| ²é¿´: 1339 | »Ø¸´: 3 | |
ůÂóľ³æ (ÕýʽдÊÖ)
|
[ÇóÖú]
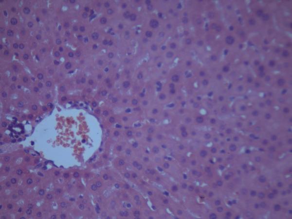
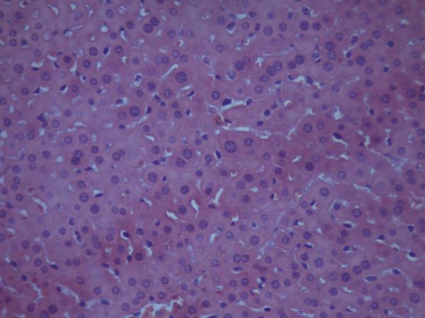
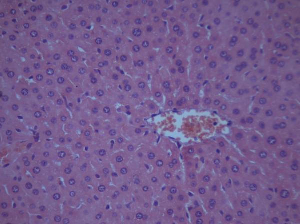
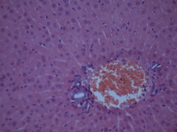
Çó¸ßÈ˰ïæ¿´Ð¡Êó¸ÎÔàÇÐÆ¬
|
|
|
|
²»Ï뵱ʵÑ鹷гæ (СÓÐÃûÆø)
|
|
|
2Â¥2017-02-18 22:12:56
|
|
ericĬгæ (СÓÐÃûÆø)
|
|
|
3Â¥2017-02-19 16:45:31
|
|
junifranгæ (СÓÐÃûÆø)
|
|
|
4Â¥2017-02-21 13:29:17
|
|














»Ø¸´´ËÂ¥