| 查看: 760 | 回复: 4 | |
甘莫愁木虫 (初入文坛)
|
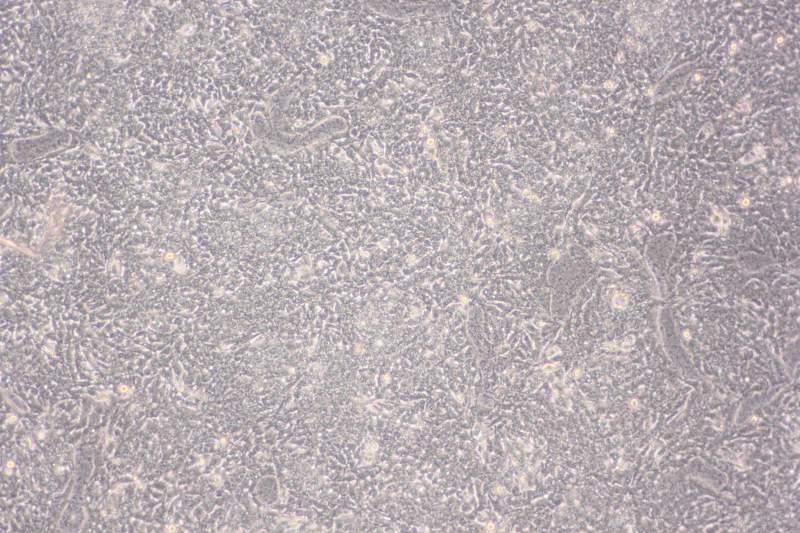
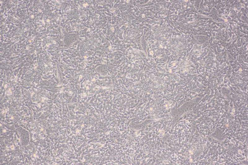
[求助]
细胞污染 已有2人参与
|
|
|
|
resurgam木虫 (著名写手)
|
|
|
2楼2015-05-08 13:28:34
|
|
甘莫愁木虫 (初入文坛)
|
|
|
3楼2015-05-08 20:29:34
|
|
|
4楼2015-05-08 20:55:55
|
|
resurgam木虫 (著名写手)
|
|
|
5楼2015-05-09 15:58:45
|
|














回复此楼