| 查看: 2150 | 回复: 0 | ||
09四叶草铜虫 (正式写手)
|
[求助]
免疫组化光密度值测量时候总面积怎么求?
|
|
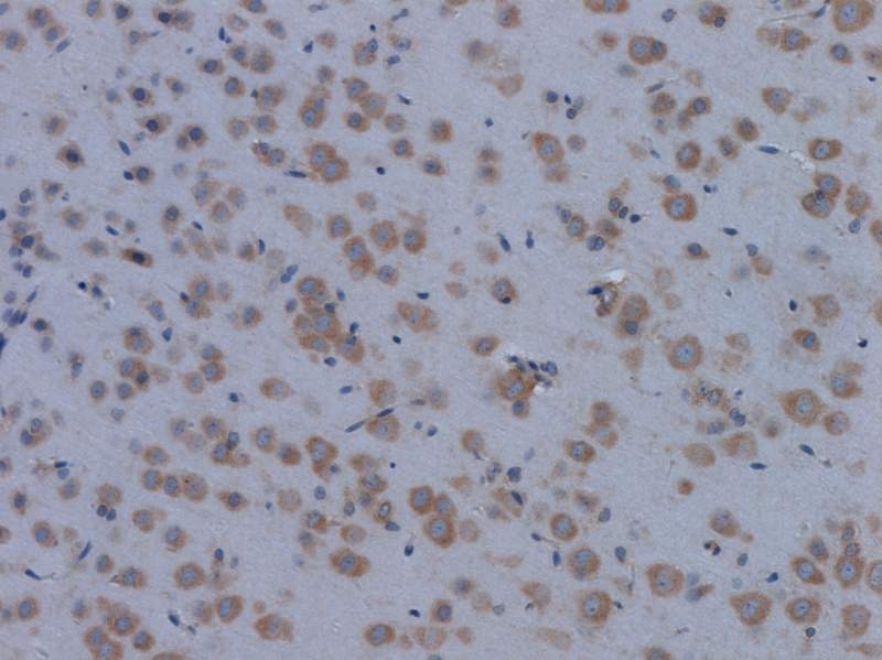
各位亲,我最近做免疫组化,我想知道累计光密度值怎么求,我的是整张图片的面积,给大家看下,,这是我的结果。还要除以面积,IPP在哪里 看面积呀,求各位指导! BDNF0.20,1.jpg 4VDQ3)IJ8QI74)TTRA7$6OW.png |
» 猜你喜欢
有查到了的吗?是什么样
已经有16人回复
301分临床医学求调剂
已经有0人回复
检验医学论文润色/翻译怎么收费?
已经有189人回复
是否有人申请过加拿大医院的research fellow,以及关于LMIA码
已经有0人回复
咨询关于北京市自然科学基金青年项目是否需要填写合作单位
已经有3人回复
北自然青年基金申报 项目成员问题
已经有1人回复
郑州大学招收2026年外科学博士研究生
已经有0人回复














回复此楼