| ²é¿´: 1621 | »Ø¸´: 20 | ||
ÇúÖ±Ñ×ÉÏ½ð³æ (³õÈëÎÄ̳)
|
[ÇóÖú]
Çë¸÷λ´óÉñ½â»óϸ°û״̬ ÒÑÓÐ7È˲ÎÓë
|
|
|
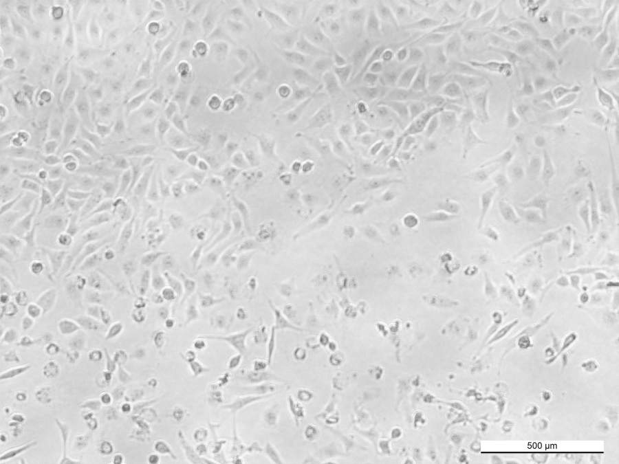
ÖÖÔÚ¾ÅÊ®Áù¿×°åÒԺ󣬻»¹ýÒ»´ÎÒº£¬ÕâÊÇÕý³£×飬²»ÖªµÀΪʲôÖм䳤ÕâÑùÁË£¬Ï¸°ûÊÇËÀµÄ£¬ÓÐÁ½Èý´ÎÁË£¬Çë´óÉñ°ïæ¿´¿´ÕÒÕÒÔÒò£¬Íò·Ö¸Ðл£¡£¡£¡ 8.11.2.jpg 8.11.3.jpg 8.11.4.jpg 8.11.7.jpg 8.11.jpg |
» ²ÂÄãϲ»¶
µ°°×Öʼì²â£º¾«×¼·ÖÎö£¬½âËøÉúÎï·Ö×ÓµÄÃÜÂë
ÒѾÓÐ0È˻ظ´
²»ºÏÀíÍÜ¿ÆÑÐʵÑé֮СÊóʵÑ飺ÑϽ÷Éè¼Æ£¬½âÎöÉúÃü»úÖÆµÄÖØÒªÔØÌå
ÒѾÓÐ0È˻ظ´
»¯Ñ§¹¤³Ì¼°¹¤Òµ»¯Ñ§ÂÛÎÄÈóÉ«/·ÒëÔõôÊÕ·Ñ?
ÒѾÓÐ167È˻ظ´
²»ºÏÀíÍÜ¿ÆÑÐʵÑéÖ®ÖØ½ðÊô¼ì²â£º¾«×¼É¸²é£¬ÊØ»¤½¡¿µÓë»·¾³µÄ·ÀÏß
ÒѾÓÐ0È˻ظ´
²»ºÏÀíÍÜ¿ÆÑÐʵÑéÖ®¡°ÍܲâÖØ½ðÊôÎÒ±³¹øÈýǧ¡±
ÒѾÓÐ0È˻ظ´
²»ºÏÀíÍÜ¿ÆÑÐʵÑéÖ®¡°ÊóÌÓÈý´ÎÎÒ·¢ÈýƪSCI¡±
ÒѾÓÐ0È˻ظ´
ÄÉÃ×Á£¶È·ÖÎö
ÒѾÓÐ3È˻ظ´
ÁÖ¿ÆÔºÁÖ»¯ËùÕÐÊÕ²ÄÁÏÓ뻯¹¤×¨ÒµË¶Ê¿£¬×ø±êÄϾ©
ÒѾÓÐ0È˻ظ´
Áôѧ--²©Ê¿ÕÐÉú
ÒѾÓÐ8È˻ظ´
»¯Ñ§¹¤³Ì£¬±¾211£¬Çóµ÷¼Á£¬abÇø²»ÏÞ
ÒѾÓÐ3È˻ظ´
» ±¾Ö÷ÌâÏà¹Ø¼ÛÖµÌùÍÆ¼ö£¬¶ÔÄúͬÑùÓаïÖú:
Helaϸ°ûÅàÑøÎÊÌâÇóÖú
ÒѾÓÐ1È˻ظ´
wjf7862203
Ìú³æ (СÓÐÃûÆø)
- Ó¦Öú: 9 (Ó×¶ùÔ°)
- ½ð±Ò: 1634.9
- É¢½ð: 1
- ºì»¨: 1
- Ìû×Ó: 81
- ÔÚÏß: 36.4Сʱ
- ³æºÅ: 1169295
- ×¢²á: 2010-12-13
- ÐÔ±ð: GG
- רҵ: »ù´¡ÊÞҽѧ
¡¾´ð°¸¡¿Ó¦Öú»ØÌû
¡ï ¡ï ¡ï ¡ï
¸Ðл²ÎÓ룬ӦÖúÖ¸Êý +1
Î÷ÃÅ´µÑ©170: ½ð±Ò+4, ¹ÄÀø»ØÌû½»Á÷ 2016-08-16 22:04:10
¸Ðл²ÎÓ룬ӦÖúÖ¸Êý +1
Î÷ÃÅ´µÑ©170: ½ð±Ò+4, ¹ÄÀø»ØÌû½»Á÷ 2016-08-16 22:04:10
