Znn3bq.jpeg
ÉÇÍ·´óѧº£Ñó¿ÆÑ§½ÓÊܵ÷¼Á
²é¿´: 2761  |  »Ø¸´: 21

ÇàÇàdeÑò

Ìú¸Ëľ³æ (ÖøÃûдÊÖ)


[½»Á÷] Çë½ÌÏÂAl-Si¹ý¹²¾§µÄ×éÖ¯ÎÊÌâ

¸ÕÂòÁËAl-SiÖмäºÏ½ð£¬½ñÌì×öµç¾µ£¬Ö±½ÓÅ׺õÄÑùÔڵ羵Ϲ۲죬û·¢ÏÖÏÈÎö³öÏàSi,ÓÚÊÇ´òÁË»ùÌåµÄ³É·Ö£¬·¢ÏÖSi¼¸ºõûÓС£ÊDz»ÊÇÒª¹Û²ìÏÈÎö³öÏàSiµÄ»°ÒªÇÖÊ´ÊÔÑùѽ£¿ÎÒµÄÊÔÑùÖа´Ëµº¬SiÁ¿20%×óÓҵġ£

[ À´×ÔС×é ²ÄÁϼÒ×å ]
Çë½ÌÏÂAl-Si¹ý¹²¾§µÄ×éÖ¯ÎÊÌâ
200±¶-¹â¾µÕÕÆ¬


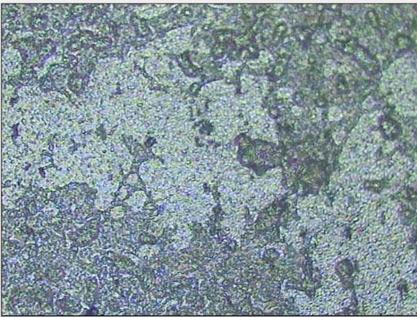
Çë½ÌÏÂAl-Si¹ý¹²¾§µÄ×éÖ¯ÎÊÌâ-1
800±¶-¹â¾µÕÕÆ¬


Çë½ÌÏÂAl-Si¹ý¹²¾§µÄ×éÖ¯ÎÊÌâ-2
200±¶-¹â¾µÕÕÆ¬


Çë½ÌÏÂAl-Si¹ý¹²¾§µÄ×éÖ¯ÎÊÌâ-3
100±¶-¹â¾µÕÕÆ¬



[ Last edited by ÇàÇàdeÑò on 2013-8-22 at 20:09 ]
»Ø¸´´ËÂ¥

» ²ÂÄãϲ»¶

» ±¾Ö÷ÌâÏà¹ØÉ̼ÒÍÆ¼ö: (ÎÒÒ²ÒªÔÚÕâÀïÍÆ¹ã)

» ±¾Ö÷ÌâÏà¹Ø¼ÛÖµÌùÍÆ¼ö£¬¶ÔÄúͬÑùÓаïÖú:

» ÇÀ½ð±ÒÀ²£¡»ØÌû¾Í¿ÉÒԵõ½:

²é¿´È«²¿É¢½ðÌù

ÒÑÔÄ   »Ø¸´´ËÂ¥   ¹Ø×¢TA ¸øTA·¢ÏûÏ¢ ËÍTAºì»¨ TAµÄ»ØÌû

ÍõÁî111

ľ³æ (ÕýʽдÊÖ)


¡ï ¡ï
Сľ³æ: ½ð±Ò+0.5, ¸ø¸öºì°ü£¬Ð»Ð»»ØÌû
ÇàÇàdeÑò: ½ð±Ò+1 2013-08-22 20:10:33
¼ì²âϲÄÁϳɷ֣¬³õ¾§¹è²»¸¯Ê´Ò²ÊÇ¿ÉÒÔ¿´³öÀ´µÄ
2Â¥2013-08-22 09:03:51
ÒÑÔÄ   »Ø¸´´ËÂ¥   ¹Ø×¢TA ¸øTA·¢ÏûÏ¢ ËÍTAºì»¨ TAµÄ»ØÌû

ÇàÇàdeÑò

Ìú¸Ëľ³æ (ÖøÃûдÊÖ)


ÒýÓûØÌû:
2Â¥: Originally posted by ÍõÁî111 at 2013-08-22 09:03:51
¼ì²âϲÄÁϳɷ֣¬³õ¾§¹è²»¸¯Ê´Ò²ÊÇ¿ÉÒÔ¿´³öÀ´µÄ

