版块导航
正在加载中...
客户端APP下载
论文辅导
申博辅导
登录
注册
帖子
帖子
用户
本版
应《网络安全法》要求,自2017年10月1日起,未进行实名认证将不得使用互联网跟帖服务。为保障您的帐号能够正常使用,请尽快对帐号进行手机号验证,感谢您的理解与支持!
24小时热门版块排行榜
>
论坛更新日志
(3761)
>
文献求助
(413)
>
虫友互识
(397)
>
休闲灌水
(340)
>
导师招生
(254)
>
考博
(104)
>
博后之家
(102)
>
招聘信息布告栏
(100)
>
硕博家园
(75)
>
论文投稿
(65)
>
基金申请
(60)
>
教师之家
(59)
>
考研
(42)
>
绿色求助(高悬赏)
(32)
>
外文书籍求助
(31)
>
公派出国
(31)
小木虫论坛-学术科研互动平台
»
材料区
»
微米和纳米
»
合成表征
»
HE染色怎么判断细胞好坏死活
13
1/2
返回列表
1
2
下一页
查看: 4621 | 回复: 12
只看楼主
@他人
存档
新回复提醒
(忽略)
收藏
在APP中查看
午夜魔兰
银虫
(正式写手)
应助: 0
(幼儿园)
金币: 416.8
散金: 258
红花: 1
帖子: 403
在线: 243.7小时
虫号: 1068513
注册: 2010-08-03
性别: GG
专业: 波谱分析与成像分析
[
求助
]
HE染色怎么判断细胞好坏死活
已有1人参与
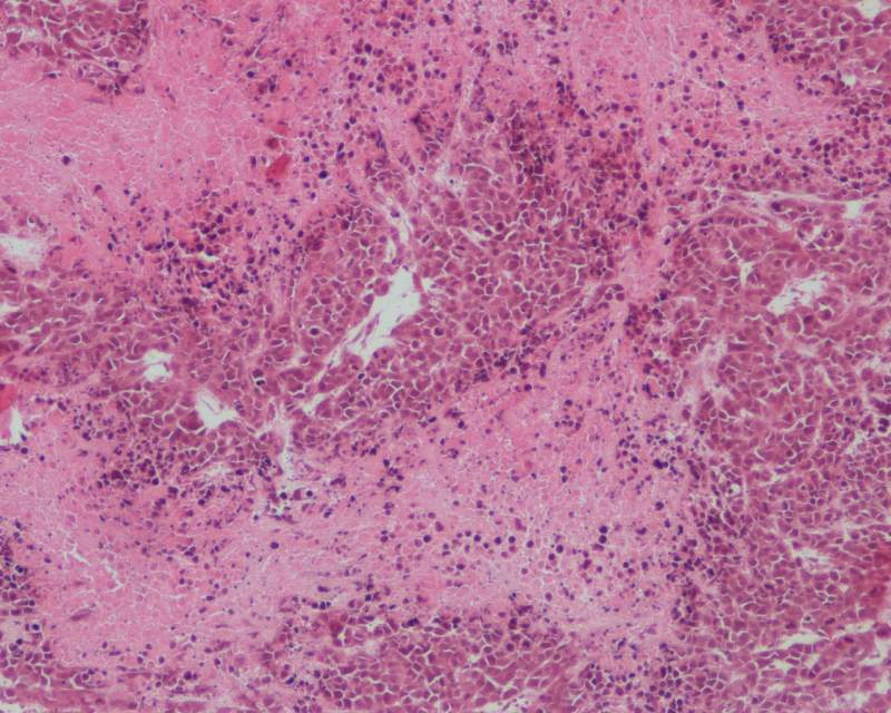
如题,怎么看好坏。
其次,这3个图的细胞怎么样,谢谢!
1.jpg
2.jpg
3.jpg
回复此楼
» 猜你喜欢
请问对标matlab的开源软件octave的网站https://octave.org为什么打不开?
