| ²é¿´: 649 | »Ø¸´: 4 | |||
| µ±Ç°Ö»ÏÔʾÂú×ãÖ¸¶¨Ìõ¼þµÄ»ØÌû£¬µã»÷ÕâÀï²é¿´±¾»°ÌâµÄËùÓлØÌû | |||
1024285031ľ³æ (ÖøÃûдÊÖ)
|
[ÇóÖú]
Ë®ÈÈ·¨ºÏ³É²ÄÁϵÄÐֵܽãÃÿ´¹ýÀ´£¬¿ª¿Ú΢ÇòÔõô°ì°¡ ÒÑÓÐ1È˲ÎÓë
|
||
|
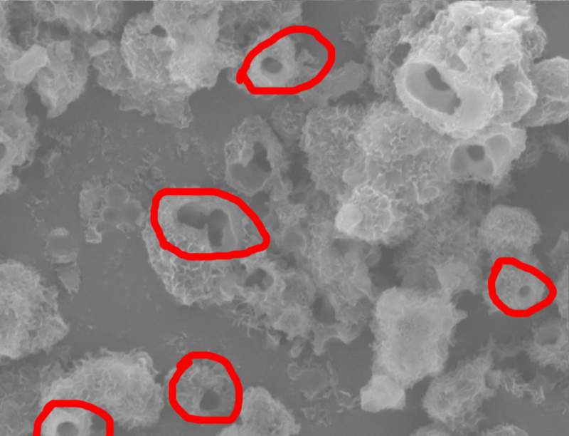
СµÜ×î½üÓÃË®ÈÈ·¨ºÏ³ÉÁËë´Ì΢Çòµ«ÊÇÇò¶¼ÊÇ¿ª¿ÚµÄ£¬ÎÒÏëµÃµ½±ÕºÏµÄÇòÐÎÇëÎʸ÷λ´óÉñÓÐʲô½¨ÒéÄØ£¿ÓÐÓöµ½¹ýÀàËÆÇé¿öµÄ´óÉñû£¿ 1-1_003.jpg 1_004.jpg 1_0012.jpg |
» ²ÂÄãϲ»¶
¼ÃÄÏ´óѧ¹ú¼ÒÓÅÇà¿ÎÌâ×é 2026 µ÷¼ÁÕÐÉúÀ´À²
ÒѾÓÐ0È˻ظ´
Î人·ÄÖ¯´óѧ_»¯Ñ§Ôº¹Ù·½µ÷¼ÁȺ-ԺʿÍŶÓÕÐÉú-ѧÉú×ÔÓɶȸ߷¢Õ¹ºÃ-»¶Ó¸÷λͬѧ
ÒѾÓÐ0È˻ظ´
ÎÞ»ú»¯Ñ§ÂÛÎÄÈóÉ«/·ÒëÔõôÊÕ·Ñ?
