±±¾©Ê¯ÓÍ»¯¹¤Ñ§Ôº2026ÄêÑо¿ÉúÕÐÉú½ÓÊÕµ÷¼Á¹«¸æ
²é¿´: 487  |  »Ø¸´: 2

ÒÀÈ»º£Ö®ÁÖ

гæ (³õÈëÎÄ̳)

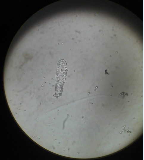
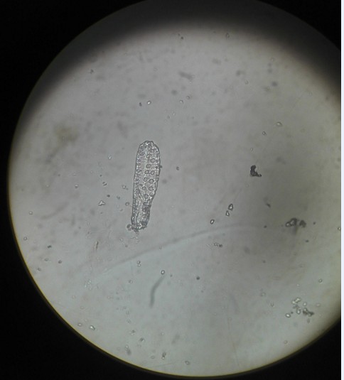
[ÇóÖú] CASS³Ø¾µ¼ìͼ£¬¹òÇóGG/MM°ïæʶ±ð~~

µÚÒ»´Î½Ó´¥»îÐÔÎÛÄྵ¼ì£¬¶ÔÏÔ΢¾µÏµÄС¶¯ÎïÃǶ¼²»ÊìϤ £¬¹òÇóÂÛ̳ÖеÄGG/MMÃǰïæ±æ±ð£¬Ð¡µÜ¼æ²ËÄñµÎÎÒÍò·Ö¸Ðл£¬¸Ð¼¤ÌéÁã~¹ò°Ý


ÎÛÄàÐÔ×´£¬ÕâÖÖÐÎ̬ËãºÃË㻵£¿£¿



ÉúÎïÖ®Ò»£¬½ÐºÎÃû£¿Ò»°ãºÎʱ³öÏÖ£¿



ÉúÎïÖ®¶þ£¬½ÐºÎÃû£¿Ò»°ãºÎʱ³öÏÖ£¿



ÉúÎïÖ®Èý£¬½ÐºÎÃû£¿Ò»°ãºÎʱ³öÏÖ£¿






ÉúÎïÖ®ËÄ£¬½ÐºÎÃû£¿Ò»°ãºÎʱ³öÏÖ£¿
»Ø¸´´ËÂ¥

» ²ÂÄãϲ»¶

» ±¾Ö÷ÌâÏà¹Ø¼ÛÖµÌùÍÆ¼ö£¬¶ÔÄúͬÑùÓаïÖú:

ÒÑÔÄ   »Ø¸´´ËÂ¥   ¹Ø×¢TA ¸øTA·¢ÏûÏ¢ ËÍTAºì»¨ TAµÄ»ØÌû

wildcat617

Í­³æ (³õÈëÎÄ̳)

¸ÕÅàÑøµÄÎÛÄàÂð?
2Â¥2012-05-15 20:13:21
ÒÑÔÄ   »Ø¸´´ËÂ¥   ¹Ø×¢TA ¸øTA·¢ÏûÏ¢ ËÍTAºì»¨ TAµÄ»ØÌû

yaobazhuang

Í­³æ (³õÈëÎÄ̳)