лл£¡ÄãºÃ£¬ÎÒÅ×¹âºóÔڵ羵ÏÂûÕÒµ½³öÉú¹è¿é£¬½ñÌìÓÃ0.5%HFË®ÈÜÒºÇÖÊ´ÁËһϣ¬ÕÕÁ˼¸ÕÅÕÕÆ¬¡£
3Â¥2013-08-22 20:03:36
ÒÑÔÄ   »Ø¸´´ËÂ¥   ¹Ø×¢TA ¸øTA·¢ÏûÏ¢ ËÍTAºì»¨ TAµÄ»ØÌû

ÇàÇàdeÑò

Ìú¸Ëľ³æ (ÖøÃûдÊÖ)


ÒýÓûØÌû:
2Â¥: Originally posted by ÍõÁî111 at 2013-08-22 09:03:51
¼ì²âϲÄÁϳɷ֣¬³õ¾§¹è²»¸¯Ê´Ò²ÊÇ¿ÉÒÔ¿´³öÀ´µÄ

Äã¸ø¿´Ï£¬ÄÇЩ»ÒÉ«µÄ¿é×´ÊǹèÏàÂð£¿
4Â¥2013-08-22 20:11:27
ÒÑÔÄ   »Ø¸´´ËÂ¥   ¹Ø×¢TA ¸øTA·¢ÏûÏ¢ ËÍTAºì»¨ TAµÄ»ØÌû

ÍõÁî111

ľ³æ (ÕýʽдÊÖ)


¡ï ¡ï
Сľ³æ: ½ð±Ò+0.5, ¸ø¸öºì°ü£¬Ð»Ð»»ØÌû
ÇàÇàdeÑò: ½ð±Ò+1 2013-08-23 10:37:59
ÒýÓûØÌû:
4Â¥: Originally posted by ÇàÇàdeÑò at 2013-08-22 20:11:27
Äã¸ø¿´Ï£¬ÄÇЩ»ÒÉ«µÄ¿é×´ÊǹèÏàÂð£¿...

ÄãµÄÊÔÑùûÓÐÅ׳öÀ´£¬ÄÇÖÖ´ó¿é×´µÄ£¬ÓÐÖʵ㣨Ðκ˵㣩µÄÊdzõ¾§¹è¡£
5Â¥2013-08-23 08:30:28
ÒÑÔÄ   »Ø¸´´ËÂ¥   ¹Ø×¢TA ¸øTA·¢ÏûÏ¢ ËÍTAºì»¨ TAµÄ»ØÌû

ÇàÇàdeÑò

Ìú¸Ëľ³æ (ÖøÃûдÊÖ)


ÒýÓûØÌû:
5Â¥: Originally posted by ÍõÁî111 at 2013-08-23 08:30:28
ÄãµÄÊÔÑùûÓÐÅ׳öÀ´£¬ÄÇÖÖ´ó¿é×´µÄ£¬ÓÐÖʵ㣨Ðκ˵㣩µÄÊdzõ¾§¹è¡£...

ÄãºÃ£¬ÄúÊÇ˵ÎÒûÅ׳öÀ´Âð£¿ÎÒ¾õµÃʽÑùÅ×ÁÁÁËѽ£¬Ö»ÊÇ»®ºÛ½Ï¶à¡£ÄÇôÈç¹ûÎÒÅ׵ĺÃÁË»°£¬²»ÓÃÇÖÊ´¾Í¿ÉÒÔ¿´µ½³õ¾§¹èÂð£¿ÉÏÃæ¼¸ÕÅÊÇ0.5%HFË®ÈÜÒºÇÖÊ´ÁËһϵġ£
6Â¥2013-08-23 10:41:16
ÒÑÔÄ   »Ø¸´´ËÂ¥   ¹Ø×¢TA ¸øTA·¢ÏûÏ¢ ËÍTAºì»¨ TAµÄ»ØÌû

ÍõÁî111

ľ³æ (ÕýʽдÊÖ)


¡ï ¡ï
Сľ³æ: ½ð±Ò+0.5, ¸ø¸öºì°ü£¬Ð»Ð»»ØÌû
ÇàÇàdeÑò: ½ð±Ò+1 2013-08-27 08:21:52
Äã²Î¿¼ÏÂͼƬ£¬´ó¿é×´»ÒÉ«µÄ¾ÍÊÇÎö³öµÄ³õ¾§¹è¡£
Çë½ÌÏÂAl-Si¹ý¹²¾§µÄ×éÖ¯ÎÊÌâ-4
500X021020_001 ¸±±¾.JPG



