| 查看: 1267 | 回复: 4 | ||
[求助]
细胞免疫组化染色的问题
|
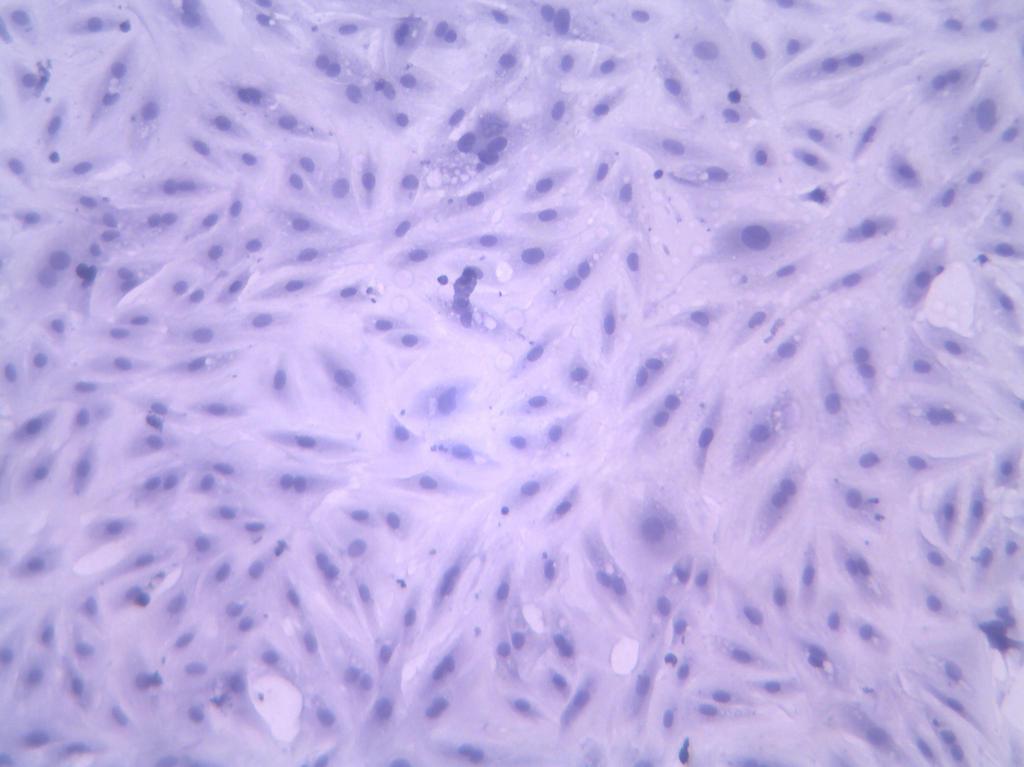
求助,本人免疫组化的新手。。。目前我在做血管平滑肌细胞的免疫组化实验,要检测的是某个受体蛋白的表达。几次实验都是显色、染色不成功,感觉都只是染上了细胞核,没有染上特异性的蛋白部分,PS:我的蛋白应该是跨膜蛋白。PPS:为什么我经过苏木素复染之后就是一片紫啊。。。。![]() ![]() ![]() 8.jpg |
» 猜你喜欢
不合理蛙科研实验中的趣事:实验器材的 “乌龙”
已经有0人回复
不合理蛙科研实验中的趣事:和实验材料的 “斗智斗勇”
已经有0人回复
化学工程及工业化学论文润色/翻译怎么收费?
已经有163人回复
蛋白质检测:精准分析,解锁生物分子的密码
已经有0人回复
不合理蛙科研实验之小鼠实验:严谨设计,解析生命机制的重要载体
已经有0人回复
不合理蛙科研实验之重金属检测:精准筛查,守护健康与环境的防线
已经有0人回复
不合理蛙科研实验之“蛙测重金属我背锅三千”
已经有0人回复
不合理蛙科研实验之“鼠逃三次我发三篇SCI”
已经有0人回复
纳米粒度分析
已经有3人回复
林科院林化所招收材料与化工专业硕士,坐标南京
已经有0人回复
» 本主题相关价值贴推荐,对您同样有帮助:
发现一种新的对细胞核染色的纳米颗粒染料,有很大的意义吗?
已经有6人回复
细胞死亡染色材料
已经有7人回复
激光共聚焦显微镜观察微生物菌落具体怎么操作?
已经有11人回复
FDA染色前需要固定细胞吗
已经有5人回复
细胞活性检测,OD CFU or流式细胞仪,or染色
已经有4人回复
免疫组化染色机什么牌子的比较好
已经有1人回复
【求助】细胞荧光成像方法或细胞染色技术
已经有15人回复
【分享】细胞爬片全过程经验总结
已经有27人回复
【求助】怎样对材料上的细胞做荧光染色
已经有7人回复
2楼2013-04-23 16:38:08
senix
木虫 (小有名气)
- 应助: 32 (小学生)
- 金币: 5122.1
- 散金: 200
- 红花: 1
- 帖子: 66
- 在线: 278.8小时
- 虫号: 330877
- 注册: 2007-03-24
- 性别: GG
- 专业: 免疫生物学

3楼2013-04-23 16:39:57
4楼2013-04-24 12:14:01
5楼2013-10-20 11:04:34














回复此楼