ÒѾÓÐ157È˻ظ´
Î÷»ª´óѧ »¯Ñ§ µ÷¼ÁÓÐÃû¶î
ÒѾÓÐ0È˻ظ´
ÉϺ£Ó¦Óü¼Êõ´óѧÕÐÉúµ÷¼ÁÑо¿Éú
ÒѾÓÐ8È˻ظ´
ÄϾ©ÏþׯѧԺÂÌÉ«ÄÜÔ´²ÄÁÏÍŶÓÕÐÉú
ÒѾÓÐ0È˻ظ´
ÄϾ©ÏþׯѧԺÂÌÉ«ÄÜÔ´²ÄÁÏÍŶÓÕÐÉú
ÒѾÓÐ0È˻ظ´
±±·½¹¤Òµ´óѧ´¢Äܼ¼Êõ-02µç»¯Ñ§´¢ÄÜÓëÇâÄÜ·½ÏòÕÐÊÕ2026¼¶¶þ´Îµ÷¼ÁѧÉú
ÒѾÓÐ0È˻ظ´
ÇóÖúWO3.cifÎļþ ¶ÔÓ¦PDF¿¨Æ¬ 43-1035£¬µ¥Ð±¾§Ïµ , P21/n ¡£
ÒѾÓÐ1È˻ظ´
» ±¾Ö÷ÌâÏà¹ØÉ̼ÒÍÆ¼ö: (ÎÒÒ²ÒªÔÚÕâÀïÍÆ¹ã)
» ±¾Ö÷ÌâÏà¹Ø¼ÛÖµÌùÍÆ¼ö£¬¶ÔÄúͬÑùÓаïÖú:
ÆÏÌÑÌÇË®ÈÈ·¨Ì¼°ü¸²ÖƱ¸µÄ̼΢ÇòÓë°ü¸²µÄ²ÄÁÏÈçºÎ·ÖÀ룿
ÒѾÓÐ16È˻ظ´
Ë®ÈÈ·¨ÖƱ¸Ì¼Î¢ÇòÄ£°å
ÒѾÓÐ55È˻ظ´
elf2011
½ð³æ (СÓÐÃûÆø)
- Ó¦Öú: 65 (³õÖÐÉú)
- ½ð±Ò: 1266.7
- ºì»¨: 3
- Ìû×Ó: 128
- ÔÚÏß: 39.3Сʱ
- ³æºÅ: 1184617
- ×¢²á: 2011-01-06
- ÐÔ±ð: GG
- רҵ: °ëµ¼Ìåµç×ÓÆ÷¼þ
| Äã˵µÄ²»ÊǺÜÏêϸ£¬×öÖпսṹ£¬¿ÉÒÔÓÃÄ£°å»òÕß±íÃæ»îÐÔ¼Á×Ô×é×°¡£Èç¹ûÄãÕâ¸ö²ÄÁÏûÓо¹ýÍË»ð»òÕßËáÏ´ÒÆ³ýÄ£°å£¬´¿´â×ÔÖ÷×°¡£Äã¿ÉÒÔ¿¼ÂÇÌá¸ßÄ£°å¼Áº¬Á¿£¬Ôö¼Ó×é×°³Ì¶È»òÕßÑÓ³¤·´Ó¦Ê±¼ä¡£µ«ÊÇʱ¼äÑÓ³¤Ð§¹û¿ÉÄܲ»»áºÜÃ÷ÏÔ |
3Â¥2014-12-15 14:20:12
hwf0635
Ìú¸Ëľ³æ (ÖøÃûдÊÖ)
NCS
- Ó¦Öú: 62 (³õÖÐÉú)
- ½ð±Ò: 11497.2
- É¢½ð: 10
- ºì»¨: 45
- Ìû×Ó: 2538
- ÔÚÏß: 176.7Сʱ
- ³æºÅ: 2138556
- ×¢²á: 2012-11-20
- רҵ: ¹¦ÄÜÌÕ´É

2Â¥2014-12-15 14:02:15
1024285031
ľ³æ (ÖøÃûдÊÖ)
- Ó¦Öú: 29 (СѧÉú)
- ½ð±Ò: 4795.2
- É¢½ð: 133
- ºì»¨: 10
- Ìû×Ó: 1091
- ÔÚÏß: 214.9Сʱ
- ³æºÅ: 1205654
- ×¢²á: 2011-02-18
- ÐÔ±ð: GG
- רҵ: ÎÞ»ú²ÄÁÏ»¯Ñ§
4Â¥2014-12-15 14:46:32
ÓêÃÎÎÞÉù
½ð³æ (ÖøÃûдÊÖ)
- Ó¦Öú: 451 (˶ʿ)
- ½ð±Ò: 1686.1
- É¢½ð: 8792
- ºì»¨: 41
- Ìû×Ó: 1728
- ÔÚÏß: 744.5Сʱ
- ³æºÅ: 1830549
- ×¢²á: 2012-05-23
- ÐÔ±ð: GG
- רҵ: ·ÖÎö»¯Ñ§
5Â¥2014-12-18 12:57:55














»Ø¸´´ËÂ¥