| 查看: 1526 | 回复: 5 | |||
[求助]
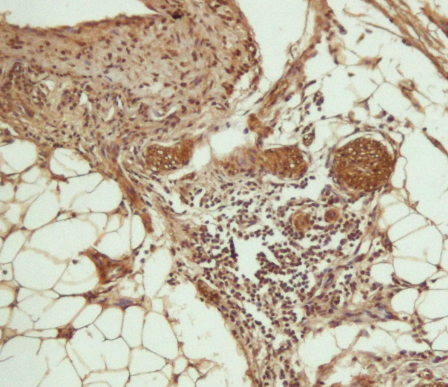
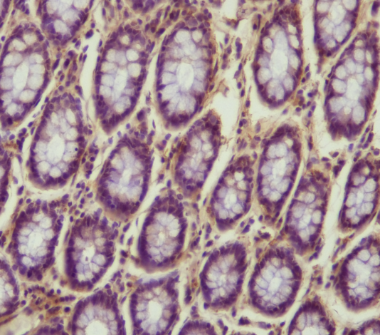
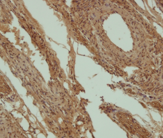
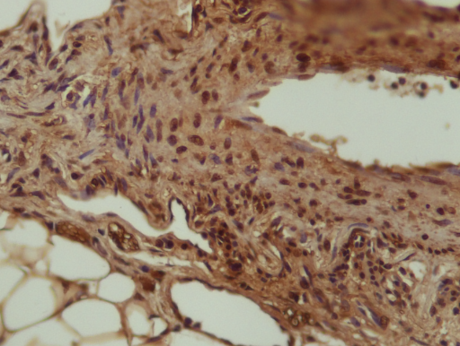
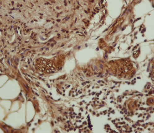
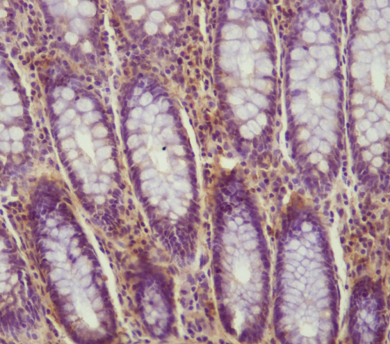
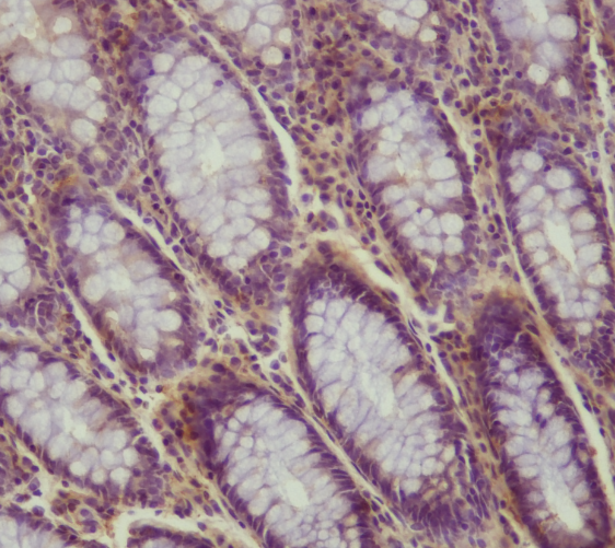
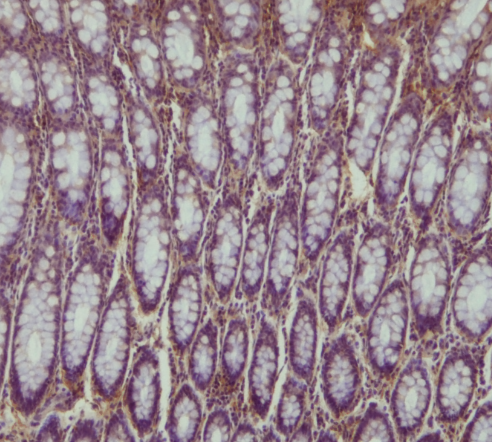
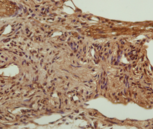
请做过免疫组化的进来鉴定一下我的ICH图片~ 已有5人参与
|
免疫组化 |
» 猜你喜欢
288求调剂,一志愿华南理工大学071005
已经有5人回复
一志愿中国海洋大学,生物学,301分,求调剂
已经有5人回复
294求调剂材料与化工专硕
已经有12人回复
0856调剂,是学校就去
已经有5人回复
0817 化学工程 299分求调剂 有科研经历 有二区文章
已经有13人回复
梁成伟老师课题组欢迎你的加入
已经有11人回复
复试调剂
已经有6人回复
0703化学调剂 ,六级已过,有科研经历
已经有11人回复
321求调剂
已经有10人回复
东华理工大学化材专业26届硕士博士申请
已经有8人回复
» 本主题相关价值贴推荐,对您同样有帮助:
western实验中大分子量的蛋白如何鉴定
已经有5人回复
2楼2014-05-05 21:06:55
3楼2014-05-08 09:54:48
youlinglyw
荣誉版主 (著名写手)
一匡天下
-

专家经验: +37 - BioEPI: 5
- 应助: 136 (高中生)
- 贵宾: 0.077
- 金币: 8052.9
- 散金: 8858
- 红花: 208
- 沙发: 2
- 帖子: 1511
- 在线: 263.8小时
- 虫号: 787036
- 注册: 2009-06-04
- 性别: GG
- 专业: 认知科学
- 管辖: 生物科学

4楼2014-05-08 15:41:39
sfeqhl
铁虫 (正式写手)
- 应助: 5 (幼儿园)
- 金币: 1087.9
- 散金: 153
- 红花: 6
- 帖子: 942
- 在线: 157.2小时
- 虫号: 2604963
- 注册: 2013-08-19
- 性别: MM
- 专业: 免疫生物学
5楼2014-05-16 08:51:41
neverknow
木虫 (著名写手)
- 应助: 42 (小学生)
- 金币: 3350.3
- 红花: 9
- 帖子: 1248
- 在线: 90小时
- 虫号: 309223
- 注册: 2006-12-23
- 性别: GG
- 专业: 动物病理学
6楼2014-06-06 15:38:57













回复此楼