| 查看: 3205 | 回复: 1 | ||
[求助]
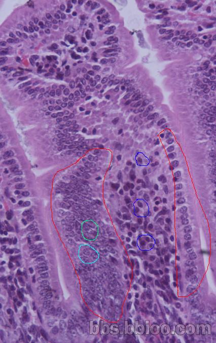
请大家帮忙观察下小肠组织切片 已有1人参与
|
||
|
|
||
bingwu125超级版主 |
|
|
|
2楼2013-12-23 15:33:20
|
|














回复此楼