| 查看: 2987 | 回复: 2 | ||
[求助]
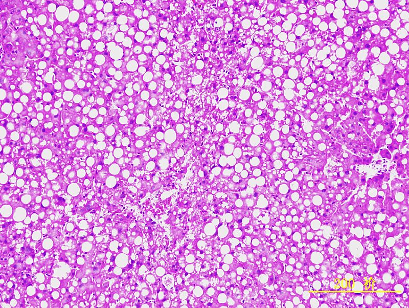
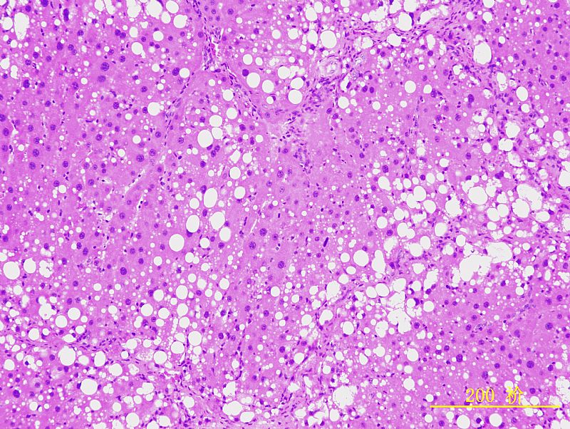
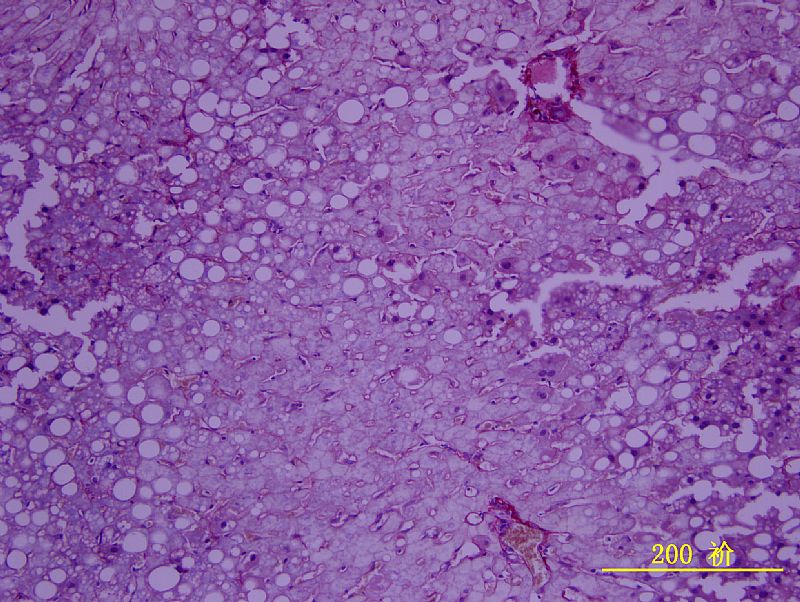
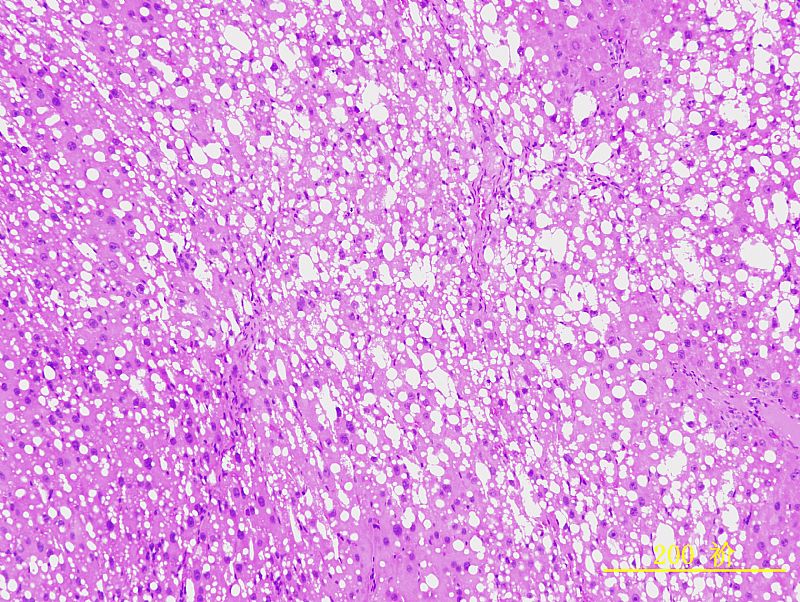
组织切片HE和SIRUS RED染色结果,敬请各位指点
|
|
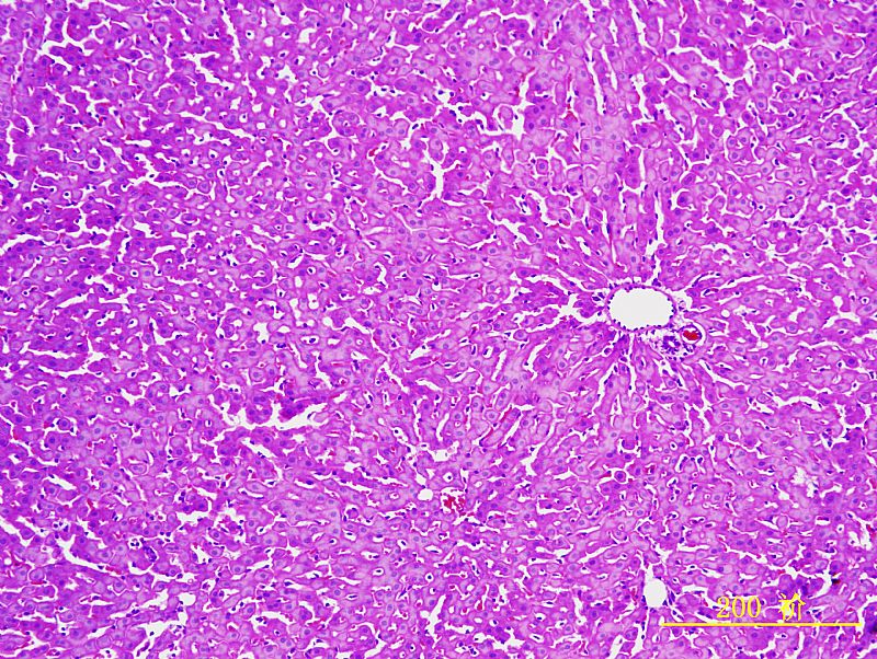
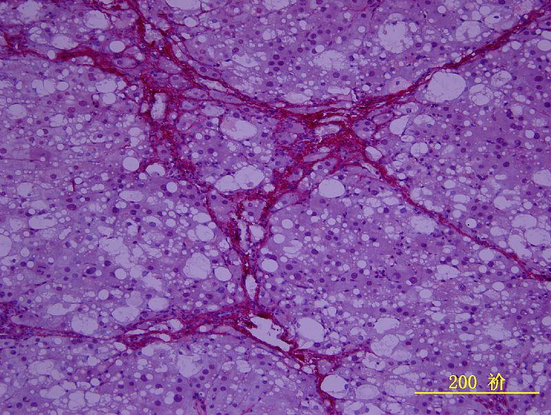
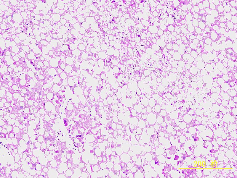
请教各位虫子,我做的是肝纤维模型,皮下注射CCl4 8周造模。每周两次,3ml/kg,40%CCl4。 因为对肝组织的组织形态没有深入的学习,对肝组织的具体病变描述无从入手,不知肝细胞脂肪病变、炎性浸润等是怎样的,附上几张实验图片(HE&Sirus red),请教各位行家,还望各位老师不吝赐教,一一指点下!谢谢大家,另外祝大家节日快乐呵呵 |
» 猜你喜欢
311求调剂
已经有9人回复
302求调剂
已经有4人回复
被我言中:新模板不强调格式了,假专家开始管格式了
已经有4人回复
303求调剂
已经有5人回复
考研求调剂
已经有4人回复
085601专硕,总分342求调剂,地区不限
已经有4人回复
085601材料工程专硕求调剂
已经有5人回复
一志愿天津大学化学工艺专业(081702)315分求调剂
