| ²é¿´: 1475 | »Ø¸´: 9 | |
yanglookÌú³æ (³õÈëÎÄ̳)
|
[ÇóÖú]
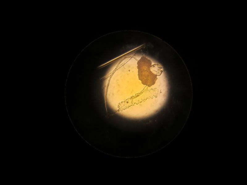
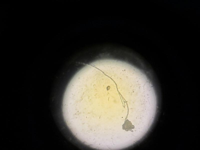
²ËÄñÇóÖú--Õæ¾úÐÎ̬¼ø¶¨
|
|
|
|
yanglookÌú³æ (³õÈëÎÄ̳)
|
|
|
2Â¥2012-05-19 10:48:41
|
|
xxnly½ð³æ (СÓÐÃûÆø)
|
|
![]() |
|
|
3Â¥2012-05-19 22:08:41
|
|
l68266152Òø³æ (СÓÐÃûÆø)
|
|
![]() |
|
|
4Â¥2012-05-20 10:35:00
|
|
yanglookÌú³æ (³õÈëÎÄ̳)
|
|
|
5Â¥2012-05-20 23:49:29
|
|
edcfͳæ (СÓÐÃûÆø)
|
|
|
6Â¥2012-05-21 11:23:05
|
|
yanglookÌú³æ (³õÈëÎÄ̳)
|
|
|
7Â¥2012-05-21 13:40:32
|
|
edcfͳæ (СÓÐÃûÆø)
|
|
|
8Â¥2012-05-22 12:22:59
|
|
edcfͳæ (СÓÐÃûÆø)
|
|
|
9Â¥2012-05-22 12:23:15
|
|
yanglookÌú³æ (³õÈëÎÄ̳)
|
|
|
10Â¥2012-05-24 13:46:33
|
|















»Ø¸´´ËÂ¥
