| ²é¿´: 342 | »Ø¸´: 0 | ||
ÓÐÔµÌú³æ (СÓÐÃûÆø)
|
[ÇóÖú]
Ѫ¹Ü ½á¹¹ ±ä»¯
|
|
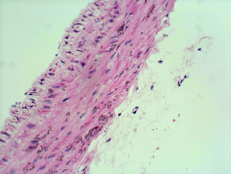
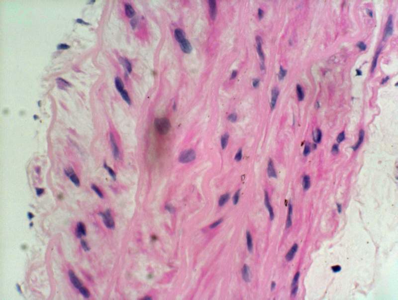
ÐØÖ÷¶¯ÂöH&E Ⱦɫ£¬²»»áÈÏͼ£¬ÍûÖ¸½Ì 1¡¢ ͼ1¡¢2 ÊÇѪ¹ÜÄÚÆ¤ÔöÉúÂð£¬Ôõô·ÖÎöµÄ£¿ 2¡¢ ͼ3 Ѫ¹ÜÖвãÓÐÓÐÌõ³¤³¤µÄ¿Õ϶ÊÇÔõô»ØÊ£¬ÊǾÞÊÉϸ°û¡£¡£¡££¿ ͼ1 £¨200±¶£© ͼ2 £¨400 ±¶£© ͼ3 £¨200±¶£© |
» ²ÂÄãϲ»¶
ÕÐÖ×Áö»ù´¡Ñо¿·½Ïò25¼¶²©Ê¿Éú Õã½´óѧ
ÒѾÓÐ15È˻ظ´
ÍÆ¼ö£üÃâ°æÃæ·Ñ+¿ìËÙ·¢±íµÄÓ¢ÎÄÆÚ¿¯
ÒѾÓÐ1È˻ظ´
·¨Ò½Ñ§ÂÛÎÄÈóÉ«/·ÒëÔõôÊÕ·Ñ?
ÒѾÓÐ50È˻ظ´
ÍÆ¼ö£üÃâ°æÃæ·Ñ+¿ìËÙ·¢±íµÄÓ¢ÎÄÆÚ¿¯
ÒѾÓÐ9È˻ظ´
°²»ÕÒ½¿Æ´óѧÉúÃü¿ÆÑ§Ñ§Ôº ÖܿɳɽÌÊÚ¿ÎÌâ×é2025ÄêÕÐÊÕµ÷¼Á˶ʿÑо¿Éú2Ãû
ÒѾÓÐ0È˻ظ´
Äã»áÑ¡ÔñͶ5·Ö×óÓÒµÄOAÆÚ¿¯£¬»¹ÊÇÑ¡Ôñ3-4·ÖµÄ·ÇOAÆÚ¿¯£¿
ÒѾÓÐ5È˻ظ´
2026É격 һƪÖпÆÔº¶þÇø Áù¼¶444
ÒѾÓÐ20È˻ظ´
ÕÒµ½Ò»Ð©Ïà¹ØµÄ¾«»ªÌû×Ó£¬Ï£ÍûÓÐÓÃŶ~
2014Äê¶ÈÕã½Ê¡×ÔÈ»¿ÆÑ§»ù½ðÄâ×ÊÖúÏîÄ¿Çåµ¥
ÒѾÓÐ14È˻ظ´
ÇóÖú Ѫ¹ÜÄÚ±Úϸ°û µÄ½á¹¹¼°×é³É
ÒѾÓÐ5È˻ظ´
ÖйúÖÆÒ©°ÙÇ¿½á¹¹¼°Ò©Æ·ÁãÊÛÊг¡·ÖÎö
ÒѾÓÐ9È˻ظ´
¿ÆÑдÓСľ³æ¿ªÊ¼£¬ÈËÈËΪÎÒ£¬ÎÒΪÈËÈË














»Ø¸´´ËÂ¥
µã»÷ÕâÀïËÑË÷¸ü¶àÏà¹Ø×ÊÔ´