| 查看: 726 | 回复: 1 | ||
[求助]
求助革兰氏染色照片。
|
|
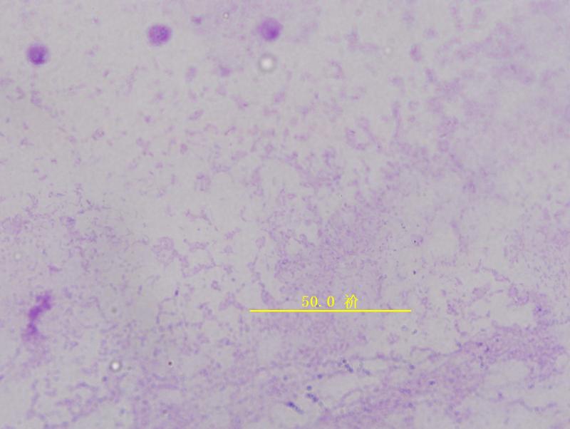
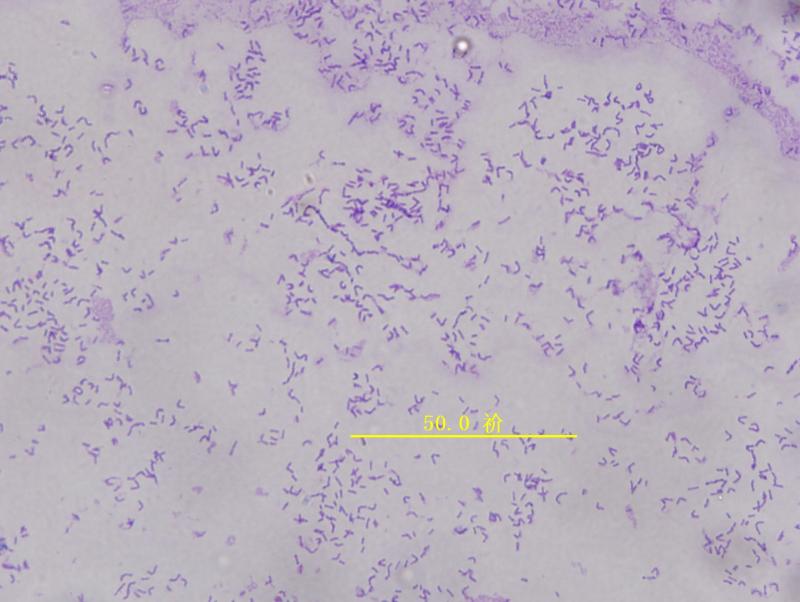
刚做了三种菌种的革兰氏染色照片。 求助做过的同学或专业的同学帮忙给看一下,三种分别是不是杆菌、球菌、螺旋菌。特别是第二种,不是很清楚(我觉得是不是球菌太小,放大倍数不够)。 奥林巴斯BX41,放大100倍观察 杆菌 球菌 螺旋菌 |
» 猜你喜欢
毕业7年+中级工程师,想考华工环科考研转岗!求问就业前景
已经有3人回复
中国科学院山西煤炭化学研究所环境科学/环境工程/水污染防治本科/硕士线上实习生
已经有23人回复
建筑环境与结构工程论文润色/翻译怎么收费?
已经有274人回复
浙江大学徐腾飞研究员招聘环境污染与健康、组学分析、生信、模拟计算等背景博士后
已经有6人回复
浙江大学徐腾飞研究员招聘环境科学、组学分析、生信、环境科学、模拟计算等背景博士后
已经有1人回复
浙江大学徐腾飞研究员招聘代谢组学、蛋白组学、生信、环境科学、模拟计算等背景博士后
已经有2人回复
小木虫经典文档分享
已经有1人回复
某地区砷污染地块工程项目案例分享
已经有0人回复
垃圾渗滤液深度处理实验报告
已经有1人回复
法国巴黎地球物理研究所remi marsac研究员招环境地学类CSC博士生
已经有1人回复
» 本主题相关价值贴推荐,对您同样有帮助:
革兰氏染色的染液贮存条件是什么?
已经有7人回复
菌种显微镜照片
已经有18人回复
求助:真菌常用的染色法
已经有6人回复
我用显微镜做革兰氏染色观察,关于油镜的问题。希望大家给我指正帮忙一下谢谢了
已经有21人回复
革兰氏染色剂 番红
已经有19人回复
求助DGGE染色问题
已经有20人回复
【求助/交流】关于革兰氏染色的问题。
已经有6人回复
【求助/交流】大家帮忙看一下这是什么菌
已经有55人回复
【求助/交流】微生物鉴别
已经有7人回复
【求助/交流】哪位高手帮我指点一下我在显微镜下照的菌种属哪一类?
已经有19人回复
【求助】怎样对材料上的细胞做荧光染色
已经有7人回复
【求助/交流】革兰氏染色问题....
已经有6人回复
2楼2012-04-13 10:41:13













回复此楼