版块导航
正在加载中...
客户端APP下载
论文辅导
申博辅导
登录
注册
帖子
帖子
用户
本版
应《网络安全法》要求,自2017年10月1日起,未进行实名认证将不得使用互联网跟帖服务。为保障您的帐号能够正常使用,请尽快对帐号进行手机号验证,感谢您的理解与支持!
24小时热门版块排行榜
>
论坛更新日志
(3177)
>
虫友互识
(291)
>
文献求助
(194)
>
导师招生
(164)
>
休闲灌水
(60)
>
硕博家园
(59)
>
考博
(38)
>
博后之家
(33)
>
基金申请
(32)
>
绿色求助(高悬赏)
(30)
>
论文道贺祈福
(28)
>
招聘信息布告栏
(27)
>
教师之家
(20)
>
考研
(18)
>
找工作
(15)
>
论文投稿
(15)
小木虫论坛-学术科研互动平台
»
生物医药区
»
生物科学
»
细胞科学
»
动物细胞培养问题
7
1/1
返回列表
查看: 993 | 回复: 6
只看楼主
@他人
存档
新回复提醒
(忽略)
收藏
在APP中查看
pyq2011
金虫
(小有名气)
应助: 0
(幼儿园)
金币: 627.6
帖子: 293
在线: 51.5小时
虫号: 2305716
注册: 2013-02-28
专业: 免疫生物学
[
求助
]
动物细胞培养问题
已有1人参与
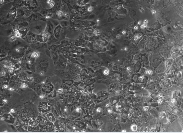
细胞培养到5天左右,细胞里面出现黑色是什么原因?
细胞.jpg
回复此楼
» 猜你喜欢
酰胺脱乙酰基
已经有11人回复
同年申请2项不同项目,第1个项目里不写第2个项目的信息,可以吗
已经有4人回复
有时候真觉得大城市人没有县城人甚至个体户幸福
已经有10人回复
天津大学招2026.09的博士生,欢迎大家推荐交流(博导是本人)
已经有5人回复
有院领导为了换新车,用横向课题经费买了俩车
已经有5人回复
CSC & MSCA 博洛尼亚大学能源材料课题组博士/博士后招生|MSCA经费充足、排名优
已经有6人回复
面上项目申报
已经有3人回复
博士延得我,科研能力直往上蹿
已经有7人回复
面上基金申报没有其他的参与者成吗
已经有5人回复
遇见不省心的家人很难过
已经有22人回复
» 本主题相关价值贴推荐,对您同样有帮助:
动物细胞培养:基本技术指南(第六版)-英文版
已经有219人回复
mcf7细胞处理问题
已经有3人回复
细胞刚复苏 加培养基后出现浑浊
已经有9人回复
细胞培养液变紫色,澄清,有气味,细胞长得慢
已经有3人回复
细胞培养用动物活组织的长途运输
已经有5人回复
软体动物细胞原代培养,增殖缓慢问题
已经有21人回复
求助各位虫友,如何获得动物细胞悬浮液
已经有6人回复
细胞污染,小蝌蚪一样的布朗运动生物污染
已经有15人回复
人原代肝细胞培养
已经有20人回复
关于动物细胞体外培养的问题
已经有4人回复
细胞培养总是发现有不少漂浮物
已经有32人回复
上皮细胞培养指南》电子版
已经有5人回复
动物细胞的培养是不是需要严格的无菌操作
已经有10人回复
动物细胞培养方面的书
已经有3人回复
细胞培养求助
已经有5人回复
实验室有个房间是养细菌的 可以改成养动物细胞吗
已经有9人回复
【求助/交流】细胞培养中漂浮物问题
已经有10人回复
【求助/交流】细胞培养的培养瓶盖打开后放置,盖口朝上还是朝下?
已经有10人回复
【求助】如何建立动物细胞大规模培养公共技术平台
已经有5人回复
【求助/交流】有没有做动物细胞培养的朋友进来给给建议
已经有11人回复
【求助/交流】动物细胞培养
已经有10人回复
【求助/交流】过滤除菌的问题
已经有21人回复
海阔凭鱼跃,天高任鸟飞
1楼
2013-08-05 17:01:31
已阅
回复此楼
关注TA
给TA发消息
送TA红花
TA的回帖
小毛孩24
专家顾问
(职业作家)
专家经验: +383
BioEPI: 1
应助: 501
(博士)
贵宾: 0.029
金币: 1459.6
散金: 15124
红花: 75
帖子: 4433
在线: 782.9小时
虫号: 1230465
注册: 2011-03-12
专业: 食品科学基础
管辖:
食品
【答案】应助回帖
感谢参与,应助指数 +1
这也太黑了,看不清...
