²é¿´: 1145  |  »Ø¸´: 4

´óÁ¦2010

½ð³æ (ÖøÃûдÊÖ)

[ÇóÖú] ɨÃèµç¾µ×öµÄ±ê³ß£¬ºìÉ«µÄ£¬Ôõô×ö³öºÚÉ«µÄÄØ £¬Çë¸ßÊÖÖ¸µã ÒÑÓÐ3È˲ÎÓë

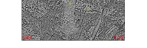
ɨÃèµç¾µ×öµÄ±ê³ß£¬ºìÉ«µÄ(¸½Í¼71Ëùʾ)£¬Ôõô×ö³öºÚÉ«µÄ(¸£ÌØÈñ70Ëùʾ)ÄØ  £¬Çë¸ßÊÖÖ¸µã

ɨÃèµç¾µ×öµÄ±ê³ß£¬ºìÉ«µÄ£¬Ôõô×ö³öºÚÉ«µÄÄØ  £¬Çë¸ßÊÖÖ¸µã
70.jpg


ɨÃèµç¾µ×öµÄ±ê³ß£¬ºìÉ«µÄ£¬Ôõô×ö³öºÚÉ«µÄÄØ  £¬Çë¸ßÊÖÖ¸µã-1
71.jpg
»Ø¸´´ËÂ¥

» ²ÂÄãϲ»¶

» ±¾Ö÷ÌâÏà¹Ø¼ÛÖµÌùÍÆ¼ö£¬¶ÔÄúͬÑùÓаïÖú:

ÒÑÔÄ   »Ø¸´´ËÂ¥   ¹Ø×¢TA ¸øTA·¢ÏûÏ¢ ËÍTAºì»¨ TAµÄ»ØÌû

llm3136

ľ³æ (СÓÐÃûÆø)

Photoshop

[ ·¢×ÔСľ³æ¿Í»§¶Ë ]
2Â¥2015-01-20 19:49:04
ÒÑÔÄ   »Ø¸´´ËÂ¥   ¹Ø×¢TA ¸øTA·¢ÏûÏ¢ ËÍTAºì»¨ TAµÄ»ØÌû

LL0608

½ð³æ (ÕýʽдÊÖ)

¡¾´ð°¸¡¿Ó¦Öú»ØÌû

¸Ðл²ÎÓ룬ӦÖúÖ¸Êý +1
ÔÚphotoshopÀïÃæ£¬´ò¿ªÕÕÆ¬ºó·Å´ó£¬ÓÃħ°ô¹¤¾ßÑ¡Öбê³ßÏߺÍÊý×Ö£¬È»ºóÔÚ ±à¼­-Ìî³ä ÀïÃæ¸ÄÑÕÉ«¾ÍÐС£
3Â¥2015-01-21 10:09:45
ÒÑÔÄ   »Ø¸´´ËÂ¥   ¹Ø×¢TA ¸øTA·¢ÏûÏ¢ ËÍTAºì»¨ TAµÄ»ØÌû

vancyamy

Òø³æ (СÓÐÃûÆø)

¡¾´ð°¸¡¿Ó¦Öú»ØÌû

¸Ðл²ÎÓ룬ӦÖúÖ¸Êý +1
ÔÚ»­Í¼°åÀï°Ñͼ71ϱ߼ôµô£¬ ÍêÊÂ×Ô¼ºÖØ×öÒ»¸ö±ê³ßÌùÉÏÈ¥ ¾ÍokÁË
4Â¥2015-01-22 03:35:50
ÒÑÔÄ   »Ø¸´´ËÂ¥   ¹Ø×¢TA ¸øTA·¢ÏûÏ¢ ËÍTAºì»¨ TAµÄ»ØÌû

³þÄ«2014

½û³æ (СÓÐÃûÆø)

