±±¾©Ê¯ÓÍ»¯¹¤Ñ§Ôº2026ÄêÑо¿ÉúÕÐÉú½ÓÊÕµ÷¼Á¹«¸æ
²é¿´: 562  |  »Ø¸´: 0

Axililiy

½ð³æ (СÓÐÃûÆø)

[ÇóÖú] »îÐÔÎÛÄྵ¼ìÕÕÆ¬

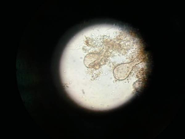
»îÐÔÎÛÄྵ¼ìʱÅÄϵÄÕÕÆ¬£¬ÎÛÄàÖз¢ÏֺܶàÕâÖÖ¡±µçµÆÅÝ¡°ÐÎ×´µÄ¶«Î÷£¬Ò»¶¯²»¶¯£¬ÇëÎÊÕâ¸ö"µãµÆÅÝ¡°Ò»ÑùµÄÊÇʲô£¿ÊÇæß×ÓÂð£¿
»îÐÔÎÛÄྵ¼ìÕÕÆ¬
2013-09-03 16.14.23.jpg


»îÐÔÎÛÄྵ¼ìÕÕÆ¬-1
2013-09-03 16.14.49.jpg
»Ø¸´´ËÂ¥
ÒÑÔÄ   »Ø¸´´ËÂ¥   ¹Ø×¢TA ¸øTA·¢ÏûÏ¢ ËÍTAºì»¨ TAµÄ»ØÌû

ÖÇÄÜ»úÆ÷ÈË

Robot (super robot)

ÎÒÃǶ¼°®Ð¡Ä¾³æ

ÕÒµ½Ò»Ð©Ïà¹ØµÄ¾«»ªÌû×Ó£¬Ï£ÍûÓÐÓÃŶ~

¿ÆÑдÓСľ³æ¿ªÊ¼£¬ÈËÈËΪÎÒ£¬ÎÒΪÈËÈË
Ïà¹Ø°æ¿éÌø×ª ÎÒÒª¶©ÔÄÂ¥Ö÷ Axililiy µÄÖ÷Ìâ¸üÐÂ
×î¾ßÈËÆøÈÈÌûÍÆ¼ö [²é¿´È«²¿] ×÷Õß »Ø/¿´ ×îºó·¢±í
[¿¼ÑÐ] 325Çóµ÷¼Á +4 ´º·ç²»½èÒâ 2026-04-04 4/200 2026-04-04 14:46 by ÏæÅ©´¢ÄܲÄÁÏ
[¿¼ÑÐ] ¸´ÊÔµ÷¼Á +6 ·¶¸ùÅà 2026-04-04 6/300 2026-04-04 14:27 by ÍÁľ˶ʿÕÐÉú
[¿¼ÑÐ] 278Çóµ÷¼Á +7 ·¶æÃÄÈ 2026-04-04 8/400 2026-04-04 13:11 by 1753564080
[¿¼ÑÐ] 292·Ö£¬²ÄÁÏÓ뻯¹¤£¬ÉêÇëµ÷¼Á +21 ³ÌÇçÖ® 2026-04-01 25/1250 2026-04-04 11:01 by hmn_wj
[¿¼ÑÐ] ²ÄÁϵ÷¼Á +11 ÎâèùÓ±£¡ 2026-04-03 11/550 2026-04-04 09:56 by ССÊ÷2024
[¿¼ÑÐ] »¯Ñ§µ÷¼ÁÇóÖú +6 LULONG1 2026-04-03 6/300 2026-04-03 23:13 by qzxyhcsy
[¿¼ÑÐ] ¿¼Ñе÷¼Á +3 15615482637 2026-04-03 3/150 2026-04-03 22:50 by ms629
[¿¼ÑÐ] 343Çóµ÷¼Á085601 +6 ҪŬÁ¦Ñ§Ï°x 2026-03-29 7/350 2026-04-03 19:49 by °ÙÁéͯ888
[¿¼ÑÐ] 338Çóµ÷¼Á +4 êɹ¦? 2026-04-03 4/200 2026-04-03 14:01 by °ÙÁéͯ888
[¿¼ÑÐ] ÉúÎïѧÇóµ÷¼Á +3 15064154688 2026-04-03 3/150 2026-04-03 10:28 by macy2011
[¿¼ÑÐ] һ־Ըɽ¶«´óѧ»¯Ñ§Ó뻯¹¤Ñ§Ôº²ÄÁÏÓ뻯¹¤×¨Ë¶£¬360·ÖÇóµ÷¼Á +4 ²»Ô¸Í¸Â¶ÐÕÃûµÄË 2026-04-02 4/200 2026-04-03 09:29 by ÒÅÍüÏûʧµÄž™
[¿¼ÑÐ] 264·Ö£¬ÇóÈÎÒ⹤¿Æµ÷¼Á +4 zzlqwq 2026-03-29 5/250 2026-04-02 17:17 by ºÎÔø¼¸ºÎ
[¿¼ÑÐ] »¯Ñ§¹¤³Ìר˶324·Ö£¬Ò»Ö¾Ô¸Öйú¿óÒµ´óѧÇóµ÷¼Á +7 ¹¢¹¢1314 2026-04-01 7/350 2026-04-02 07:40 by ÉÐË®¸óÖ÷
[¿¼ÑÐ] 304Çóµ÷¼Á +12 ËØÄê¼ÀÓï 2026-03-31 15/750 2026-04-01 22:41 by peike
[¿¼ÑÐ] 070300»¯Ñ§279Çóµ÷¼Á +15 ¹þ¹þ¹þ^_^ 2026-03-31 17/850 2026-04-01 21:37 by ¸øÄãÄã×¢ÒâÐÝÏ¢
[¿¼ÑÐ] 262Çóµ÷¼Á +9 ÀøÖ¾Ò»¶¨·¢ÎÄÕ 2026-03-31 10/500 2026-04-01 12:22 by sunshine0013
[¿¼ÑÐ] 315Çóµ÷¼Á +6 akie... 2026-03-28 7/350 2026-03-31 16:48 by asdfzly
[¿¼ÑÐ] Çóµ÷¼Á +8 11ggg 2026-03-30 8/400 2026-03-31 13:56 by nanaliuyun
[¿¼ÑÐ] Ò»Ö¾Ô¸Öк£Ñó320»¯Ñ§¹¤³ÌÓë¼¼Êõѧ˶Çóµ÷¼Á +8 ÅûÐÇºÓ 2026-03-30 8/400 2026-03-31 08:53 by lbsjt
[¿¼ÑÐ] 348Çóµ÷¼Á +6 СÀÁ³æ²»ÀÁÁË 2026-03-28 6/300 2026-03-30 10:29 by Evan_Liu
ÐÅÏ¢Ìáʾ
ÇëÌî´¦ÀíÒâ¼û