[ Last edited by ÍõÁî111 on 2013-8-26 at 08:47 ]
7Â¥2013-08-26 08:45:40
ÒÑÔÄ   »Ø¸´´ËÂ¥   ¹Ø×¢TA ¸øTA·¢ÏûÏ¢ ËÍTAºì»¨ TAµÄ»ØÌû

szp7346

гæ (СÓÐÃûÆø)


¡ï ¡ï
Сľ³æ: ½ð±Ò+0.5, ¸ø¸öºì°ü£¬Ð»Ð»»ØÌû
ÇàÇàdeÑò: ½ð±Ò+1 2013-08-27 08:21:58
Ôڵ羵Ï£¬ÂÁºÍ¹è³Ä¶ÈÏà½ü£¬²»Ì«ºÃ·Ö±æ£¬¹â¾µÏµ½Ê±ºÜÈÝÒ×Çø·Ö£¬²»¸¯Ê´¶¼¿ÉÒԷֱ档ÔÙ˵ÄãÕâ¸öÊDz»ÊDZäÖÊ´¦Àí¹ý£¬»¹ÓÐÈÈ´¦Àí£¬ÕâЩ¶Ô¹èµÄÐÎò¶¼ÓÐÓ°ÏìµÄ£¡

Å×¹âÊDz»ÊÇÓÐÎÊÌâ¡£
8Â¥2013-08-26 12:36:49
ÒÑÔÄ   »Ø¸´´ËÂ¥   ¹Ø×¢TA ¸øTA·¢ÏûÏ¢ ËÍTAºì»¨ TAµÄ»ØÌû

ÇàÇàdeÑò

Ìú¸Ëľ³æ (ÖøÃûдÊÖ)


ÒýÓûØÌû:
7Â¥: Originally posted by ÍõÁî111 at 2013-08-26 08:45:40
Äã²Î¿¼ÏÂͼƬ£¬´ó¿é×´»ÒÉ«µÄ¾ÍÊÇÎö³öµÄ³õ¾§¹è¡£

500X021020_001 ¸±±¾.JPG
...

ÄãºÃ£¬ÄãÕâ¸öÊÇÖ±½ÓÅ×¹âºóµÄÕÕÆ¬Âð£¿Ã»ÇÖÊ´¹ýµÄ£¿
9Â¥2013-08-27 08:16:28
ÒÑÔÄ   »Ø¸´´ËÂ¥   ¹Ø×¢TA ¸øTA·¢ÏûÏ¢ ËÍTAºì»¨ TAµÄ»ØÌû

ÇàÇàdeÑò

Ìú¸Ëľ³æ (ÖøÃûдÊÖ)


ÒýÓûØÌû:
8Â¥: Originally posted by szp7346 at 2013-08-26 12:36:49
Ôڵ羵Ï£¬ÂÁºÍ¹è³Ä¶ÈÏà½ü£¬²»Ì«ºÃ·Ö±æ£¬¹â¾µÏµ½Ê±ºÜÈÝÒ×Çø·Ö£¬²»¸¯Ê´¶¼¿ÉÒԷֱ档ÔÙ˵ÄãÕâ¸öÊDz»ÊDZäÖÊ´¦Àí¹ý£¬»¹ÓÐÈÈ´¦Àí£¬ÕâЩ¶Ô¹èµÄÐÎò¶¼ÓÐÓ°ÏìµÄ£¡

Å×¹âÊDz»ÊÇÓÐÎÊÌâ¡£

ÎÒÕâ¸öÖ±½ÓÂòµÄ£¬ÂòµÄAlSi20ÖмäºÏ½ð¡£Âò»ØÀ´Ö®ºóÎÒ¾ÍÈ¡ÁËÒ»¸öСÊÔÑù£¬Å×¹â¹Û²ì£¬Ôڵ羵ÏÂû·¢ÏÖ£¬ÓÖÇÖÊ´ÁË£¬¾ÍÏñ×îÉÏÃæµÄÄÇÖÖͼ£¬×òÌì¿´µç¾º£¬´ò³É·Ý£¬½á¹û²»ÊÇSi£¬Ö÷Òª³É·ÖÊÇAl£¬¸Ð¾õÊÇÄÇЩºÚÉ«µÄ¿é×´Ò²ÊÇÂÁ»ùÌ壬ֻÊDZ»ÇÖÊ´ºóÁôϵġ£ÎÒÊDz»ÊǸÃÄÃÈ¥²âÊÔÏÂSiº¬Á¿ÄØ£¿
10Â¥2013-08-27 08:21:34
ÒÑÔÄ   »Ø¸´´ËÂ¥   ¹Ø×¢TA ¸øTA·¢ÏûÏ¢ ËÍTAºì»¨ TAµÄ»ØÌû

