| ²é¿´: 3064 | »Ø¸´: 14 | |||
mricenter002гæ (³õÈëÎÄ̳)
|
[½»Á÷]
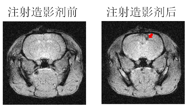
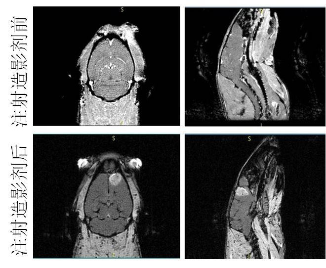
´ÅÐÔÄÉÃײÄÁÏ×÷Ϊ´Å¹²Õñ£¨MRI£©ÔìÓ°¼ÁµÄÓ¦ÓÃ
|
||
°Ù±¦Ïä |
» ²ÂÄãϲ»¶
ÉúÎïѧ308·ÖÇóµ÷¼Á£¨Ò»Ö¾Ô¸»ª¶«Ê¦´ó£©
ÒѾÓÐ10È˻ظ´
ÉúÎïѧ308·ÖÇóµ÷¼Á£¨Ò»Ö¾Ô¸»ª¶«Ê¦´ó£©
ÒѾÓÐ3È˻ظ´
ÉúÎïÁ¦Ñ§Óë×éÖ¯¹¤³ÌѧÂÛÎÄÈóÉ«/·ÒëÔõôÊÕ·Ñ?
ÒѾÓÐ186È˻ظ´
ÇóÖúGB7489
ÒѾÓÐ2È˻ظ´
´óÁ¬¹¤Òµ´óѧ ÉúÎïÖÊÄÜÔ´Óë²ÄÁÏרҵÕÐÊÕµ÷¼ÁÉú£¬ÓÐÐËȤ¼Ó15732893021
ÒѾÓÐ0È˻ظ´
082200£¬085606£¬085606
ÒѾÓÐ3È˻ظ´
ÉúÎïѧ308·ÖÇóµ÷¼Á£¨Ò»Ö¾Ô¸»ª¶«Ê¦´ó£©×ö¹ý·Ö×ÓʵÑé
ÒѾÓÐ7È˻ظ´
08¿ªÍ·
ÒѾÓÐ0È˻ظ´
´óÁ¬¹¤Òµ´óѧ ÉúÎïÖÊÄÜÔ´Óë²ÄÁÏרҵÕÐÊÕµ÷¼ÁÉú£¬ÓÐÐËȤ¼Ó15732893021
ÒѾÓÐ0È˻ظ´
´óÁ¬¹¤Òµ´óѧ ÉúÎïÖÊÄÜÔ´Óë²ÄÁÏרҵÕÐÊÕµ÷¼ÁÉú£¬ÓÐÐËȤ¼Ó15732893021
ÒѾÓÐ0È˻ظ´
ÖпÆÖÐɽҩÎï´´ÐÂÑо¿Ôº£¨Ò©´´Ôº£©ÔõôÑù£¿
ÒѾÓÐ0È˻ظ´
» ±¾Ö÷ÌâÏà¹ØÉ̼ÒÍÆ¼ö: (ÎÒÒ²ÒªÔÚÕâÀïÍÆ¹ã)
» ±¾Ö÷ÌâÏà¹Ø¼ÛÖµÌùÍÆ¼ö£¬¶ÔÄúͬÑùÓаïÖú:
ÇëÎÊÒ»ÏÂMRIÖ÷°ìµÄ»áÒ飬»òÓëMRIÏà¹ØµÄ»áÒéÓÐÄÄЩ*
ÒѾÓÐ4È˻ظ´
Çë½Ìһϣ¬´ÅÐÔÄÉÃ×Á£×ÓÔõô×öSEM»òÕßTEM?
ÒѾÓÐ11È˻ظ´
´ÅÐÔÄÉÃײÄÁÏÔÚÔìÓ°³ÉÏñÖеÄÓ¦ÓÃ
ÒѾÓÐ10È˻ظ´
´ÅÐÔÄÉÃײÄÁϵÄMRI±íÕ÷~
ÒѾÓÐ23È˻ظ´
13-Adv Mater×îÐÂ×ÛÊö-´ÅÐÔ½ºÌ峬²ÄÁϵÄÉè¼Æ£¬¹¹½¨ÓëÉúÎïÒ½Ò©Ó¦ÓÃ
ÒѾÓÐ10È˻ظ´
Ò»ÖÖÉúÎïÀ´Ô´µÄÐÂÐÍ´ÅÐÔÄÉÃײÄÁÏ
ÒѾÓÐ24È˻ظ´
´ÅÐÔÄÉÃײÄÁÏÔÚ¹¤ÒµÉϵÄÔËÓã¬Ì«¹ý·ÖÉ¢Ôì³É´ó¹æÄ£Éú²ú¡¢Ê¹Óò»±ã£¿
ÒѾÓÐ12È˻ظ´
´ÅÐÔÄÉÃײÄÁÏ×÷Ϊ´Å¹²Õñ£¨MRI£©ÔìÓ°¼ÁµÄÓ¦ÓÃ
ÒѾÓÐ14È˻ظ´
´ÅÐÔÄÉÃ×Á£×ÓÔÚÉúÎïºÍÉúÎïÒ½Ò©ÖеÄÓ¦Óøߵµ×ÛÊöÎåÆª
ÒѾÓÐ293È˻ظ´
Chem Soc Rev 2012×îйØÓÚÄÉÃ׽𣬴ÅÐÔÄÉÃ×ÒÔ¼°¸´ºÏÄÉÃ×Á£×ÓµÄÉúÎïÓ¦ÓÃ×ÛÊö
ÒѾÓÐ260È˻ظ´
ÇëÎÊÓÃÈÈÃôÐÔpolymer½áºÏ´ÅÐÔÄÉÃ×ÇòÓ¦ÓÃÓÚhypertermia treatmentµÄ¿ÉÄÜÐÔ
ÒѾÓÐ12È˻ظ´
·ÖÏí¼¸Æª´ÅÐÔÄÉÃ׿ÅÁ£ÖƱ¸¼°ÉúÎïҽѧӦÓ÷½ÃæµÄÎÄÕÂ
