24小时热门版块排行榜    

Znn3bq.jpeg
查看: 2737  |  回复: 0

幻想之灵

金虫 (小有名气)

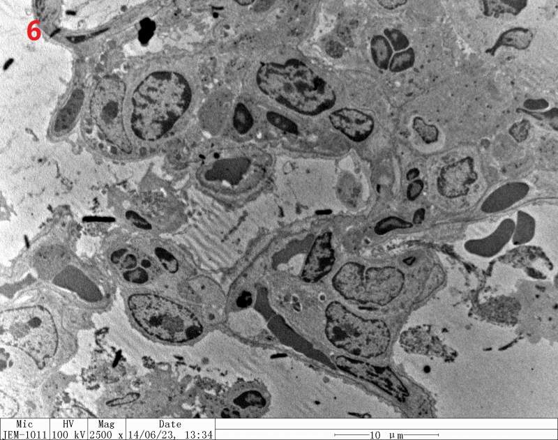
[交流] 小鼠肺组织和肺泡灌洗液细胞 TEM 观察

我做的是碳纳米材料气管滴注对小鼠的肺部毒性,并想观察到碳纳米材料在小鼠肺和巨噬细胞的分布情况。样本固定后,脱水,包埋,超薄切片,醋酸酰铀和柠檬酸铅染色。其中图1、2、3、4是小鼠肺泡灌洗液细胞的透射电镜图,5、6是小鼠肺组织的透射电镜图。我想请教大家的是,能通过TEM下细胞的形态确定细胞的种类么,比如图1中细胞形态各种各样,都是些什么细胞,还有图3是否是巨噬细胞。图5、6中,肺组织中有很多黑色的物质,都是些什么东西,是细胞本身的结构还是外来物质,如我暴露的碳纳米材料。如果是细胞本身的结构,为什么图1、2、3、4细胞中,什么也没有。谢谢大家。

小鼠肺组织和肺泡灌洗液细胞 TEM 观察
1-1.jpg


小鼠肺组织和肺泡灌洗液细胞 TEM 观察-1
1-18.jpg


小鼠肺组织和肺泡灌洗液细胞 TEM 观察-2
1-19.jpg


小鼠肺组织和肺泡灌洗液细胞 TEM 观察-3
1-20.jpg


小鼠肺组织和肺泡灌洗液细胞 TEM 观察-4
2-1.jpg


小鼠肺组织和肺泡灌洗液细胞 TEM 观察-5
2-22.jpg
回复此楼
已阅   回复此楼   关注TA 给TA发消息 送TA红花 TA的回帖
相关版块跳转 我要订阅楼主 幻想之灵 的主题更新
普通表情 高级回复 (可上传附件)
最具人气热帖推荐 [查看全部] 作者 回/看 最后发表
[考研] 求调剂,262机械专硕 +5 嗯yyl 2026-04-08 5/250 2026-04-08 23:27 by 6781022
[考研] 材料工程085601,270求调剂 +22 @ASDF1234 2026-04-08 23/1150 2026-04-08 22:03 by zhouyuwinner
[考研] 软件工程求调剂22软工296分求调剂,接受跨调 +4 yangchen2017 2026-04-08 5/250 2026-04-08 21:56 by 土木硕士招生
[考研] 296求调剂 +3 汪!?! 2026-04-08 3/150 2026-04-08 21:46 by 土木硕士招生
[考研] 269求调剂 +6 啊啊我我 2026-04-07 6/300 2026-04-08 20:04 by 我减肥1
[考研] 264求调剂 +11 麦小叮当 2026-04-07 11/550 2026-04-08 16:05 by 一只好果子?
[考研] 一志愿211,化学学硕,310分,本科重点双非,求调剂 +10 努力奋斗112 2026-04-07 10/500 2026-04-08 15:01 by screening
[考研] 机械工程264学硕求调剂 +3 qiushangxian 2026-04-06 3/150 2026-04-08 01:53 by Linzejun
[考研] 22408 一志愿双一流人工智能300分 四六级,数据分析国奖 +4 zzfeng123 2026-04-06 6/300 2026-04-07 21:02 by zzfeng123
[硕博家园] 0856材料化工求调剂,一志愿211,初试成绩349 +4 江淮北月 2026-04-05 4/200 2026-04-06 22:44 by chenzhimin
[考研] 华南理工0703化学,总分336求调剂 +10 手机用户 2026-04-03 11/550 2026-04-06 22:20 by michael2011
[考研] 304求调剂 +4 luoye0105 2026-04-05 4/200 2026-04-06 21:05 by 木子君1218
[考研] 一志愿国科大信工所,英二数二408总分293分求调剂 +3 ilcyuan 2026-04-02 4/200 2026-04-06 16:35 by likeihood
[考研] 346分的生物与医药08600求调剂 +6 常雨阳上岸 2026-04-05 7/350 2026-04-06 12:36 by lys0704
[考研] 求调剂 +10 chenxrlkx 2026-04-05 10/500 2026-04-06 11:31 by 猪会飞
[考研] 材料专硕(0856) 339分求调剂 +10 哈哈哈鹅哈哈哈 2026-04-04 10/500 2026-04-05 18:51 by 蓝云思雨
[考研] 288求调剂 一志愿哈工大 材料与化工 +13 洛神哥哥 2026-04-03 13/650 2026-04-05 17:27 by zzx2138
[考研] 295求调剂 +3 尚偌呀 2026-04-03 4/200 2026-04-03 21:23 by zhq0425
[考研] 0705理学294求调剂 +3 成果成果cg5 2026-04-03 3/150 2026-04-03 14:04 by simons1972
[考研] 266分,一志愿电气工程,本科材料,求材料专业调剂 +9 哇呼哼呼哼 2026-04-02 9/450 2026-04-03 12:05 by 1753564080
信息提示
请填处理意见