hoolgoo

Í­³æ (³õÈëÎÄ̳)


ÊÔÑùÅ×¹âµÄ²»ºÃ
11Â¥2013-08-27 12:53:48
ÒÑÔÄ   »Ø¸´´ËÂ¥   ¹Ø×¢TA ¸øTA·¢ÏûÏ¢ ËÍTAºì»¨ TAµÄ»ØÌû

zhang6888

½ð³æ (СÓÐÃûÆø)


¡ï ¡ï
Сľ³æ: ½ð±Ò+0.5, ¸ø¸öºì°ü£¬Ð»Ð»»ØÌû
ÇàÇàdeÑò: ½ð±Ò+1 2013-08-28 09:18:49
½ö´ÓÏàÆ¬¿´Ã»ÓÐSiÏ࣬ÊÇ·ñÊDzÄÁϱ¾ÉíµÄÎÊÌâ»òÑõ»¯²ãûÓÐÄ¥µôµÄÎÊÌ⣬½¨ÒéÖØÐÂÖÆÑùÔÙ¿´
12Â¥2013-08-27 17:33:19
ÒÑÔÄ   »Ø¸´´ËÂ¥   ¹Ø×¢TA ¸øTA·¢ÏûÏ¢ ËÍTAºì»¨ TAµÄ»ØÌû

ÇàÇàdeÑò

Ìú¸Ëľ³æ (ÖøÃûдÊÖ)


ÒýÓûØÌû:
12Â¥: Originally posted by zhang6888 at 2013-08-27 17:33:19
½ö´ÓÏàÆ¬¿´Ã»ÓÐSiÏ࣬ÊÇ·ñÊDzÄÁϱ¾ÉíµÄÎÊÌâ»òÑõ»¯²ãûÓÐÄ¥µôµÄÎÊÌ⣬½¨ÒéÖØÐÂÖÆÑùÔÙ¿´

Õâ¸ö¸Ð¾õÑõ»¯²ã¿Ï¶¨Ä¥µôÁË£¬ÒѾ­¾ö¶¨ÄÃÈ¥×ö³É·Ö²âÊÔÁË£¬¡£Ð»Ð»
13Â¥2013-08-28 09:17:57
ÒÑÔÄ   »Ø¸´´ËÂ¥   ¹Ø×¢TA ¸øTA·¢ÏûÏ¢ ËÍTAºì»¨ TAµÄ»ØÌû

ÇàÇàdeÑò

Ìú¸Ëľ³æ (ÖøÃûдÊÖ)


ÒýÓûØÌû:
2Â¥: Originally posted by ÍõÁî111 at 2013-08-22 09:03:51
¼ì²âϲÄÁϳɷ֣¬³õ¾§¹è²»¸¯Ê´Ò²ÊÇ¿ÉÒÔ¿´³öÀ´µÄ

ÄãºÃ£¬ÎÒÒѾ­²â¶¨Á˳ɷ֣¬·¢ÏÖSiº¬Á¿Ö»ÓÐ0.7%£¬ÕâÃ÷ÏÔ²»Êǵġ£ÎÒÎÊÏÂÄãÓùý¹ý¹²¾§AlSiºÏ½ðÂð£¿ÄãÊÇÖ±½ÓÂòµÄ»¹ÊÇ×Ô¼ºÓô¿ÂÁºÍ´¿¹è×Ô¼ºÅäÁ¶µÄ£¿Ð»Ð»
15Â¥2013-09-12 10:57:34
ÒÑÔÄ   »Ø¸´´ËÂ¥   ¹Ø×¢TA ¸øTA·¢ÏûÏ¢ ËÍTAºì»¨ TAµÄ»ØÌû

ÇàÇàdeÑò

Ìú¸Ëľ³æ (ÖøÃûдÊÖ)