| ûÓÐ˵Äã¾ßÌåÅàÑøµÄÊÇʲôϸ°û£¬ÓÃÓÚ×öʲôµÄ£¬ÄãµÄÅàÑøÌõ¼þ»·¾³ÔõôÑù¡£Ö»ÄÜ´ÓµÚ¶þÕÅ¿ªÊ¼Ï¸°û¾ÍÂýÂý²»ÐÐÁË£¬µ½×îºó¼¸ÕŶ¼ÊÇËÀµôÁË£¬¶ÔÓÚÕâÖÖÇé¿ö£¬Èç¹ûÄãʱ¼ä³ä×㣬ϸ°û³ä×ã¿ÉÒÔ²ÉÓÃÅųý·¨£¬1¡¢Ê×ÏÈÅųýÎÛȾ£¬¿ÉÒÔ½«ÅàÑø»ùÔÚÅàÑøÏäÖÐÅàÑø¹ýÒ¹£¬¿´ÅàÑø»ùÊÇ·ñ»ë×Ç£¬»ò»®Ò»¸öѪƽ°å¡£ÅųýÎÛȾ֮ºó¡£2¡¢¿´ÅàÑø»ùµØPHÖµ¶Ô²»¶Ô¡£3¡¢ÄãÓõÄÅàÑø»ùÊDz»ÊÇÂòϸ°ûÊ±ÍÆ¼öʹÓõġ£4¡¢Ï¸°ûÌØÐÔÔõôÑù£¬ÐèҪʲôµÄÏû»¯Òº¡£5¡¢ÔÙ¼ì²éÄãµÄÅàÑøÏäÊÇ·ñÕý³£¹¤×÷¡£Ò»²½²½Åųý¡£Èç¹ûûÓÐʱ¼ä£¬ÄǾͰÑËùÓеĶ«Î÷»»³ÉеÄÊÔÊÔ |
9Â¥2016-08-15 10:24:53
shadow_liu
гæ (³õÈëÎÄ̳)
- Ó¦Öú: 8 (Ó×¶ùÔ°)
- ½ð±Ò: 29.3
- Ìû×Ó: 32
- ÔÚÏß: 7.3Сʱ
- ³æºÅ: 4708124
- ×¢²á: 2016-05-20
- רҵ: ÉúÎﻯѧ
¡¾´ð°¸¡¿Ó¦Öú»ØÌû
¡ï
¸Ðл²ÎÓ룬ӦÖúÖ¸Êý +1
Î÷ÃÅ´µÑ©170: ½ð±Ò+1, ¹ÄÀø»ØÌû½»Á÷ 2016-08-16 22:05:23
¸Ðл²ÎÓ룬ӦÖúÖ¸Êý +1
Î÷ÃÅ´µÑ©170: ½ð±Ò+1, ¹ÄÀø»ØÌû½»Á÷ 2016-08-16 22:05:23
| 1£¬ÏñÊÇÏû»¯¹ý¶È£¬ÊDz»ÊǼÓÒÈøʱ¼äÌ«¾ÃÁË£¬,2ÏñÊÇϸ°ûÅàÑø»ùÓÐÎÊÌâ |
8Â¥2016-08-15 08:59:14
¿ÆÑ§ÇòÇò
гæ (ÕýʽдÊÖ)
- Ó¦Öú: 1 (Ó×¶ùÔ°)
- ½ð±Ò: 1352
- Ìû×Ó: 677
- ÔÚÏß: 23Сʱ
- ³æºÅ: 4836386
- ×¢²á: 2016-07-12
- ÐÔ±ð: MM
- רҵ: ½á¹¹¹¤³Ì
2Â¥2016-08-13 09:18:44
ºÌÔó2010
гæ (ÕýʽдÊÖ)
- Ó¦Öú: 5 (Ó×¶ùÔ°)
- ½ð±Ò: 5237.4
- É¢½ð: 666
- ºì»¨: 4
- Ìû×Ó: 320
- ÔÚÏß: 163.5Сʱ
- ³æºÅ: 2108810
- ×¢²á: 2012-11-05
- רҵ: ·ÖÎö»¯Ñ§
¡ï
xn8008: ½ð±Ò+1, »¶Ó·¢Ìû½»Á÷ 2016-08-15 07:20:27
xn8008: ½ð±Ò+1, »¶Ó·¢Ìû½»Á÷ 2016-08-15 07:20:27
|
»¹ÊÇ»»µÄÅàÑø»ù£¿Ã»¼ÓÒ©£¿ ·¢×ÔСľ³æAndroid¿Í»§¶Ë |
3Â¥2016-08-14 13:16:12
ÇúÖ±Ñ×ÉÏ
½ð³æ (³õÈëÎÄ̳)
- Ó¦Öú: 0 (Ó×¶ùÔ°)
- ½ð±Ò: 573.5