是磷酸盐沉淀吗?
传代试试还有吗?
赞
一下
回复此楼
2楼
2013-08-05 19:25:50
已阅
回复此楼
关注TA
给TA发消息
送TA红花
TA的回帖
sxxuan
金虫
(著名写手)
BioEPI: 3
应助: 107
(高中生)
金币: 3442.4
散金: 104
红花: 17
帖子: 1478
在线: 266.1小时
虫号: 512865
注册: 2008-02-27
性别:
MM
专业: 生物化学
【答案】应助回帖
感谢参与,应助指数 +1
可能是细胞状态不好,或者是次生代谢物
赞
一下
回复此楼
你的日子如何,你的力量也必如何!
3楼
2013-08-06 09:06:18
已阅
回复此楼
关注TA
给TA发消息
送TA红花
TA的回帖
suchcoo
木虫
(小有名气)
应助: 1
(幼儿园)
金币: 1501
散金: 10
帖子: 151
在线: 171.1小时
虫号: 2024712
注册: 2012-09-24
性别: GG
专业: 光学
【答案】应助回帖
感谢参与,应助指数 +1
1.是否为细胞碎片?之前遇到过这样的情况:HepG2细胞在传代时消化了5分钟,结果长出来的细胞不好,有很多黑色碎片,后缩短了消化时间,细胞状态好转,碎片也较少。
2.细胞是否污染?不知道你有没有加双抗,如果污染了,一段时间后培养基会变浑浊。
赞
一下
回复此楼
凡事得靠自己
4楼
2013-08-06 16:03:14
已阅
回复此楼
关注TA
给TA发消息
送TA红花
TA的回帖
pyq2011
金虫
(小有名气)
应助: 0
(幼儿园)
金币: 627.6
帖子: 293
在线: 51.5小时
虫号: 2305716
注册: 2013-02-28
专业: 免疫生物学
引用回帖:
4楼
:
Originally posted by
suchcoo
at 2013-08-06 16:03:14
1.是否为细胞碎片?之前遇到过这样的情况:HepG2细胞在传代时消化了5分钟,结果长出来的细胞不好,有很多黑色碎片,后缩短了消化时间,细胞状态好转,碎片也较少。
2.细胞是否污染?不知道你有没有加双抗,如果污染 ...
这个是原代细胞,加双抗了培养就也没有浑浊。就是细胞里面有黑的东西。
赞
一下
回复此楼
海阔凭鱼跃,天高任鸟飞
5楼
2013-08-06 21:16:42
已阅
回复此楼
关注TA
给TA发消息
送TA红花
TA的回帖
奈何桥孤魂
新虫
(初入文坛)
本帖内容被屏蔽
6楼
2013-08-07 14:19:00
已阅
回复此楼
关注TA
给TA发消息
送TA红花
TA的回帖
elio266
至尊木虫
(著名写手)
应助: 5
(幼儿园)
金币: 17428
散金: 3039
红花: 24
帖子: 2482
在线: 79.6小时
虫号: 2533522
注册: 2013-07-05
性别: GG
专业: 消化与呼吸系统药物药理
【答案】应助回帖
是不是支原体污染了?有木有出现死亡的情况?
赞
一下
回复此楼
不怕万人阻挡,只怕自己投降
7楼
2014-02-13 22:29:43
已阅
回复此楼
关注TA
给TA发消息
送TA红花
TA的回帖
相关版块跳转
新药研发
药学
药品生产
分子生物
微生物
动植物
生物科学
医学
我要订阅楼主
pyq2011
的主题更新
7
1/1
返回列表
如果回帖内容含有宣传信息,请如实选中。否则帐号将被全论坛禁言
普通表情
龙
兔
虎
猫
百度网盘
|
360云盘
|
千易网盘
|
华为网盘
在新窗口页面中打开自己喜欢的网盘网站,将文件上传后,然后将下载链接复制到帖子内容中就可以了。
信息提示
关闭
请填处理意见
关闭
确定