ÒѾÓÐ194È˻ظ´
20½ð±ÒÇ󻨏´Éó¸åÒâ¼û´ÅÐÔÄÉÃײÄÁϵÄÎü¸½·½ÃæµÄ
ÒѾÓÐ10È˻ظ´
´ÅÐÔÄÉÃײÄÁÏ¿ÉÒÔÓôÅÁ¦½Á°èÆ÷½Á°èô£¿
ÒѾÓÐ8È˻ظ´
¡¾ÌÖÂÛ¡¿´ÅÐÔÄÉÃײÄÁϵķ¢Õ¹Ç°¾°ºÍÓ¦ÓÃÓÐÄÄЩ£¿
ÒѾÓÐ27È˻ظ´
¡¾Çë½Ì¡¿´ÅÐÔÄÉÃ×CoFe2O4²»¿ÉÒÔ×öSEM»òTEMô£¿
ÒѾÓÐ12È˻ظ´
¡¾Çë½Ì¡¿´ÅÐÔÄÉÃ×½ðÊô×öɨÃèµç¾µÇ°ÐèÒªÏû´ÅÂð£¿
ÒѾÓÐ25È˻ظ´
¡¾Çë½Ì¡¿´ÅÐÔÄÉÃײÄÁÏÔõôϴµÓµÄÎÊÌâ
ÒѾÓÐ31È˻ظ´
¡¾Çë½Ì¡¿´ÅÐÔÄÉÃײÄÁÏFe3O4/Al2O3µÄºÏ³ÉÖеÄÎÊÌâ
ÒѾÓÐ24È˻ظ´
zhanghuannwu
ľ³æ (ÕýʽдÊÖ)
- Ó¦Öú: 0 (Ó×¶ùÔ°)
- ½ð±Ò: 2879.8
- É¢½ð: 96
- ºì»¨: 1
- Ìû×Ó: 354
- ÔÚÏß: 107.1Сʱ
- ³æºÅ: 2147527
- ×¢²á: 2012-11-25
- ÐÔ±ð: GG
- רҵ: ÄÉÃ×ҽѧ
5Â¥2015-04-22 14:56:35
yzdsurprise
½ûÑÔ (ÕýʽдÊÖ)
|
±¾ÌûÄÚÈݱ»ÆÁ±Î |
2Â¥2015-03-28 13:22:41
mricenter002
гæ (³õÈëÎÄ̳)
|
3Â¥2015-03-28 21:48:36
wallflowere
гæ (ÕýʽдÊÖ)
- Ó¦Öú: 0 (Ó×¶ùÔ°)
- ½ð±Ò: 2011.6
- É¢½ð: 10
- ºì»¨: 3
- Ìû×Ó: 453
- ÔÚÏß: 522.5Сʱ
- ³æºÅ: 1774084
- ×¢²á: 2012-04-23
- רҵ: ÒßÃçѧ
4Â¥2015-03-28 22:33:15
mricenter002
гæ (³õÈëÎÄ̳)
|
6Â¥2015-05-07 21:09:35
mricenter002
гæ (³õÈëÎÄ̳)
- Ó¦Öú: 0 (Ó×¶ùÔ°)
- ½ð±Ò: 29.5
- Ìû×Ó: 8
- ÔÚÏß: 1.6Сʱ
- ³æºÅ: 3753779
- ×¢²á: 2015-03-20
- רҵ: ÉúÎï´ó·Ö×ӽṹÓ빦ÄÜ
7Â¥2015-05-07 21:12:35
mricenter002
гæ (³õÈëÎÄ̳)
|
8Â¥2015-05-07 21:14:26
mricenter002
гæ (³õÈëÎÄ̳)
- Ó¦Öú: 0 (Ó×¶ùÔ°)
- ½ð±Ò: 29.5
- Ìû×Ó: 8
- ÔÚÏß: 1.6Сʱ
- ³æºÅ: 3753779
- ×¢²á: 2015-03-20
- רҵ: ÉúÎï´ó·Ö×ӽṹÓ빦ÄÜ
9Â¥2015-05-15 21:52:27
ËÕóãÑÔ00
гæ (³õÈëÎÄ̳)
- Ó¦Öú: 0 (Ó×¶ùÔ°)
- ½ð±Ò: 36
- Ìû×Ó: 39
- ÔÚÏß: 12.5Сʱ
- ³æºÅ: 3784739
- ×¢²á: 2015-04-03
- רҵ: ½ðÊô²ÄÁϵÄÖÆ±¸¿ÆÑ§Óë¿çѧ
10Â¥2015-05-16 22:41:59













»Ø¸´´ËÂ¥

