| 查看: 220 | 回复: 0 | ||
轲壳克可-氪新虫 (小有名气)
|
[求助]
[难以确定的金相]求高手指点该材料的组织,一起讨论啊?
|
|
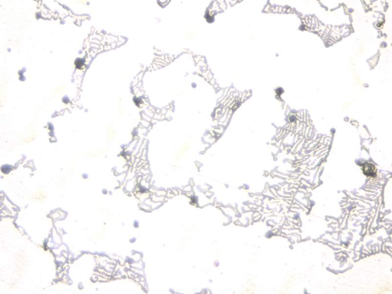
这次做了镍基Hastelloy C的金相,其成份如:C=0.1% , Cr=16.5%, Mo=17% ,Si=0.8 %,V=0.3%, W=4.5 %,Ni余下。用的腐蚀剂为:HCL+HNO3+FeCl3,我觉得组织是奥氏体+M6Chttp://d.kankan3d.com/file/data/bcs/2014/0509/w134h2733840_1399624254_914.jpg+拓扑密堆http://d.kankan3d.com/file/data/ ... _1399624254_914.jpg相(σ相+μ相),还没做XRD. 镍基组织放大500倍 放大1000倍 |
» 猜你喜欢
英文综述是否需要润色及查重
已经有5人回复
救命帖
已经有5人回复
限项规定
已经有5人回复
为什么nbs上溴 没有产物点出现呢
已经有9人回复
招博士
已经有3人回复
存款400万可以在学校里躺平吗
已经有35人回复
最失望的一年
已经有18人回复
求推荐博导
已经有4人回复
求推荐英文EI期刊
已经有5人回复
» 本主题相关商家推荐: (我也要在这里推广)

找到一些相关的精华帖子,希望有用哦~
求高手指点,这张氢谱中的什么情况让老师没有继续打碳谱?
已经有15人回复
编辑提出问题,不知道什么意思?求高手指点!
已经有22人回复
求高手指点molpro混合基组的输入
已经有4人回复
R-OTS 和醇反应。。求高手指点 亲们,做过类似的没,给个招啊
已经有4人回复
低于材料禁带宽度的光子激发出电子空穴对?求高人指点!
已经有23人回复
格氏试剂的制备,求高手指点
已经有3人回复
跪求高手指点一下,此句英文投稿要的意思,急急急急急!
已经有21人回复
关于DMFDMA的反应,求高人指点
已经有21人回复
金属的成形性与塑性有啥区别,求高人指点。
已经有19人回复
求高手指点c语言中求中值的程序
已经有7人回复
求高手指点:固体荧光量子产率与激发波长的关系
已经有9人回复
求高人指点这五个反应的机理!急~
已经有12人回复
求指点!血管支架石蜡切片时支架与石蜡分离的原因?
已经有13人回复
求高手指点witting反应
已经有14人回复
求高人指点一下我的SEM照片
已经有26人回复
相转移催化反应产率提高不上去郁闷,求高手指点!
已经有12人回复
奇怪的TEM衍射图谱,重金求高手指点
已经有17人回复
【求助】关于EDC活化羧酸的反应,请求高人指点
已经有11人回复
郁闷啊,《功能材料》增刊,该不该发?请高手指点!
已经有12人回复
【讨论】ZSM-5催化剂制备的一些疑问,高手指点一下
已经有11人回复
科研从小木虫开始,人人为我,我为人人













回复此楼

点击这里搜索更多相关资源