| 查看: 547 | 回复: 3 | ||
[交流]
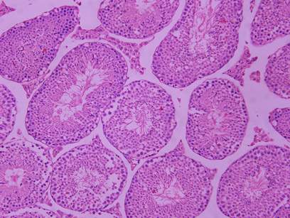
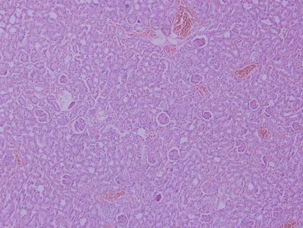
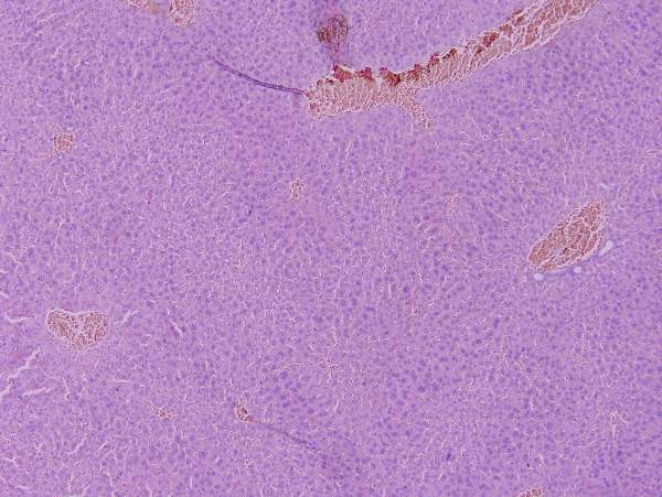
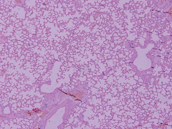
谁能帮忙看一下这几张组织的片子有什么病变没有 已有3人参与
|
» 本主题相关价值贴推荐,对您同样有帮助:
HeLa细胞状态
已经有5人回复
一个无机物的DSC图谱,请帮忙看看
已经有2人回复
有谁能帮忙分析一下这张氧化石墨GO的AFM图吗?感激不尽!没几天就答辩了~急啊
已经有11人回复
【原创】Hello,Tokyo (二,亲历地震,告别东京)
已经有49人回复
First week in New York(To be continued......)
已经有36人回复
2楼2013-12-27 13:45:45
3楼2013-12-27 19:24:06
★
小木虫: 金币+0.5, 给个红包,谢谢回帖
小木虫: 金币+0.5, 给个红包,谢谢回帖
|
本帖内容被屏蔽 |
4楼2013-12-29 19:25:56













回复此楼