ÒýÓûØÌû:
12Â¥: Originally posted by zhang6888 at 2013-08-27 17:33:19
½ö´ÓÏàÆ¬¿´Ã»ÓÐSiÏ࣬ÊÇ·ñÊDzÄÁϱ¾ÉíµÄÎÊÌâ»òÑõ»¯²ãûÓÐÄ¥µôµÄÎÊÌ⣬½¨ÒéÖØÐÂÖÆÑùÔÙ¿´

ÄãºÃ£¬ÎÒÒѾ­²â¶¨Á˳ɷ֣¬·¢ÏÖSiº¬Á¿Ö»ÓÐ0.7%£¬ÕâÃ÷ÏÔ²»Êǵġ£ÎÒÎÊÏÂÄãÓùý¹ý¹²¾§AlSiºÏ½ðÂð£¿ÄãÊÇÖ±½ÓÂòµÄ»¹ÊÇ×Ô¼ºÓô¿ÂÁºÍ´¿¹è×Ô¼ºÅäÁ¶µÄ£¿
16Â¥2013-09-12 10:58:38
ÒÑÔÄ   »Ø¸´´ËÂ¥   ¹Ø×¢TA ¸øTA·¢ÏûÏ¢ ËÍTAºì»¨ TAµÄ»ØÌû

gooloo_xs

Ìú¸Ëľ³æ (ÖøÃûдÊÖ)


¡ï
Сľ³æ: ½ð±Ò+0.5, ¸ø¸öºì°ü£¬Ð»Ð»»ØÌû
ÒýÓûØÌû:
16Â¥: Originally posted by ÇàÇàdeÑò at 2013-09-12 10:58:38
ÄãºÃ£¬ÎÒÒѾ­²â¶¨Á˳ɷ֣¬·¢ÏÖSiº¬Á¿Ö»ÓÐ0.7%£¬ÕâÃ÷ÏÔ²»Êǵġ£ÎÒÎÊÏÂÄãÓùý¹ý¹²¾§AlSiºÏ½ðÂð£¿ÄãÊÇÖ±½ÓÂòµÄ»¹ÊÇ×Ô¼ºÓô¿ÂÁºÍ´¿¹è×Ô¼ºÅäÁ¶µÄ£¿...

´ó²¿·ÖÊǹºÂòµÄ£¬Êг¡Éϳ£ÓÃ12%º¬Á¿µÄ£¬20%º¬Á¿µÄÐèÒªÔ¤¶¨¡£

[ ·¢×ÔСľ³æ¿Í»§¶Ë ]
17Â¥2013-09-12 14:05:30
ÒÑÔÄ   »Ø¸´´ËÂ¥   ¹Ø×¢TA ¸øTA·¢ÏûÏ¢ ËÍTAºì»¨ TAµÄ»ØÌû

ÇàÇàdeÑò

Ìú¸Ëľ³æ (ÖøÃûдÊÖ)


ÒýÓûØÌû:
17Â¥: Originally posted by gooloo_xs at 2013-09-12 14:05:30
´ó²¿·ÖÊǹºÂòµÄ£¬Êг¡Éϳ£ÓÃ12%º¬Á¿µÄ£¬20%º¬Á¿µÄÐèÒªÔ¤¶¨¡£
...

×öʵÑéÓõÄÁ¿ÉÙ£¬Ò»°ã¹«Ë¾²»»á½ÓÕâôСµÄ¶©µ¥µÄ£¬ÇëÎÊÄãÄÇÓÐûÓбȽϰ®¿¿Æ×µÄÁªÏµ¹«Ë¾ÄØ£¿Ç°Ò»¶Îʱ¼äÎÒÂòÁËÒ»µã£¬½á¹û¸ù±¾²»¶Ô¡£
18Â¥2013-09-13 08:40:50
ÒÑÔÄ   »Ø¸´´ËÂ¥   ¹Ø×¢TA ¸øTA·¢ÏûÏ¢ ËÍTAºì»¨ TAµÄ»ØÌû

gooloo_xs

Ìú¸Ëľ³æ (ÖøÃûдÊÖ)


¡ï
Сľ³æ: ½ð±Ò+0.5, ¸ø¸öºì°ü£¬Ð»Ð»»ØÌû
ÒýÓûØÌû:
18Â¥: Originally posted by ÇàÇàdeÑò at 2013-09-13 08:40:50
×öʵÑéÓõÄÁ¿ÉÙ£¬Ò»°ã¹«Ë¾²»»á½ÓÕâôСµÄ¶©µ¥µÄ£¬ÇëÎÊÄãÄÇÓÐûÓбȽϰ®¿¿Æ×µÄÁªÏµ¹«Ë¾ÄØ£¿Ç°Ò»¶Îʱ¼äÎÒÂòÁËÒ»µã£¬½á¹û¸ù±¾²»¶Ô¡£...