已经有1人回复
求助两种BiOBr晶体的CIF文件(卡片号为JCPDS 09-0393与JCPDS 01-1004 )
已经有0人回复
金属材料论文润色/翻译怎么收费?
已经有185人回复
哈尔滨工程大学材化学院国家级青年人才-26年硕士招生
已经有0人回复
求助Fe-TCPP、Zn-TCPP的CIF文件,或者CCDC号
已经有0人回复
河北大学-26年秋季入学申请考核制-化学博士1名
已经有0人回复
XPS/?λXPS
已经有0人回复
» 本主题相关价值贴推荐,对您同样有帮助:
求推荐靠谱的HE染色试剂盒
已经有5人回复
求助HE染色和免疫组化
已经有9人回复
亲们来看看石蜡切片HE染色效果说明什么问题?
已经有10人回复
请教,细胞染色的问题
已经有15人回复
MCF-7细胞爬片HE染色怎么看凋亡小体,怎么分析
已经有4人回复
[font=宋体]小鼠脑免疫组化,石蜡包埋和HE染色详细步骤[/font]
已经有4人回复
HE染色可以检测什么组织和蛋白?关于炎症和屏障的有什么?
已经有3人回复
求解,小鼠肺部切片HE染色结果
已经有6人回复
细胞HE染色结果分析
已经有6人回复
关于DAPI和PI染色问题,大家帮我看看
已经有9人回复
有关石蜡切片HE染色的几个问题
已经有10人回复
【求助】HE染色中酒精使用
已经有3人回复
冰冻切片和HE染色
已经有18人回复
1楼
2014-11-23 16:23:39
已阅
回复此楼
关注TA
给TA发消息
送TA红花
TA的回帖
风铃双鱼
金虫
(小有名气)
应助: 3
(幼儿园)
金币: 679.1
红花: 2
帖子: 185
在线: 19小时
虫号: 2959000
注册: 2014-02-08
性别: GG
专业: 基因表达调控与表观遗传学
楼主,怎么感觉像出血的脏器啊?
[ 发自小木虫客户端 ]
赞
一下
回复此楼
2楼
2014-11-23 16:30:12
已阅
回复此楼
关注TA
给TA发消息
送TA红花
TA的回帖
风铃双鱼
金虫
(小有名气)
应助: 3
(幼儿园)
金币: 679.1
红花: 2
帖子: 185
在线: 19小时
虫号: 2959000
注册: 2014-02-08
性别: GG
专业: 基因表达调控与表观遗传学
是脾吗?
[ 发自小木虫客户端 ]
回复此楼
3楼
2014-11-23 16:30:31
已阅
回复此楼
关注TA
给TA发消息
送TA红花
TA的回帖
风铃双鱼
金虫
(小有名气)
应助: 3
(幼儿园)
金币: 679.1
红花: 2
帖子: 185
在线: 19小时
虫号: 2959000
注册: 2014-02-08
性别: GG
专业: 基因表达调控与表观遗传学
有点像血栓具体没看清楚,一片血海
[ 发自小木虫客户端 ]
赞
一下
回复此楼
4楼
2014-11-23 16:34:03
已阅
回复此楼
关注TA
给TA发消息
送TA红花
TA的回帖
午夜魔兰
银虫
(正式写手)
应助: 0
(幼儿园)
金币: 416.8
散金: 258
红花: 1
帖子: 403
在线: 243.7小时
虫号: 1068513
注册: 2010-08-03
性别: GG
专业: 波谱分析与成像分析
引用回帖:
2楼
:
Originally posted by
风铃双鱼
at 2014-11-23 16:30:12
楼主,怎么感觉像出血的脏器啊?
这是3个样品,出血吗?怎么能看出来?
赞
一下
回复此楼
5楼
2014-11-24 08:42:57
已阅
回复此楼
关注TA
给TA发消息
送TA红花
TA的回帖
午夜魔兰
银虫
(正式写手)
应助: 0
(幼儿园)
金币: 416.8
散金: 258
红花: 1
帖子: 403
在线: 243.7小时
虫号: 1068513
注册: 2010-08-03
性别: GG
专业: 波谱分析与成像分析
引用回帖:
4楼
:
Originally posted by
风铃双鱼
at 2014-11-23 16:34:03
有点像血栓具体没看清楚,一片血海
怎么看出来的一片血海?3张都是吗?
