版块导航
正在加载中...
客户端APP下载
论文辅导
申博辅导
登录
注册
帖子
帖子
用户
本版
应《网络安全法》要求,自2017年10月1日起,未进行实名认证将不得使用互联网跟帖服务。为保障您的帐号能够正常使用,请尽快对帐号进行手机号验证,感谢您的理解与支持!
24小时热门版块排行榜
>
论坛更新日志
(997)
>
虫友互识
(75)
>
论文投稿
(37)
>
休闲灌水
(31)
>
导师招生
(13)
>
硕博家园
(11)
>
博后之家
(10)
>
考博
(9)
>
文献求助
(7)
>
公派出国
(7)
>
找工作
(6)
>
考研
(6)
>
基金申请
(5)
>
教师之家
(5)
>
论文道贺祈福
(4)
>
留学DIY
(3)
小木虫论坛-学术科研互动平台
»
生物医药区
»
生物科学
»
快来看快来瞧 我的细胞电镜照片~~
1
1/1
返回列表
查看: 2669 | 回复: 0
只看楼主
@他人
存档
新回复提醒
(忽略)
收藏
在APP中查看
zhengfan1109
银虫
(正式写手)
BioEPI: 2
应助: 0
(幼儿园)
金币: 1663.6
帖子: 602
在线: 309.3小时
虫号: 255973
[交流]
快来看快来瞧 我的细胞电镜照片~~
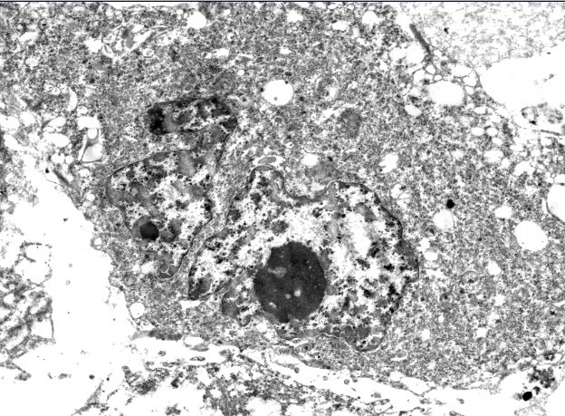
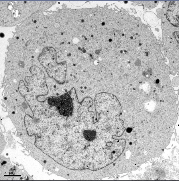
上传处理前和处理后的细胞照片,虫友们帮我看看处理后细胞成这样,都可能是什么原因啊?
处理前:
(不知道能不能直接贴图片啊,就是附件里面的未命名)
处理后:
(就是附件里面的未命名1)
处理后理论上不能有太大变化,这结果是不是因为没固定好?细胞凋亡?还是什么可能性?
请电镜图片分析高手指点。
回复此楼
» 收录本帖的淘帖专辑推荐
电镜表征
» 猜你喜欢
存款400万可以在学校里躺平吗
已经有15人回复
拟解决的关键科学问题还要不要写
已经有6人回复
Materials Today Chemistry审稿周期
已经有6人回复
基金委咋了?2026年的指南还没有出来?
已经有10人回复
基金申报
已经有6人回复
推荐一本书
已经有13人回复
国自然申请面上模板最新2026版出了吗?
已经有17人回复
纳米粒子粒径的测量
已经有8人回复
疑惑?
已经有5人回复
计算机、0854电子信息(085401-058412)调剂
已经有5人回复
高级回复
» 抢金币啦!回帖就可以得到:
查看全部散金贴
招收2026年春-申请考核博士生-仿生组装/生物能源方向
+
1
/176
26博士申请-药物化学方向
+
1
/77
哈尔滨工业大学王东博课题组/中科院上海微系统所梁丽娟课题组招收2026年博士生1名
+
1
/72
西南大学化学化工学院彭云贵教授课题组招有机化学博士研究生
+
2
/62
【教授本人】南佛罗里达大学化学系刘文奇课题组 2026 Fall 招收有机/超分子方向博士生
+
1
/50
【教授本人】南佛罗里达大学化学系刘文奇课题组 2026 Fall 招收有机/超分子方向博士生
+
1
/48
211双一流北京工业大学招计算机、AI、自动控制、电子信息等方向博士生(长期有效)
+
1
/42
昆士兰科技大学(QUT)博士招生信息 导师:李志勇教授
+
1
/34
智合健物课题组2026年博士生招生(湖北工业大学)
+
1
/33
华中农大生物催化组招26年博士:代谢工程、酵母工程、药学、有机、酶工程、计算模拟
+
1
/30
云南大学智能光电子课题组招收申请-考核博士研究生1名(光电、光学)
+
1
/27
北京林业大学林学院——昆虫病毒/病毒组——博士招生
+
1
/26
上海理工大学“新能源材料”专业-赵斌教授招收申请考核制博士生【能源催化方向】
+
1
/26
帮导师招2026CSC博士(巴塞罗那自治大学UAB-CSC博士项目)
+
1
/23
墨子实验室理论模拟研究组诚聘海内外优秀人才
+
1
/10
南京邮电大学-材料院尹超教授课题组-诚聘材料、化学、生物医学博士后(长期有效)
+
1
/9
香港科技大学 招生 2026 Fall全奖博士 -- 机械/电子/材料/化学
+
1
/8
[请教]审稿意见回复
+
1
/6
生殖医学与子代健康全国重点实验室华鹏课题组招收博士后及研究生(长期有效)
+
1
/4
博士后招聘(高薪40万+)
+
1
/1
1楼
2011-07-01 19:34:34
已阅
回复此楼
关注TA
给TA发消息
送TA红花
TA的回帖
智能机器人
Robot
(super robot)
我们都爱小木虫
找到一些相关的精华帖子,希望有用哦~
活性污泥环境扫描电镜照片怎么分析?
已经有14人回复
7*7mm的试样能否放在24孔板里直接接触法养细胞
已经有6人回复
关于做电镜测试用的铜网
已经有11人回复
TEM(透射电镜)多晶体衍射环分析
已经有11人回复
血细胞计数板计算花粉量
已经有5人回复
电镜照片求助
已经有66人回复
电镜观察中空膜上细胞的贴壁情况
已经有4人回复
【求助】pp/ps体系共混熔纺的丝,用什么树脂包埋来拍扫描电镜比较好啊?
已经有3人回复
透射电镜观察细胞样品
已经有16人回复
【求助/交流】这里有做植物细胞电镜观察的同行吗?
已经有14人回复
【求助】帮我看看这是什么电镜照片?
已经有23人回复
点击这里搜索更多相关资源
科研从小木虫开始,人人为我,我为人人
相关版块跳转
新药研发
药学
药品生产
分子生物
微生物
动植物
生物科学
医学
我要订阅楼主
zhengfan1109
的主题更新
1
1/1
返回列表
如果回帖内容含有宣传信息,请如实选中。否则帐号将被全论坛禁言
普通表情
龙
兔
虎
猫
高级回复
(可上传附件)
百度网盘
|
360云盘
|
千易网盘
|
华为网盘
在新窗口页面中打开自己喜欢的网盘网站,将文件上传后,然后将下载链接复制到帖子内容中就可以了。
信息提示
关闭
请填处理意见
关闭
确定