²»ÖªµÀÄãÐèÒª¶àÉÙÄØ£¿

[ ·¢×ÔСľ³æ¿Í»§¶Ë ]
19Â¥2013-09-13 08:55:34
ÒÑÔÄ   »Ø¸´´ËÂ¥   ¹Ø×¢TA ¸øTA·¢ÏûÏ¢ ËÍTAºì»¨ TAµÄ»ØÌû

ÇàÇàdeÑò

Ìú¸Ëľ³æ (ÖøÃûдÊÖ)


ÒýÓûØÌû:
19Â¥: Originally posted by gooloo_xs at 2013-09-13 08:55:34
²»ÖªµÀÄãÐèÒª¶àÉÙÄØ£¿
...

5¹«½ï×óÓÒ°É£¬Ð»Ð»
20Â¥2013-09-13 10:50:34
ÒÑÔÄ   »Ø¸´´ËÂ¥   ¹Ø×¢TA ¸øTA·¢ÏûÏ¢ ËÍTAºì»¨ TAµÄ»ØÌû

ÇàÇàdeÑò

Ìú¸Ëľ³æ (ÖøÃûдÊÖ)


ÒýÓûØÌû:
19Â¥: Originally posted by gooloo_xs at 2013-09-13 08:55:34
²»ÖªµÀÄãÐèÒª¶àÉÙÄØ£¿
...

¶àлҲûÎÊÌ⣬ÔÚ10kgÖ®ÄÚ°É£¬
21Â¥2013-09-13 10:51:12
ÒÑÔÄ   »Ø¸´´ËÂ¥   ¹Ø×¢TA ¸øTA·¢ÏûÏ¢ ËÍTAºì»¨ TAµÄ»ØÌû

gooloo_xs

Ìú¸Ëľ³æ (ÖøÃûдÊÖ)


¡ï
Сľ³æ: ½ð±Ò+0.5, ¸ø¸öºì°ü£¬Ð»Ð»»ØÌû
ÒýÓûØÌû:
21Â¥: Originally posted by ÇàÇàdeÑò at 2013-09-13 10:51:12
¶àлҲûÎÊÌ⣬ÔÚ10kgÖ®ÄÚ°É£¬...

ÎÒÓÐ12%º¬Á¿µÄ£¬²»¹ýÒ²Óнᾧ¹è£¬ÓÐÌõ¼þÄã¿ÉÒÔ×Ô¼ºµ÷ÖÆ³É20%¡£¸øÎÒÒ»¸öµØÖ·£¬·¢Ò»µã¸øÄã×öʵÑé°É¡£

[ ·¢×ÔСľ³æ¿Í»§¶Ë ]
22Â¥2013-09-13 11:07:04
ÒÑÔÄ   »Ø¸´´ËÂ¥   ¹Ø×¢TA ¸øTA·¢ÏûÏ¢ ËÍTAºì»¨ TAµÄ»ØÌû
¼òµ¥»Ø¸´
2013-08-28 09:18   »Ø¸´  
ÒýÓûØÌû:
11Â¥: Originally posted by hoolgoo at 2013-08-27 12:53:48 ÊÔÑùÅ×¹âµÄ²»ºÃ

