| 查看: 296 | 回复: 0 | ||
huangyulong金虫 (小有名气)
huangyulong
|
[求助]
RNA反转录
|
|
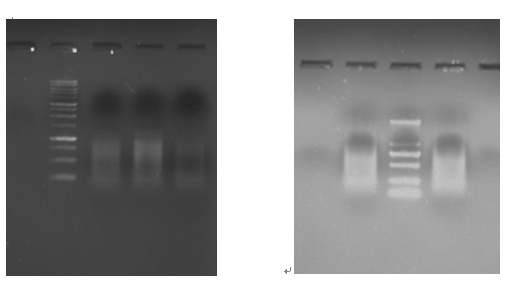
这是我做的RNA反转录城cDNA第一链的电泳图像,第一张图反转录时我用的引物是oligo(dT),第张图反转录时用的是随机引物。但是用这两种引物反转录的cDNA大小怎么都不到1000bp呢,正常的情况下反转录的cDNA第一链片段的大小不是主要集中在1000-2000bp之间吗?求高人帮忙分析一下这是什么原因...... U~FW)M$LTBD{7}[6BZ3NTRO.png |
» 猜你喜欢
筑牢营养安全线:以精准检测,护健康基石
已经有0人回复
推荐一些20种氨基酸检测的实际应用案例
已经有0人回复
化学工程及工业化学论文润色/翻译怎么收费?
已经有275人回复
不合理蛙科研实验中的趣事:实验器材的 “乌龙”
已经有0人回复
不合理蛙科研实验中的趣事:和实验材料的 “斗智斗勇”
已经有0人回复
蛋白质检测:精准分析,解锁生物分子的密码
已经有0人回复
不合理蛙科研实验之小鼠实验:严谨设计,解析生命机制的重要载体
已经有0人回复
不合理蛙科研实验之重金属检测:精准筛查,守护健康与环境的防线
已经有0人回复
不合理蛙科研实验之“蛙测重金属我背锅三千”
已经有0人回复
不合理蛙科研实验之“鼠逃三次我发三篇SCI”
已经有0人回复














回复此楼