²»ÖªµÀÄãÓöàÉÙ±¶¿´µÄ£¬Ó¦¸ÃÊÇÄàÁ¿²»ËãÌ«¶à°É¡£µÚ¶þÕ¡¢ËÄÁùÕ¿´ÆðÀ´¸üÏñÏËά¡£
3Â¥2012-07-13 18:13:42
ÒÑÔÄ   »Ø¸´´ËÂ¥   ¹Ø×¢TA ¸øTA·¢ÏûÏ¢ ËÍTAºì»¨ TAµÄ»ØÌû
Ïà¹Ø°æ¿éÌø×ª ÎÒÒª¶©ÔÄÂ¥Ö÷ ÒÀÈ»º£Ö®ÁÖ µÄÖ÷Ìâ¸üÐÂ
×î¾ßÈËÆøÈÈÌûÍÆ¼ö [²é¿´È«²¿] ×÷Õß »Ø/¿´ ×îºó·¢±í
[¿¼ÑÐ] ÉúÎïѧ308·ÖÇóµ÷¼Á£¨Ò»Ö¾Ô¸»ª¶«Ê¦´ó£© +6 ÏàÐűػá¹ââÍòÕ 2026-03-31 7/350 2026-04-02 23:16 by JourneyLucky
[¿¼ÑÐ] 312Çóµ÷¼Á +3 ÉÞÔÂÉ« 2026-04-02 4/200 2026-04-02 21:50 by macy2011
[¿¼ÑÐ] µ÷¼Á +3 ºÃºÃ¶ÁÊé¡£ 2026-04-01 6/300 2026-04-02 15:49 by liumengping
[¿¼ÑÐ] Ò»Ö¾Ô¸±±¾©¿Æ¼¼´óѧ085601²ÄÁϹ¤³ÌÓ¢Ò»Êý¶þ³õÊÔ×Ü·Ö335Çóµ÷¼Á +8 Ë«ÂíβƦÀϰå2 2026-04-02 9/450 2026-04-02 14:45 by 5896
[¿¼ÑÐ] ÕÒµ÷¼Á +6 ³þÇÇÇÇ 2026-04-01 6/300 2026-04-02 12:06 by xiaoranmu
[¿¼ÑÐ] 292·Ö£¬²ÄÁÏÓ뻯¹¤£¬ÉêÇëµ÷¼Á +19 ³ÌÇçÖ® 2026-04-01 23/1150 2026-04-02 11:59 by ³ÌÇçÖ®
[¿¼ÑÐ] 289Çóµ÷¼Á +23 ÐÂʱ´ú²ÄÁÏ 2026-03-27 26/1300 2026-04-02 10:29 by oooqiao
[¿¼ÑÐ] 07ÉúÎïѧÇóµ÷¼Á һ־Ըͬ¼Ã´óѧ359·Ö +3 LAMC. 2026-03-30 3/150 2026-04-02 10:26 by 18828373951
[¿¼ÑÐ] 377Çóµ÷¼Á +3 RASKIN 2026-04-02 3/150 2026-04-02 09:45 by zzchen2000
[¿¼ÑÐ] Ò»Ö¾Ô¸Äϲý´óѧ324Çóµ÷¼Á +12 hanamiko 2026-03-27 12/600 2026-04-01 22:34 by ÔËÆøyunqi
[¿¼ÑÐ] ²ÄÁϵ÷¼Á +11 Ò»ÑùYWY 2026-03-31 11/550 2026-04-01 22:25 by zhouyuwinner
[¿¼ÑÐ] »·¾³¹¤³Ìµ÷¼Á +9 hyzzzzzzz. 2026-04-01 9/450 2026-04-01 14:20 by salamander`
[¿¼ÑÐ] Ò»Ö¾Ô¸»ªÄÏʦ·¶361·Ö£¬»¯Ñ§Çóµ÷¼Á +4 Nicole88888 2026-04-01 4/200 2026-04-01 10:08 by ÌÆãå¶ù
[¿¼ÑÐ] 0710ÉúÎïѧÇóµ÷¼Á£¡ +6 ÐðÊöÎÄ 2026-03-31 6/300 2026-04-01 09:39 by JourneyLucky
[¿¼ÑÐ] 289Çóµ÷¼Á +3 Acesczlo 2026-03-29 4/200 2026-03-31 14:48 by ÈÈÇéɳĮ
[¿¼ÑÐ] 085600 286·Ö ²ÄÁÏÇóµ÷¼Á +11 ÂéÀ±öÏÓã 2026-03-27 12/600 2026-03-30 19:33 by Wang200018
[¿¼ÑÐ] 085701Çóµ÷¼Á³õÊÔ286·Ö +5 secret0328 2026-03-28 5/250 2026-03-30 12:54 by fangnagu
[¿¼ÑÐ] ÊýÒ»Ó¢Ò»271ר˶£¨085401£©Çóµ÷¼Á£¬¿É¿ç +7 ǰÐбØÓйâ 2026-03-28 8/400 2026-03-28 23:22 by Сľ³ætim
[¿¼ÑÐ] 330Ò»Ö¾Ô¸Öйúº£Ñó´óѧ »¯Ñ§¹¤³Ì 085602 ÓжÁ²©ÒâÔ¸ Çóµ÷¼Á +3 wywy.. 2026-03-27 4/200 2026-03-28 03:32 by fmesaito
[¿¼ÑÐ] 298µ÷¼Á +3 jiyingjie123 2026-03-27 3/150 2026-03-27 11:57 by wxiongid
ÐÅÏ¢Ìáʾ
ÇëÌî´¦ÀíÒâ¼û