| 查看: 5136 | 回复: 3 | ||
liuhai0610木虫 (小有名气)
|
[求助]
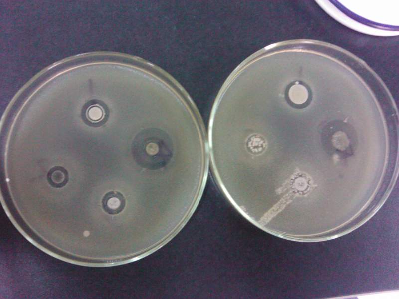
请大家帮忙看看培养基上产生的气泡样是什么原因? 已有2人参与
|
|
|
|
||
andylihuilai
|
【答案】应助回帖
★ ★ ★ ★ ★
感谢参与,应助指数 +1 liuhai0610: 金币+5, ★有帮助 2014-09-04 10:29:58
» 本帖已获得的红花(最新10朵) |
|
|
2楼2014-09-04 09:27:21
|
|
|
liuhai0610木虫 (小有名气)
|
||
|
3楼2014-09-04 10:29:46
|
|
|
snoopytbw荣誉版主 (著名写手)
|
【答案】应助回帖
★ ★ ★ ★ ★ ★ ★ ★ ★ ★ ★ ★ ★ ★ ★
感谢参与,应助指数 +1 liuhai0610: 金币+15, ★★★★★最佳答案 2014-09-10 12:16:09
|
|
|
4楼2014-09-05 10:46:25
|
|













回复此楼
liuhai0610
10