| 查看: 5649 | 回复: 16 | |||
[求助]
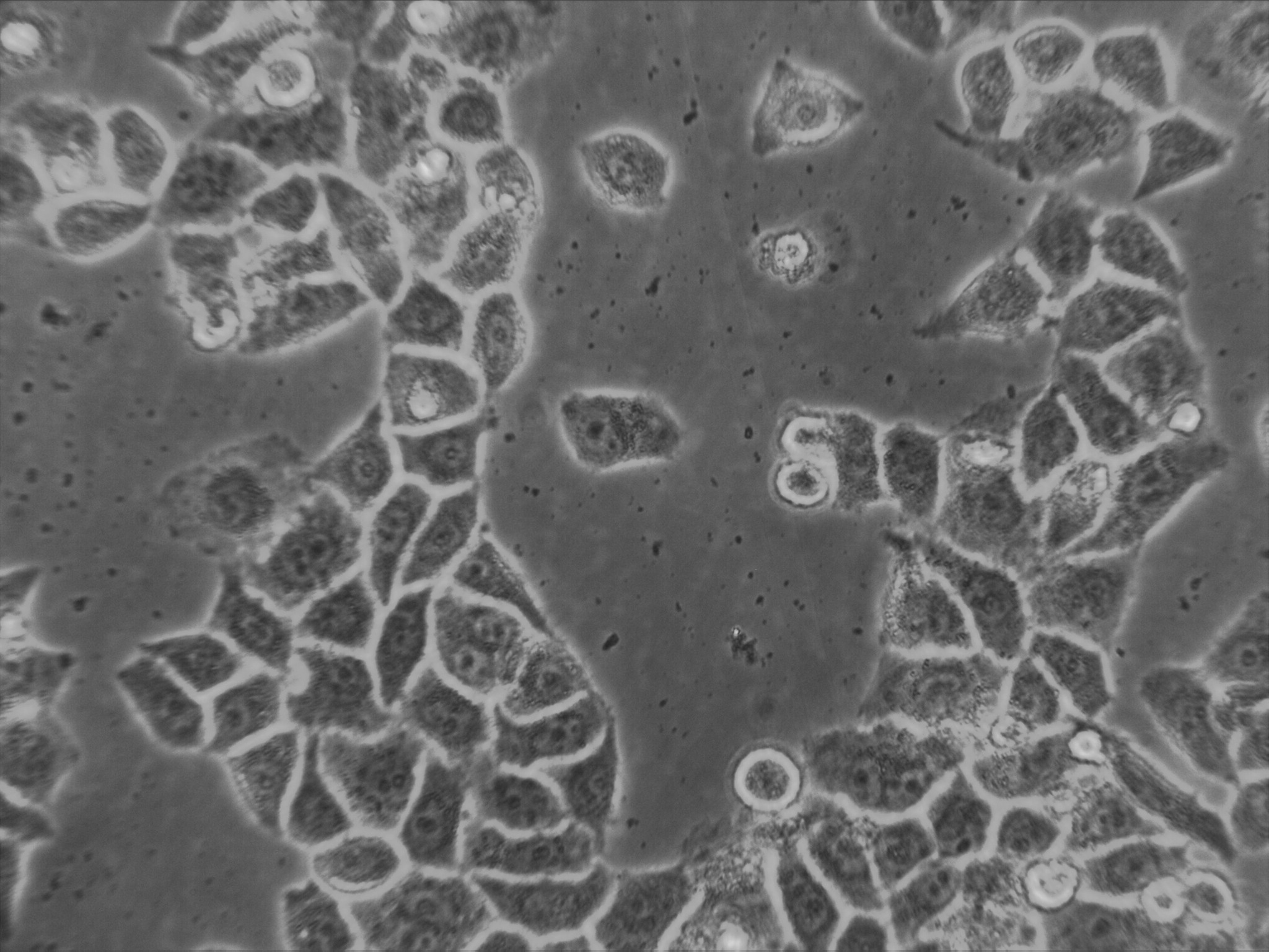
为什么HELA细胞养久了培养皿会出现黑点(有图)
|
喜欢的 | 细胞培养技术 |
» 猜你喜欢
278求调剂
已经有15人回复
284求调剂
已经有15人回复
293调剂
已经有16人回复
273求调剂
已经有45人回复
22408 266求调剂
已经有13人回复
266求调剂
已经有15人回复
一志愿华东理工085601材料工程303分求调剂
已经有9人回复
生物学328分求调剂
已经有4人回复
277求调剂
已经有6人回复
265求调剂
已经有21人回复
» 本主题相关价值贴推荐,对您同样有帮助:
关于构建细胞实验室的细节问题
已经有35人回复
金相图片上有很多小黑点是怎么回事
已经有59人回复
细胞为什么总染线状的菌啊
已经有8人回复
中科院青岛生物能源所生物基化学品团队招收化学化材料工专业联合培养研究生
已经有339人回复
流式细胞仪技术
已经有10人回复
博三申请联合培养需要提交毕业答辩延期证明吗?
已经有4人回复
关于细胞实验是否必须要除盐和蛋白质透析的问题
已经有11人回复
【求助/交流】为什么我的细胞上出现黑点
已经有7人回复
【求助/交流】谁养Hela细胞的啊,进来!!
已经有5人回复
laokei
金虫 (正式写手)
- BioEPI: 1
- 应助: 6 (幼儿园)
- 金币: 1358.8
- 红花: 8
- 帖子: 422
- 在线: 118.6小时
- 虫号: 178890
- 注册: 2006-02-07
- 性别: GG
- 专业: 细胞生物学研究中的新方法
2楼2011-12-14 15:18:46
mascotte
金虫 (正式写手)
- BioEPI: 2
- 应助: 10 (幼儿园)
- 金币: 1998.9
- 红花: 3
- 帖子: 328
- 在线: 193.4小时
- 虫号: 492008
- 注册: 2008-01-07
- 专业: 生物化学
3楼2011-12-14 15:33:34
silicare
荣誉版主 (文坛精英)
合伙创业版兼职版主
- BioEPI: 14
- 应助: 88 (初中生)
- 贵宾: 29.823
- 金币: 18946.3
- 散金: 24272
- 红花: 300
- 沙发: 88
- 帖子: 10222
- 在线: 1602.6小时
- 虫号: 948825
- 注册: 2010-01-26
- 专业: 摩尼教
- 管辖: 新药研发
4楼2011-12-14 18:46:22

