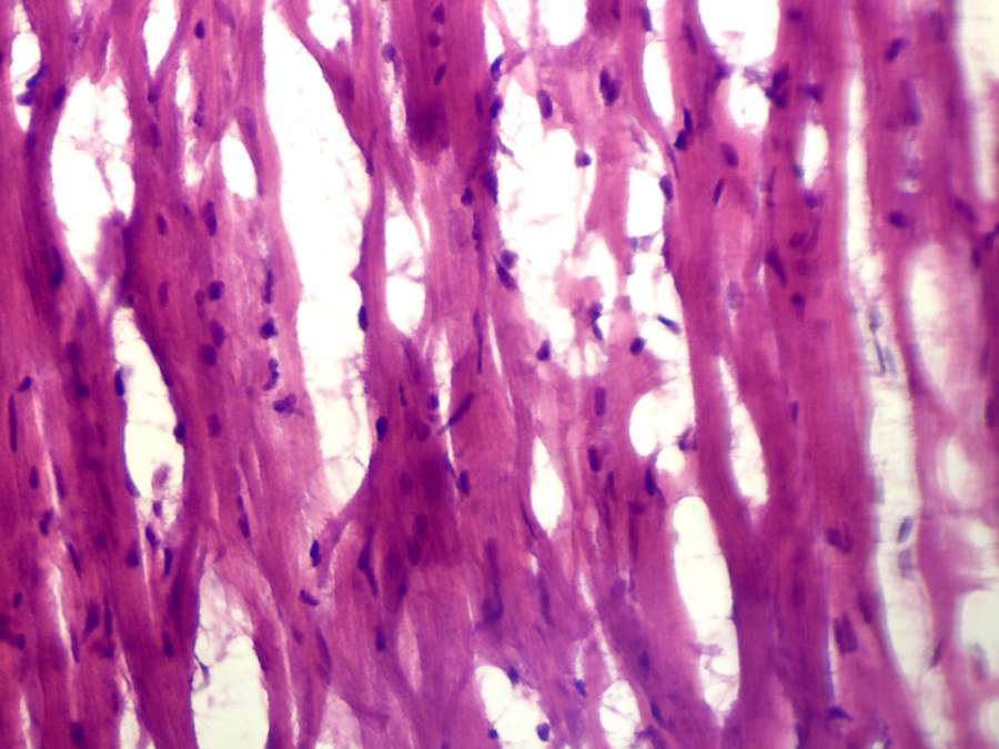
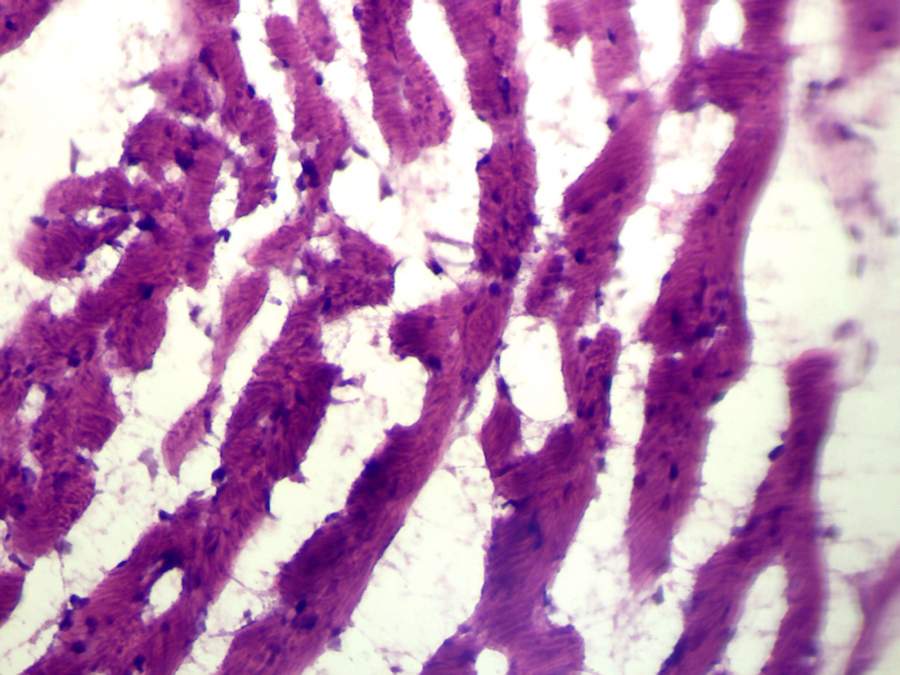
ÇëÄÄλ¸ßÊÖ°ïÎÒ·ÖÎöÒ»ÏÂÕâ7ÕÅÐÄÔà×éÖ¯µÄHEȾɫ±ù¶³ÇÐÆ¬£¬±¾ÈËÍêÈ«²»¿´²»¶®£¬
|
|
ÇëÄÄλ¸ßÊÖ°ïÎÒ·ÖÎöÒ»ÏÂÕâ7ÕÅÐÄÔà×éÖ¯µÄHEȾɫ±ù¶³ÇÐÆ¬£¬±¾ÈËÍêÈ«²»¿´²»¶®£¬ ÐÄÔà400.jpg ÐÄÔà400.jpg ÐÄÔà400.jpg ÐÄÔà400.jpg ÐÄÔà400.jpg ÐÄÔà400.jpg ÐÄÔà400.jpg |
» ±¾ÌûÒÑ»ñµÃµÄºì»¨£¨×îÐÂ10¶ä£©
» ²ÂÄãϲ»¶
Ò»Ö¾Ô¸ÏÃÃÅ´óѧ»¯Ñ§Ñ§Ë¶307Çóµ÷¼Á
ÒѾÓÐ3È˻ظ´
315·ÖÇóµ÷¼Á
ÒѾÓÐ4È˻ظ´
»¯Ñ§µ÷¼ÁÒ»Ö¾Ô¸ÉϺ£½»Í¨´óѧ336·Ö-±¾¿ÆÉϺ£211
ÒѾÓÐ4È˻ظ´
×Ü·Ö293Çóµ÷¼Á
ÒѾÓÐ7È˻ظ´
»·¾³×¨Ë¶324·ÖÇóµ÷¼ÁÍÆ¼ö
ÒѾÓÐ3È˻ظ´
284Çóµ÷¼Á
ÒѾÓÐ3È˻ظ´
±±¾©ÁÖÒµ´óѧ˶µ¼ÕÐÉú¹ã¸æ
ÒѾÓÐ6È˻ظ´
0703»¯Ñ§/290Çóµ÷¼Á/±¾¿Æ¾Àú·á¸»/¹¤¿ÆÒ²¿É
ÒѾÓÐ3È˻ظ´
274Çóµ÷¼Á
ÒѾÓÐ16È˻ظ´
Ò»Ö¾Ô¸±±¾©»¯¹¤´óѧ²ÄÁÏÓ뻯¹¤£¨085600£©296Çóµ÷¼Á
ÒѾÓÐ4È˻ظ´
» ±¾Ö÷ÌâÏà¹Ø¼ÛÖµÌùÍÆ¼ö£¬¶ÔÄúͬÑùÓаïÖú:
ÇëÄÄλ´óÉñ°ïÎÒ·ÖÎöһϲúÎïµÄ¸ß·Ö±æ¶þ¼¶ÖÊÆ×ͼ£¬½ð±Ò²»¶à£¬¸ÐлÁË
ÒѾÓÐ0È˻ظ´
Çë¸ßÊÖ°ïÎÒ·ÒëһСƪ·ù£¨½ö½ö115¸ö×Ö£©µÄÖÐÎÄÕªÒª·Òë³É½ÏΪͨ˳µÄÓ¢ÎÄÕªÒª
ÒѾÓÐ6È˻ظ´
