| 查看: 2102 | 回复: 21 | ||
[求助]
药材石蜡切片 已有3人参与
|
||
|
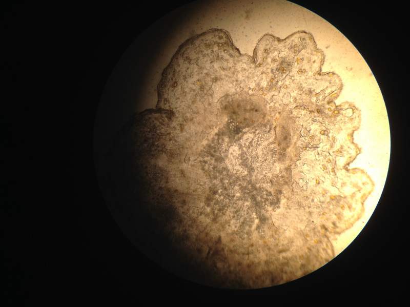
去年11-12月份做的某药材根石蜡切片,实验步骤细节也调整过数次,但结果各种惨不忍睹,以前也没做过,想请论坛里各位做过此类实验的专家们多多指点(是哪些环节出了问题?该如何解决?)不胜感激!!! 第一次切的.JPG 第二次切的.JPG 第二次切的未染色.JPG 第二次切的未染色(多黑坨).JPG 第二次切的未染色(全黑).JPG |
» 猜你喜欢
感觉普通人已经没办法玩了,躺平是唯一的出路。
已经有26人回复
江苏省优青门槛
已经有20人回复
植物学论文润色/翻译怎么收费?
已经有158人回复
心好累。今年我们部门提交了18个项目。中了11了,可惜我的又挂了
已经有10人回复
面上项目计划书
已经有7人回复
面上项目计划书附件
已经有9人回复
面上项目计划书系统状态
已经有18人回复
NSFC-UNEP(与联合国环境规划署)合作项目
已经有33人回复
和伊朗人合作
已经有32人回复
江苏省自然基金
已经有7人回复
生命科学新英文普刊《INVESTIGATION OF LIFE SCIENCE》
已经有3人回复
jwr
木虫 (著名写手)
- 应助: 230 (大学生)
- 金币: 4462.8
- 红花: 16
- 帖子: 1336
- 在线: 200.9小时
- 虫号: 483458
- 注册: 2007-12-26
- 性别: GG
- 专业: 中药质量评价
12楼2016-03-11 10:10:36
银绳
木虫 (著名写手)
植物菜鸟
- APEPI: 1
- 应助: 144 (高中生)
- 贵宾: 0.004
- 金币: 2422.6
- 散金: 961
- 红花: 50
- 帖子: 1171
- 在线: 266.2小时
- 虫号: 2681596
- 注册: 2013-09-26
- 性别: GG
- 专业: 中药资源

2楼2016-03-09 11:10:22
还是植物好
版主 (著名写手)
- 应助: 13 (小学生)
- 贵宾: 3.021
- 金币: 17538.4
- 散金: 1356
- 红花: 8
- 沙发: 1
- 帖子: 2243
- 在线: 139.8小时
- 虫号: 2092438
- 注册: 2012-10-28
- 性别: GG
- 专业: 植物结构学
- 管辖: 动植物
|
首先根的木质化程度太高了,梯度应该多一些时间,特别是浸蜡更应该长一些,就不容易分离了。为防止材料分离切片加厚了吗?这样首先会打卷,而且细胞层太多效果不好。你后面几张图明显脱蜡不干净。 发自小木虫Android客户端 |

15楼2016-03-15 15:20:34
3楼2016-03-09 14:43:07
4楼2016-03-09 16:39:01
5楼2016-03-09 16:40:22
star013
新虫 (知名作家)
- 应助: 4 (幼儿园)
- 金币: 1488.5
- 散金: 831
- 红花: 33
- 帖子: 5395
- 在线: 493.3小时
- 虫号: 1401381
- 注册: 2011-09-14
- 专业: 法学
6楼2016-03-10 07:31:40
7楼2016-03-10 09:51:44
8楼2016-03-10 09:53:12
q317476148
铁杆木虫 (著名写手)
喵星人
- APEPI: 5
- 应助: 157 (高中生)
- 贵宾: 0.011
- 金币: 6055.6
- 散金: 1865
- 红花: 46
- 沙发: 3
- 帖子: 1967
- 在线: 2525.6小时
- 虫号: 1559925
- 注册: 2012-01-02
- 性别: MM
- 专业: 药物化学
9楼2016-03-10 11:42:38
10楼2016-03-10 15:44:26













回复此楼