| 查看: 516 | 回复: 4 | |||
暖麦木虫 (正式写手)
|
[求助]
求教高人~这两张照片哪个损伤更严重?
|
|
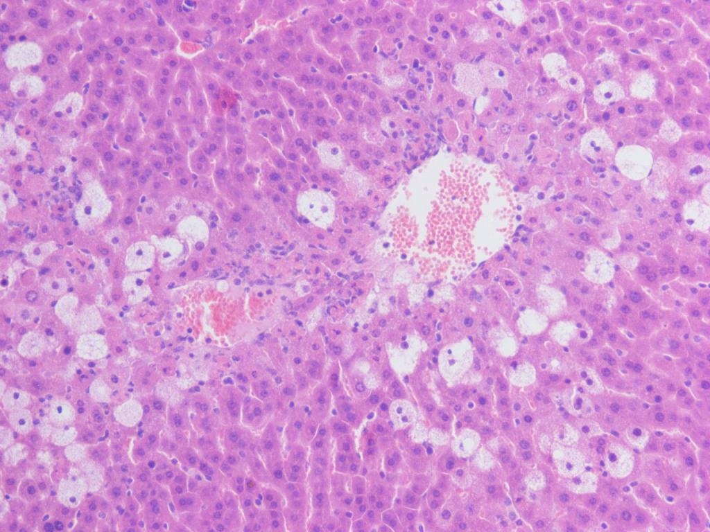
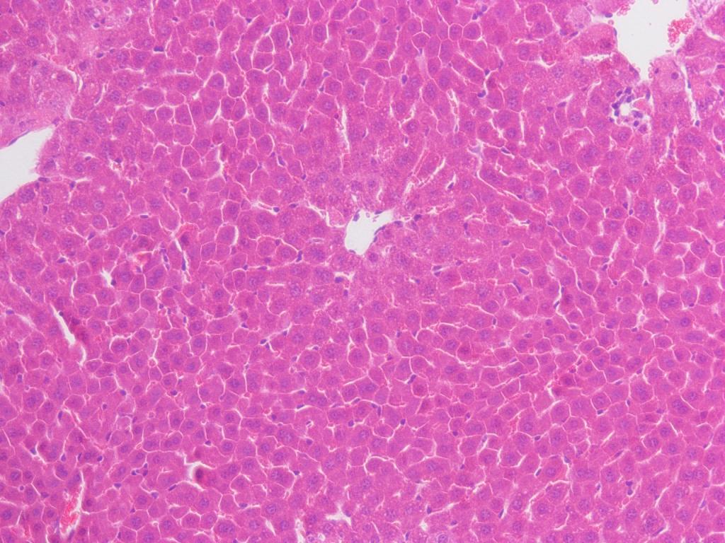
请问高人,肝脏损伤是先发生气球样肿胀,还是先紊乱? 我的这两张照片,哪个的损伤更严重? 第二张照片,气球样肿胀细胞周围有的细胞看上去是正常的,感觉像细胞受到损伤了但是在自行修复中。这个要怎么解释? 跪求高人帮我分析这两张照片!谢谢! 金币不够会追加! 2号 200-2.JPG A2 200-1.jpg [ Last edited by 暖麦 on 2013-2-5 at 17:01 ] |
» 猜你喜欢
存款400万可以在学校里躺平吗
已经有36人回复
英文综述是否需要润色及查重
已经有5人回复
救命帖
已经有5人回复
限项规定
已经有5人回复
为什么nbs上溴 没有产物点出现呢
已经有9人回复
招博士
已经有3人回复
最失望的一年
已经有18人回复
求推荐英文EI期刊
已经有5人回复
» 本主题相关价值贴推荐,对您同样有帮助:
C语言机试机试挂了两次怎么办?求教高人指点啊
已经有16人回复
为什么我的两张冲击前后的金相图片看不出差别啊?求教各位前辈
已经有14人回复
kk1424
主管区长 (著名写手)
中药研究者
-

专家经验: +2 - 应助: 249 (大学生)
- 贵宾: 7.37
- 金币: 23942.1
- 散金: 14951
- 红花: 536
- 沙发: 16
- 帖子: 2400
- 在线: 6150.6小时
- 虫号: 1325536
- 注册: 2011-06-17
- 性别: GG
- 专业: 药物毒理
- 管辖: 生物医药区

2楼2013-02-07 19:01:44
暖麦
木虫 (正式写手)
- 应助: 1 (幼儿园)
- 金币: 1553.8
- 散金: 147
- 红花: 2
- 帖子: 302
- 在线: 84.1小时
- 虫号: 1281991
- 注册: 2011-04-30
- 性别: MM
- 专业: 抗肿瘤药物药理
3楼2013-02-08 12:28:37
mlanqiang
木虫之王 (文学泰斗)
蓝博士
- 应助: 3409 (副教授)
- 金币: 55278.8
- 散金: 5498
- 红花: 62
- 帖子: 73916
- 在线: 730.8小时
- 虫号: 302202
- 注册: 2006-12-02
- 性别: GG
- 专业: 胶体与界面化学

4楼2013-02-08 16:01:26
暖麦
木虫 (正式写手)
- 应助: 1 (幼儿园)
- 金币: 1553.8
- 散金: 147
- 红花: 2
- 帖子: 302
- 在线: 84.1小时
- 虫号: 1281991
- 注册: 2011-04-30
- 性别: MM
- 专业: 抗肿瘤药物药理
5楼2013-02-11 12:39:50













回复此楼