ÓÍÌïÊäË͹ܸ¯Ê´²úÎïµÄXRDͼ£¬¼±ÇóÄÄλ¸ßÊÖ°ïÎÒ·ÖÎöһϡ£·Ç³£¸Ðл
ÒѾÓÐ9È˻ظ´
´ÞÁ¢É½£ºÇ±ÐÄÖÎѧÊÇÒ»ÖÖÏíÊÜ
ÒѾÓÐ7È˻ظ´
XÉäÏß¹âµç×ÓÄÜÆ× XPSÊý¾Ý·ÖÎöÇóÖú£¡£¡¼±£¡Íò·Ö¸Ðл£¡
ÒѾÓÐ8È˻ظ´
Çë¸ßÊÖ°ïÎÒ·ÖÎöÒ»ÏÂÕâÕÅÆÏ¾ÛÌǺ˴ʲÕñÆ×ͼѽ£¡
ÒѾÓÐ2È˻ظ´
ÇóÖú½âÎöÒ»ì¢Æ×ͼ
ÒѾÓÐ1È˻ظ´
Ìì½òµçÁ¦¹«Ë¾VSΫ·»µçÁ¦¹«Ë¾£¿£¿ÈçºÎÑ¡Ôñ£¬Çë¸ßÊÖÖ¸½Ì¡«¡«¼±£¬Ð»Ð»£¡
ÒѾÓÐ92È˻ظ´
ÄÄλÅóÓѰïÎÒ¶ÁÒ»ÏÂÎÒµÄBeta·ÐʯN2Îü¸½Êý¾Ý
ÒѾÓÐ6È˻ظ´
¡¾ÇóÖú/½»Á÷¡¿ÇëÄÄλ´óÏÀ°ïÎÒ·ÖÎöÏ ¼¸¸ö¼ò²¢ÒýÎï лл
ÒѾÓÐ3È˻ظ´
¼±¼±¼±£¡£¡£¡Ï£ÍûÄÄλ¸ßÊÖÀ´Ö¸µ¼ÏÂÎҵıÏÒµÂÛÎÄ(Òѽâ¾ö)
ÒѾÓÐ4È˻ظ´
ÇóÖúÒ»¸öÒÇÆ÷·ÖÎö¿Î¼þ
ÒѾÓÐ1È˻ظ´
´ß»¯°æÉÏ2008-04-25ǰ ·Ðʯ·Ö×Óɸ£¬ZSM-ϵ¡¢SAPO-ϵ ¹²466¸ö»°Ì⼯½õ
ÒѾÓÐ110È˻ظ´


2Â¥2016-10-31 18:38:04
514278815
ľ³æ (СÓÐÃûÆø)
- Ó¦Öú: 7 (Ó×¶ùÔ°)
- ½ð±Ò: 2857.6
- É¢½ð: 200
- ºì»¨: 3
- Ìû×Ó: 137
- ÔÚÏß: 107.2Сʱ
- ³æºÅ: 2458441
- ×¢²á: 2013-05-10
- ÐÔ±ð: GG
- רҵ: ¿¹Ì幤³Ìѧ
3Â¥2016-11-01 15:57:34

4Â¥2016-11-01 18:23:23

5Â¥2016-11-01 18:24:02
memorize1991
ľ³æ (ÕýʽдÊÖ)
- Ó¦Öú: 2 (Ó×¶ùÔ°)
- ½ð±Ò: 4179.2