赞
一下
回复此楼
6楼
2014-11-24 08:48:18
已阅
回复此楼
关注TA
给TA发消息
送TA红花
TA的回帖
午夜魔兰
银虫
(正式写手)
应助: 0
(幼儿园)
金币: 416.8
散金: 258
红花: 1
帖子: 403
在线: 243.7小时
虫号: 1068513
注册: 2010-08-03
性别: GG
专业: 波谱分析与成像分析
引用回帖:
3楼
:
Originally posted by
风铃双鱼
at 2014-11-23 16:30:31
是脾吗?
不是
是肿瘤
回复此楼
7楼
2014-11-24 08:48:35
已阅
回复此楼
关注TA
给TA发消息
送TA红花
TA的回帖
风铃双鱼
金虫
(小有名气)
应助: 3
(幼儿园)
金币: 679.1
红花: 2
帖子: 185
在线: 19小时
虫号: 2959000
注册: 2014-02-08
性别: GG
专业: 基因表达调控与表观遗传学
引用回帖:
7楼
:
Originally posted by
午夜魔兰
at 2014-11-24 08:48:35
不是
是肿瘤
这个让我怎么说呢,你看第三张图,正常细胞外间质你见过吧,你再看看这张,大量的红细胞渗出,放大的话我差点当成混合血栓。。不过出血肯定是有的
[ 发自小木虫客户端 ]
赞
一下
回复此楼
8楼
2014-11-24 09:23:08
已阅
回复此楼
关注TA
给TA发消息
送TA红花
TA的回帖
风铃双鱼
金虫
(小有名气)
应助: 3
(幼儿园)
金币: 679.1
红花: 2
帖子: 185
在线: 19小时
虫号: 2959000
注册: 2014-02-08
性别: GG
专业: 基因表达调控与表观遗传学
引用回帖:
8楼
:
Originally posted by
风铃双鱼
at 2014-11-24 09:23:08
这个让我怎么说呢,你看第三张图,正常细胞外间质你见过吧,你再看看这张,大量的红细胞渗出,放大的话我差点当成混合血栓。。不过出血肯定是有的
...
你是学临床的吗?大几??
[ 发自小木虫客户端 ]
赞
一下
回复此楼
9楼
2014-11-24 09:24:17
已阅
回复此楼
关注TA
给TA发消息
送TA红花
TA的回帖
午夜魔兰
银虫
(正式写手)
应助: 0
(幼儿园)
金币: 416.8
散金: 258
红花: 1
帖子: 403
在线: 243.7小时
虫号: 1068513
注册: 2010-08-03
性别: GG
专业: 波谱分析与成像分析
引用回帖:
8楼
:
Originally posted by
风铃双鱼
at 2014-11-24 09:23:08
这个让我怎么说呢,你看第三张图,正常细胞外间质你见过吧,你再看看这张,大量的红细胞渗出,放大的话我差点当成混合血栓。。不过出血肯定是有的
...
做切片之前不都把血液给灌注掉吗?
赞
一下
回复此楼
10楼
2014-11-24 09:45:15
已阅
回复此楼
关注TA
给TA发消息
送TA红花
TA的回帖
相关版块跳转
材料综合
材料工程
微米和纳米
晶体
金属
无机非金属
生物材料
功能材料
复合材料
我要订阅楼主
午夜魔兰
的主题更新
13
1/2
返回列表
1
2
下一页
如果回帖内容含有宣传信息,请如实选中。否则帐号将被全论坛禁言
普通表情
龙
兔
虎
猫
百度网盘
|
360云盘
|
千易网盘
|
华为网盘
在新窗口页面中打开自己喜欢的网盘网站,将文件上传后,然后将下载链接复制到帖子内容中就可以了。
信息提示
关闭
请填处理意见
关闭
确定