| 查看: 367 | 回复: 0 | |
lifuyuan至尊木虫 (职业作家)
|
[求助]
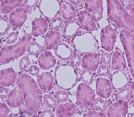
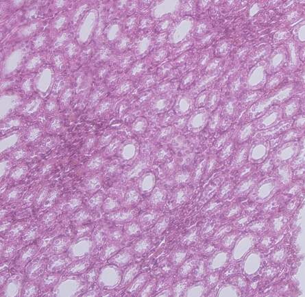
大鼠庆大霉素中毒的图片,求大神指导!
|
|
|
|
|
找到一些相关的精华帖子,希望有用哦~
科研从小木虫开始,人人为我,我为人人
|













回复此楼
点击这里搜索更多相关资源