- É¢½ð: 500
- ºì»¨: 4
- Ìû×Ó: 609
- ÔÚÏß: 129.5Сʱ
- ³æºÅ: 3623577
- ×¢²á: 2015-01-02
- ÐÔ±ð: GG
- רҵ: ÉúÎﻯѧ
|
¸ÕѧÍêÃâÒß×黯£¬°´ÕÕÀÏʦµÄ˵·¨¡£Æ¬×ÓÉÏϸ°û²»ÔÚÍ¬Ò»Æ½Ãæ£¬Ö¤Ã÷ÇÐÆ¬²»¾ùÔÈ£¬»òÕßÇÐÆ¬¹ýºñ¡«ÓÐЩÓм¸ÕÅȾɫ¹ýÉ×îºóÒ»ÕÅΪÀý£©£¬ËÕÄ¾ËØÈ¾µÄÓзÇÌØÒìÐÔȾɫ£¬ÒÀºìÒ²ÊÇ£¬Ï¸°ûÖÊÀïȾɫ̫ºì£¬Ï¸°ûºËȾɫ̫À¶£¨¶¼ºÚÁË£©£¬Ï¸°û×ÅÉ«Óë±³¾°É«Ïà²î²»Ã÷ÏÔ¡£×îÖ÷ÒªµÄÊÇ£¬Ã¿ÕÅÆ¬×Ó¶¼²»ºÏ¸ñ£¬»òÕßÊÇÈ¡ÕÕµÄλÖò»ºÏ¸ñ£¬ÒòΪÇÐÆ¬ÉÏϸ°ûÃ÷ÏÔ²»ÔÚÍ¬Ò»Æ½Ãæ£¬°´ÕÕÀÏʦ˵·¨£¬ÕâÖÖÆ¬×Ó²»ºÏ¸ñ£¬ÊDz»»á·¢¸øÆäËûʵÑéÊҵġ£ ·¢×ÔСľ³æAndroid¿Í»§¶Ë |
6Â¥2016-11-02 08:50:16
memorize1991
ľ³æ (ÕýʽдÊÖ)
- Ó¦Öú: 2 (Ó×¶ùÔ°)
- ½ð±Ò: 4179.2
- É¢½ð: 500
- ºì»¨: 4
- Ìû×Ó: 609
- ÔÚÏß: 129.5Сʱ
- ³æºÅ: 3623577
- ×¢²á: 2015-01-02
- ÐÔ±ð: GG
- רҵ: ÉúÎﻯѧ
|
¿ÉÒÔÕÒÕÒ×öÃâÒß×黯µÄÈË¿´¿´£¬Ñ§Ð£µÄÃâÒß×黯ƽ̨»òÕßÒ²ÓÐרÃŵÄÃâÒß×黯¹«Ë¾°É£¨Ð¡Ë¶Ò»Ã¶£¬ÉÏÃæµÄ¼û½âÈ«ÊÇÉÏÖÜѧÃâÒß×黯£¬×öÁËÒ»¸öʯÀ¯ÇÐÆ¬È¾É«£¬´ÓÖз¢ÏÖµÄÎÊÌ⣩ ·¢×ÔСľ³æAndroid¿Í»§¶Ë |
7Â¥2016-11-02 08:53:52













»Ø¸´´ËÂ¥
À¶ÓïÇç