| 查看: 861 | 回复: 1 | ||
[求助]
倍型鉴定,压片技术.有关植物的 已有1人参与
|
|
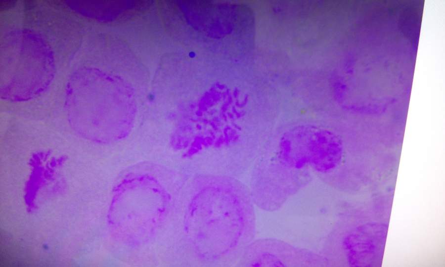
小.弟.正.在.作.满天星.倍型鉴定,压片数植物染色体。 但是找不到染色体在一个平面上分裂像,没有办法清点染色体数目。 ![]() 请教各位有什么经验赐教没有!!!??急 解离用的盐酸。 是不是解离不够?还是需要用水低渗下 P60614-165851.jpg P60614-165935.jpg |
» 猜你喜欢
感觉普通人已经没办法玩了,躺平是唯一的出路。
已经有26人回复
江苏省优青门槛
已经有20人回复
植物学论文润色/翻译怎么收费?
已经有263人回复
心好累。今年我们部门提交了18个项目。中了11了,可惜我的又挂了
已经有10人回复
面上项目计划书
已经有7人回复
面上项目计划书附件
已经有9人回复
面上项目计划书系统状态
已经有18人回复
NSFC-UNEP(与联合国环境规划署)合作项目
已经有33人回复
和伊朗人合作
已经有32人回复
江苏省自然基金
已经有7人回复
生命科学新英文普刊《INVESTIGATION OF LIFE SCIENCE》
已经有2人回复
酸奶爱牛奶
新虫 (小有名气)
- 应助: 0 (幼儿园)
- 金币: 513.3
- 散金: 30
- 帖子: 179
- 在线: 6.9小时
- 虫号: 6662658
- 注册: 2017-06-01
- 性别: MM
- 专业: 中药鉴定
2楼2020-03-27 18:48:11














回复此楼