| 查看: 1089 | 回复: 3 | |
[求助]
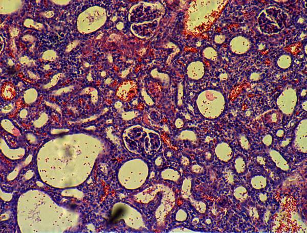
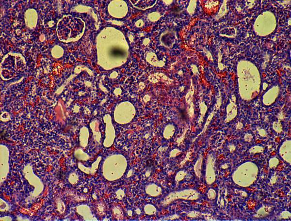
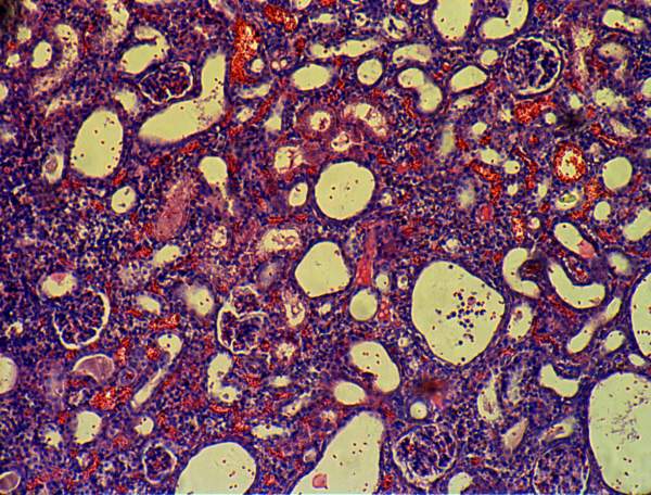
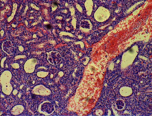
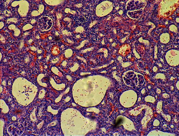
间质性肾炎切片观察
|
|
|
|
|
|
2楼2013-08-21 21:37:56
|
|
|
3楼2013-08-29 17:40:15
|
|
|
4楼2014-01-19 14:53:49
|
|














回复此楼