¸Ðл²ÎÓ룬ӦÖúÖ¸Êý +1
±¾ÌûÄÚÈݱ»ÆÁ±Î

5Â¥2015-01-22 11:53:56
ÒÑÔÄ   »Ø¸´´ËÂ¥   ¹Ø×¢TA ¸øTA·¢ÏûÏ¢ ËÍTAºì»¨ TAµÄ»ØÌû
Ïà¹Ø°æ¿éÌø×ª ÎÒÒª¶©ÔÄÂ¥Ö÷ ´óÁ¦2010 µÄÖ÷Ìâ¸üÐÂ
×î¾ßÈËÆøÈÈÌûÍÆ¼ö [²é¿´È«²¿] ×÷Õß »Ø/¿´ ×îºó·¢±í
[¿¼ÑÐ] 347Çóµ÷¼Á +3 L when 2026-03-25 3/150 2026-03-25 13:01 by cmz0325
[¿¼ÑÐ] 292Çóµ÷¼Á +4 ¶ì¶ì¶ì¶î¶î¶î¶î¶ 2026-03-25 4/200 2026-03-25 10:37 by barlinike
[¿¼ÑÐ] 085601Çóµ÷¼Á×Ü·Ö293Ó¢Ò»Êý¶þ +3 ¸ÖÌú´óÅÚ 2026-03-24 3/150 2026-03-24 22:03 by bingxueer79
[¿¼ÑÐ] ²ÄÁÏѧ˶333Çóµ÷¼Á +3 ±±µÀÏï 2026-03-24 3/150 2026-03-24 19:17 by pswait
[¿¼ÑÐ] »¯¹¤×¨Ë¶Çóµ÷¼Á +3 questionÍì·ç 2026-03-24 3/150 2026-03-24 18:48 by jhhcooi
[¿¼ÑÐ] 276Çóµ÷¼Á¡£ÓаëÄêµç³ØºÍ°ëÄê¸ß·Ö×Óʵϰ¾­Àú +9 ²ÄÁÏѧ257Çóµ÷¼Á 2026-03-23 10/500 2026-03-24 07:36 by wangy0907
[¿¼ÑÐ] 269Çóµ÷¼Á +4 ÎÒÏë¶ÁÑÐ11 2026-03-23 4/200 2026-03-23 21:25 by pswait
[¿¼ÑÐ] 352Çóµ÷¼Á +3 ´óÃ×·¹£¡ 2026-03-22 3/150 2026-03-22 23:28 by king123£¡
[¿¼ÑÐ] Çóµ÷¼Á +5 Zhangbod 2026-03-21 7/350 2026-03-22 13:13 by Zhangbod
[¿¼ÑÐ] Çóµ÷¼Á +7 Auroracx 2026-03-22 7/350 2026-03-22 12:38 by ËØÑÕÇã³Ç1988
[¿¼ÑÐ] ²ÄÁÏѧ˶301·ÖÇóµ÷¼Á +7 Liyouyumairs 2026-03-21 7/350 2026-03-21 22:31 by peike
[¿¼ÑÐ] 313Çóµ÷¼Á +4 ËÁÈþ·¡Ò¼22 2026-03-19 4/200 2026-03-21 17:33 by ColorlessPI
[¿¼ÑÐ] 0805²ÄÁÏ320Çóµ÷¼Á +3 ÉÎïÓï 2026-03-20 3/150 2026-03-21 15:46 by Î޼ʵIJÝÔ­
[¿¼ÑÐ] ²ÄÁÏÓ뻯¹¤£¨0856£©304Çó BÇø µ÷¼Á +3 Çñgl 2026-03-21 3/150 2026-03-21 13:47 by lature00
[¿¼ÑÐ] 265Çóµ÷¼Á +12 ÁºÁºÐ£Ð£ 2026-03-19 14/700 2026-03-21 13:38 by lature00
[¿¼ÑÐ] Ò»Ö¾Ô¸Äϲý´óѧ£¬327·Ö£¬²ÄÁÏÓ뻯¹¤085600 +9 Ncdx123456 2026-03-19 9/450 2026-03-20 23:41 by lovewei0727
[¿¼ÑÐ] Ò»Ö¾Ô¸Öк£Ñó²ÄÁϹ¤³Ìר˶330·ÖÇóµ÷¼Á +8 С²Ä»¯±¾¿Æ 2026-03-18 8/400 2026-03-20 23:16 by JourneyLucky
[¿¼ÑÐ] 290Çóµ÷¼Á +7 ^O^Ø¿ 2026-03-19 7/350 2026-03-20 21:43 by JourneyLucky
[¿¼ÑÐ] Ò»Ö¾Ô¸Î÷ÄϽ»Í¨ ר˶ ²ÄÁÏ355 ±¾¿ÆË«·Ç Çóµ÷¼Á +5 Î÷ÄϽ»Í¨×¨²Ä355 2026-03-19 5/250 2026-03-20 21:10 by JourneyLucky
[¿¼ÑÐ] 0856µ÷¼Á£¬ÊÇѧУ¾ÍÈ¥ +8 sllhht 2026-03-19 9/450 2026-03-20 14:25 by ÎÞи¿É»÷111
ÐÅÏ¢Ìáʾ
ÇëÌî´¦ÀíÒâ¼û