5楼2011-12-14 22:52:29
世外清风
铁杆木虫 (职业作家)
- BioEPI: 1
- 应助: 63 (初中生)
- 贵宾: 0.082
- 金币: 8957.8
- 散金: 1169
- 红花: 12
- 帖子: 3145
- 在线: 873.9小时
- 虫号: 714541
- 注册: 2009-03-04
- 性别: GG
- 专业: 动物遗传学
6楼2011-12-16 12:33:37
linyingjia
至尊木虫 (职业作家)
- BioEPI: 3
- 应助: 105 (高中生)
- 贵宾: 0.139
- 金币: 24730.4
- 散金: 1
- 红花: 22
- 帖子: 3968
- 在线: 234.5小时
- 虫号: 668860
- 注册: 2008-12-05
- 性别: GG
- 专业: 细胞信号转导
7楼2011-12-16 13:28:33
8楼2011-12-16 15:39:45
9楼2011-12-16 16:15:08
380218013
金虫 (小有名气)
- 应助: 14 (小学生)
- 金币: 292.2
- 散金: 21
- 帖子: 267
- 在线: 50.3小时
- 虫号: 1185569
- 注册: 2011-01-07
- 性别: GG
- 专业: 生物大分子结构与功能

10楼2012-04-11 10:27:40














回复此楼
100