| 查看: 791 | 回复: 2 | |
[求助]
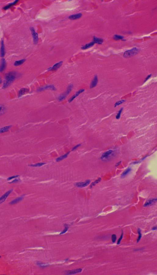
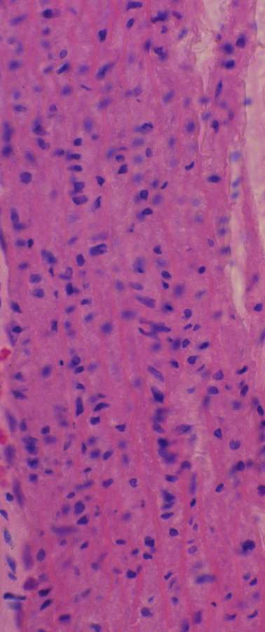
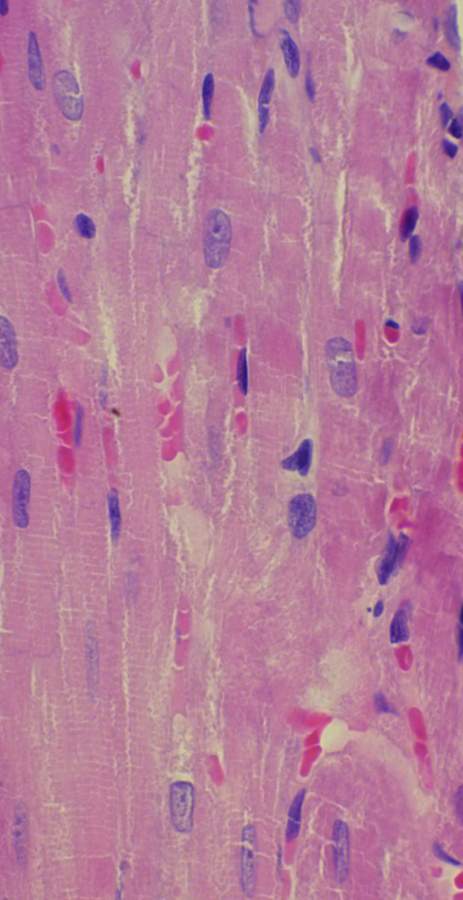
SD大鼠-心-HE染色,求高手帮我分析一下 已有1人参与
|
|
|
|
|
q317476148铁杆木虫 (著名写手)
喵星人
|
|
|
2楼2016-05-18 18:05:42
|
|
|
3楼2016-05-19 21:21:55
|
|













回复此楼
ZF小凡