Ïà¹Ø°æ¿éÌø×ª ÎÒÒª¶©ÔÄÂ¥Ö÷ ÇàÇàdeÑò µÄÖ÷Ìâ¸üÐÂ
×î¾ßÈËÆøÈÈÌûÍÆ¼ö [²é¿´È«²¿] ×÷Õß »Ø/¿´ ×îºó·¢±í
[¿¼ÑÐ] »¯¹¤Ñ§Ë¶294·Ö£¬Çóµ¼Ê¦ÊÕÁô +32 yzyzx 2026-04-12 36/1800 2026-04-14 17:45 by lhj2009
[¿¼ÑÐ] 297£¬¹¤¿Æµ÷¼Á? +6 ºÓÄÏũҵ´óѧ-ÄÜ 2026-04-14 6/300 2026-04-14 16:04 by Art1977
[¿¼ÑÐ] 271Çóµ÷¼Á +35 2261744733 2026-04-11 41/2050 2026-04-14 15:36 by zs92450
[¿¼ÑÐ] Çóµ÷¼Á +20 MAXâê㯠2026-04-09 22/1100 2026-04-14 14:57 by ¶À×íÃι³Ç
[»ù½ðÉêÇë] RY£ºÖйú²ú³öµÄ¿ÆÑ§À¬»øÂÛÎÄ£¬¾ø¶ÔÊýÁ¿ºÍ±ÈÀý¶¼ÊÀ½çµÚÒ» +6 zju2000 2026-04-14 17/850 2026-04-14 14:34 by jurkat.1640
[¿¼ÑÐ] Çóµ÷¼Á +3 ÎÒ°®¸ßÊý¸ßÊý°®Î 2026-04-12 3/150 2026-04-14 01:00 by Íõ¬Bè±
[»ù½ðÉêÇë] 2026 WRÇà°Î +3 ¶¬ÈÕÑô¹âCAS 2026-04-09 6/300 2026-04-13 18:40 by liuchb715
[¿¼ÑÐ] һ־Ը˫·Ç085400µç×ÓÐÅÏ¢344 Çóµ÷¼Á£¬¶Ô²ÄÁϺͻ¯Ñ§·½ÏòÒ²¸ÐÐËȤ +12 ÎÞÇéµÄСÑò 2026-04-09 13/650 2026-04-13 14:17 by ÕÅzhihao
[¿¼ÑÐ] ÉúÎïѧµ÷¼Á£¬Ò»Ö¾Ô¸Î÷ÄÏ´óѧ348£¬TopÆÚ¿¯Ò»Çø¶þ×÷¡¢¶þÇøÈý×÷£¬ÈýµÈ½±Ñ§½ðÈý´Î +5 candyyyi 2026-04-09 5/250 2026-04-13 09:02 by ¿Éµ­²»¿ÉÍü
[¿¼ÑÐ] Ò»Ö¾Ô¸Õã´óÉúÎï325·ÖÇóµ÷¼Á +9 zysheng 2026-04-12 9/450 2026-04-12 22:31 by yuyin1233
[¿¼ÑÐ] 344 ²ÄÁÏרҵ Çóµ÷¼Á211 ÎÞµØÓòÒªÇó +8 hualkop 2026-04-11 8/400 2026-04-12 22:24 by fqwang
[¿¼ÑÐ] µç×ÓÐÅÏ¢279Çóµ÷¼Á£¬ÓÐÊé¶Á¾ÍÐÐ +8 wwwooden 2026-04-08 11/550 2026-04-11 20:22 by cq2548
[¿¼ÑÐ] 085410 273·Öµ÷¼Á +4 X1999 2026-04-09 4/200 2026-04-11 13:05 by pies112
[¿¼ÑÐ] ũѧ0904 312Çóµ÷¼Á +6 Say Never 2026-04-10 6/300 2026-04-11 10:33 by wwj2530616
[¿¼ÑÐ] 368Çóµ÷¼Á +3 17385968172 2026-04-10 3/150 2026-04-10 20:12 by µç×Ӱµ±ë
[¿¼ÑÐ] 301Çóµ÷¼Á +5 149. 2026-04-10 5/250 2026-04-10 15:45 by ²ñС°×
[¿¼ÑÐ] 085601³õÊÔ330·ÖÕÒµ÷¼Á +10 Á÷ÐÄÄ̻ưül 2026-04-09 10/500 2026-04-10 08:14 by Sammy2
[¿¼ÑÐ] 314Çóµ÷¼Á +14 weltZeng 2026-04-09 14/700 2026-04-09 23:14 by wolf97
[¿¼ÑÐ] 070300»¯Ñ§ Çóµ÷¼Á +13 73372112 2026-04-08 13/650 2026-04-09 20:22 by maddjdld
[¿¼ÑÐ] 296Çóµ÷¼Á +3 Íô£¡£¿£¡ 2026-04-08 3/150 2026-04-08 22:00 by zhouyuwinner
ÐÅÏ¢Ìáʾ
ÇëÌî´¦ÀíÒâ¼û