| 查看: 712 | 回复: 1 | |||
[交流]
污泥镜检图片,求大神看看拍的是什么!!! 已有1人参与
|
|
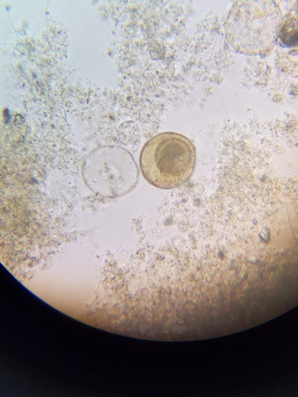
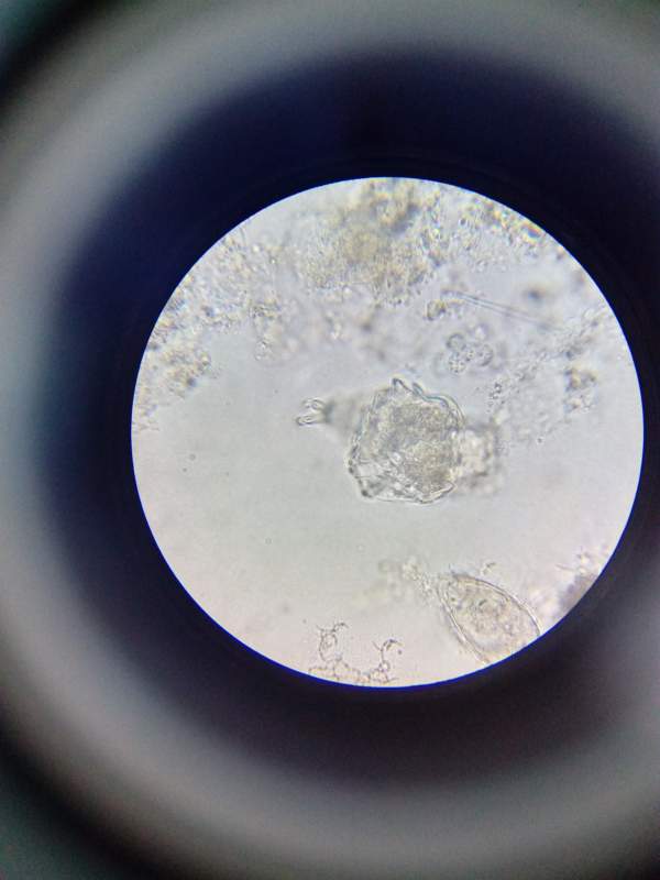
今天刚买了台显微镜,观察的是好氧池污泥,求大神看看拍的是什么? IMG_20160203_151512.jpg IMG_20160203_152514.jpg IMG_20160203_154810.jpg IMG_20160203_155019.jpg IMG_20160203_155328.jpg IMG_20160203_161858.jpg IMG_20160203_161906.jpg |
» 猜你喜欢
杭州师范大学-浙江省湿地智慧监测与生态修复重点实验室团队硕士调剂公告
已经有0人回复
考研调剂
已经有0人回复
环境化学论文润色/翻译怎么收费?
已经有87人回复
杭州师范大学-浙江省湿地智慧监测与生态修复重点实验室团队硕士调剂公告
已经有0人回复
研究生招生
已经有0人回复
广东工业大学环境科学与工程学院招收硕士调剂
已经有0人回复
348分环境工程调剂
已经有2人回复
26考研调剂
已经有0人回复
北京石油化工学院接收调剂
已经有0人回复
2026年长春理工大学化学与环境工程学院环境科学与工程专业接收考研调研究生
已经有0人回复
348分环境工程·调剂
已经有1人回复

2楼2016-02-04 09:26:21














回复此楼