已经有6人回复
能源材料化学课题组招收硕士研究生8-10名
已经有6人回复
296求调剂
已经有5人回复
» 本主题相关价值贴推荐,对您同样有帮助:
染色剂的浓度对DNA电泳亮度有多大影响
已经有5人回复
求助:真菌常用的染色法
已经有6人回复
求高手指点金和银SERS活性的差别
已经有8人回复
我用显微镜做革兰氏染色观察,关于油镜的问题。希望大家给我指正帮忙一下谢谢了
已经有21人回复
有关石蜡切片HE染色的几个问题
已经有10人回复
求高手指点 cellular immunology投稿
已经有8人回复
怎么也找不到解放军理工大学学报(自然科学版)的网上投稿入口,求指点
已经有6人回复
药剂方向SCI投稿杂志选择,请各位前辈指点迷津!
已经有13人回复
请高人指点:这些植物的名称
已经有5人回复
关于钛酸四丁酯和钛酸异丙酯的鉴别,请高手指点!
已经有3人回复
【求助】新手做病理切片染色
已经有9人回复
【讨论】看不懂一副H&E染色的图,求助
已经有4人回复
引物设计时总是发生严重错配怎么办?敬请大家指点!
已经有3人回复
hnw721
铁杆木虫 (著名写手)
- PhEPI: 1
- 应助: 76 (初中生)
- 金币: 9936.8
- 散金: 726
- 红花: 9
- 沙发: 2
- 帖子: 1493
- 在线: 218.6小时
- 虫号: 868458
- 注册: 2009-10-11
- 专业: 中药抗肿瘤药理
2楼2011-05-01 19:32:20
3楼2011-05-02 09:35:23













回复此楼