- Ìû×Ó: 31
- ÔÚÏß: 89.6Сʱ
- ³æºÅ: 1906349
- ×¢²á: 2012-07-23
- ÐÔ±ð: MM
- רҵ: ÖÐÒ©ÅÚÖÆ
¡ï
xn8008: ½ð±Ò+1, »¶Ó·¢Ìû½»Á÷ 2016-08-15 07:20:34
xn8008: ½ð±Ò+1, »¶Ó·¢Ìû½»Á÷ 2016-08-15 07:20:34
|
¾ÍÊǰÑÈ«Åà»»³ÉÁ˵¥Å࣬û¼ÓÒ© ·¢×ÔСľ³æAndroid¿Í»§¶Ë |
4Â¥2016-08-14 15:50:56
liuyao_jack
гæ (³õÈëÎÄ̳)
- Ó¦Öú: 2 (Ó×¶ùÔ°)
- ½ð±Ò: 71.6
- Ìû×Ó: 5
- ÔÚÏß: 9.3Сʱ
- ³æºÅ: 3646468
- ×¢²á: 2015-01-15
- רҵ: ²¡Ôϸ¾úÓë·ÅÏß¾úÉúÎïѧ
5Â¥2016-08-15 01:37:01
pumble
½ð³æ (СÓÐÃûÆø)
- Ó¦Öú: 2 (Ó×¶ùÔ°)
- ½ð±Ò: 2529.6
- ºì»¨: 1
- Ìû×Ó: 142
- ÔÚÏß: 229.6Сʱ
- ³æºÅ: 1254932
- ×¢²á: 2011-04-04
- ÐÔ±ð: GG
- רҵ: ºôÎüϵͳÖ×Áö
6Â¥2016-08-15 04:16:19
ÔÆ¾íÔÆÊæÁù
Òø³æ (³õÈëÎÄ̳)
- Ó¦Öú: 3 (Ó×¶ùÔ°)
- ½ð±Ò: 326.9
- Ìû×Ó: 13
- ÔÚÏß: 6.5Сʱ
- ³æºÅ: 4898307
- ×¢²á: 2016-08-05
- ÐÔ±ð: GG
- רҵ: ϸ°ûË¥ÀÏ
¡¾´ð°¸¡¿Ó¦Öú»ØÌû
¡ï
¸Ðл²ÎÓ룬ӦÖúÖ¸Êý +1
Î÷ÃÅ´µÑ©170: ½ð±Ò+1, ¹ÄÀø»ØÌû½»Á÷ 2016-08-16 22:04:35
¸Ðл²ÎÓ룬ӦÖúÖ¸Êý +1
Î÷ÃÅ´µÑ©170: ½ð±Ò+1, ¹ÄÀø»ØÌû½»Á÷ 2016-08-16 22:04:35
|
ÓпÉÄÜÊÇϸ°ûÖÖ°åʱ״̬²»ºÃ¡£»¹ÓоÍÊÇÅàÑøÌõ¼þÒ»ÏÂ×Ӹıäϸ°û²»ÊÊÓ¦£¬¿ÉÒÔ»ºÂý¸Ä±äϸ°ûÅàÑø×´Ì¬£¬´ýÆäÊÊÓ¦ºóÔÙÖÖ°å¡£ ·¢×ÔСľ³æAndroid¿Í»§¶Ë |
7Â¥2016-08-15 08:55:16
ÄäÃû
Óû§×¢Ïú (ÖªÃû×÷¼Ò)
- Ó¦Öú: 2 (Ó×¶ùÔ°)
- ½ð±Ò: 13653.1
- É¢½ð: 2916
- ºì»¨: 23
- ɳ·¢: 4
- Ìû×Ó: 8422
- ÔÚÏß: 881.7Сʱ
- ³æºÅ: 0
- ×¢²á: 2014-10-21
- ÐÔ±ð: GG
- רҵ: ÉúÎïÒ½Óø߷Ö×Ó²ÄÁÏ
10Â¥2016-08-15 18:08:19













»Ø¸´´ËÂ¥
